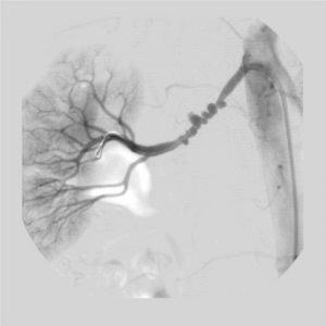
Blue toe
Most causes of a blue toe fall into three categories: obstruction of arteries, arterial spasm and hemorrhage into the toes. The diagnosis depends on a combination of history, physical examination and appropriate testing. The most important factors to consider whether there is one blue toe versus multiple toes involved, if the presentation is unilateral or…
