Long term changes in the legs after a deep vein thrombosis – DVT may be the result of post phlebitic syndrome, also called post thrombotic syndrome (PTS). Symptoms can be mild or severe. An example of mild symptoms would be skin discoloration. Some patients develop chronic pain, swelling and ulcers. The post phlebitic syndrome can affect quality of life significantly. Because we only have limited treatment options, prevention is key.
Epidemiology of Post Phlebitic Syndrome
Post phlebitic syndrome is common. As many as 40% of patients will develop some degree of symptoms within 5 years. Even the low estimates of 5% seem high to me. It is important to realize the symptoms develop over time. Many patients will not have any symptoms for a year after a deep vein thrombosis. So patient follow-up is important. A prospective long term surveillance of 335 patients, most with unprovoked proximal DVT, showed that most patients had post phlebitic symptoms within a year. But there is also hope!. Many patients who had symptoms after two years, were free of them after 8 years. The authors did not have a good explanation for this finding.
For some reason, post thrombotic changes are also more common if a deep vein thrombosis recurs in the same leg and in older patients.
Mechanism
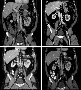
The mechanism of post-phlebitic symptoms is not fully understood. On the one hand it is probably related to venous destruction and especially valve destruction. This is why prompt catheter directed thrombolysis makes sense (see below) and graded compression stockings work (see below). An example of progressive venous atrophy after thrombosis of a retained inferior vena cava filter may be seen in the image below. The patient experienced progressive symptoms of heaviness of his lower extremities, consistent with post-phlebitic syndrome. This is, of course, an out of the ordinary case:

Symptoms of Post Phlebitic Syndrome
Symptoms of post thrombotic syndrome include objective and subjective complaints. Objective complaints include skin changes, signs of stasis, swollen legs (edema) or frank lymphedema, leg ulceration, a tendency toward skin infection. Subjective symptoms include leg “heaviness” and cramping, leg pain, paresthesia (i.e. trouble feeling parts of the leg) and itchiness. Sometimes, objective signs are lacking but patients still report discomfort.
Scoring Systems for PTS
To score the severity of PTS, you have to assign each symptom a score, from mild to severe. For example, people might have minimally swollen feet after sitting or significant edema all throughout the day.
One popular scoring method is the Villalta score. This score assigns points to each sign (pretibial edema, skin induration, hyperpigmentation, pain during calf compression, venous ectasia, redness) and symptom (pain, cramps, heaviness, paresthesia, pruritus). The points range from 0-none, to 1-mild, 2-moderate, and 3-severe. Severe post phlebitic syndrome is classified when the Villalta score is either 5 or above or when there is an ulcer.
Interestingly, there is no ‘gold standard’ for diagnosing the post phlebitic syndrome. For this reason there is probably no objective way to know if the Villalta score actually measures what we think it does. However, a review was published regarding the Villalta score. This review used information from trials that used the Villalta score to examine its utility. Inter-observer reliability of the Villalta score was good to excellent. The Villalta score also correlated with patient perceived quality of life and with objective physiological markers. It could distinguish a healthy from a “sick” leg and was associated with a patient’s clinical course.
Preventing Post Phlebitic Syndrome
Treatment of patients who suffer from post phlebitic syndrome is difficult. This is why prevention is key. The three main approaches to prevent the development of post thrombotic leg changes include:
- Anti coagulation for the treatment of deep vein thrombosis. It is probably correct to say that inadequate anti-coagulation predisposes to post-phlebitic changes. However, a prospective study examined the effect of anticoagulation on post-phlebitic syndrome and did not find a correlation. In this study patients with proximal lower extremity DVT were treated with anticoagulation for 3 months and then randomized to receive warfarin to an INR of over 2.5 or under 1.7. No difference was found in the incidence of post thrombotic syndrome after over two years between the groups. Time in therapeutic range also did not predict post-thrombotic changes. The minority of patients in this study had severe post thrombotic changes. Compared to historical series with shorter periods of treatment with anticoagulation, this is a low figure that may suggest that anticoagulation does not reduce the prevalence of post thrombotic changes, but may improve their severity. This has not been proven. Data regarding stockings was also lacking.
- Several trials describe thrombolysis for deep vein thrombosis to prevent post phlebitic syndrome. Overall results are mixed. We should probably only offer thrombolysis to select patients with DVT. One study called ACCESS PTS examined thrombolysis with ultrasound accelerated thrombolysis for chronic DVT. The results showed improvement in many post thrombotic syndrome related metrics.
- We used to recommend compression stockings to prevent post thrombotic syndrome after DVT. However, several modern trial refuted this theory. The current thinking is to offer compression stockings to help with symptoms. Several trials are ongoing to examine specific patient selection and specific compression methods that may be more useful.
Treatment of Post Phlebitic Syndrome
We can’t really make the post phlebitic syndrome go away. But we can control symptoms. Treatment includes several simple measures:
- Leg elevation to relieve the pressure in the leg. Patients should remain active. Walking will relieve the pressure as well. But, when patients are sitting down anyway, they should elevate their leg
- Skin care – Skin changes are a big part of post phlebitic synfrome. So, taking care of the skin is important. The skin should be kept healthy and moist with an emollient.
- Compression stockings – These can help with swelling. Once you prevent swelling, you might be able to relieve some of the pain as well.
Exercise
A 6 month supervised exercise program was beneficial to reduce symptoms in a small randomized study of patients. Obviously, more study is necessary to understand the potential utility. While this is not widely available, it still sounds promising.
Intervention
Chronic venous occlusion might be associated with more post phlebitic symptoms. Following this logic, opening the vein may help reduce symptom severity. The ACCESS PTS trial examined this theory. Results were promising. Still, this was one small trial. Intervention is still not the standard of care in most cases. The main challenge is which patient to choose.
Read more:
- Kolbach DN, Sandbrink MWC, Hamulyak K, Prins MH, Neumann MHAM. Non-pharmaceutical measures for prevention of post-thrombotic syndrome. Cochrane Database of Systematic Reviews 2003, Issue 3. Art. No.: CD004174. DOI: 10.1002/14651858.CD004174.pub2.
- Aschwanden M. et al. J Vasc Surg 2008; 47: 1015-1021.
- Prandoni P. et al. Ann Intern Med 2004; 141:249-256.
- The C-TRACT trial run by Dr. Suresh Vedanthem is recruiting patients with chronic venous thrombosis and post thrombotic syndrome. Patients are randomized do intervention or conservative therapy.
Dr. Weinberg is the founder and Editor In-Chief of Angiologist.com. He is a Vascular Medicine physician at Hadassah Hebrew University Medical Center, Associate Professor of Medicine at Harvard Medical School and Past President of the Society for Vascular Medicine.
