A deep vein thrombosis, DVT, is a blood clot in the veins. It is one of the presentations of venous thromboembolism. The other is, of course, pulmonary embolism. A DVT can occur in the veins of the upper or lower extremity. They can also occur in the deep veins of the abdomen. Technically, it can also occur in the deep veins of the brain. Practically, when we say “DVT” we usually mean “in the extremities”. Also, DVT are provoked and unprovoked. The approach to treatment depends on clot location, circumstances and the overall condition of the patient.
Deep Vein Thrombosis Diagnosis
The diagnosis of deep vein thrombosis is made by combining clinical suspicion and appropriate imaging studies. Typical symptoms are leg swelling and pain that started suddenly. Of course, sometimes the diagnosis is easy to make. But physical examination and specifically the Homan’s sign have disappointing utility. For this reason, imaging is important.

Imaging for Deep Vein Thrombosis
The most common test to diagnose deep vein thrombosis is ultrasound. A DVT ultrasound protocol involves scanning throughout the limb. There are three signs of deep vein thrombosis on ultrasound: lack of compressibility, lack of color flow and direct visualization of clot. Of the three, the most accurate is the inability to compress the vein:

A question that comes up a lot is “Is this DVT new?”. Unfortunately, ultrasound is not a good tool to answer that question. But a low d-dimer will point against a new clot. In practice, the decision is often clinical.
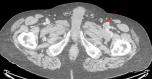
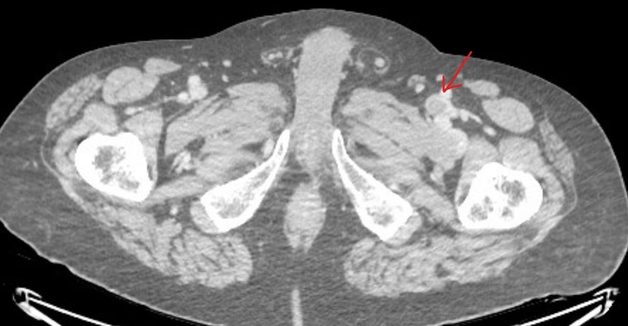
CT and MRI can also diagnose deep vein thrombosis. They are most useful for identifying findings in the abdomen and pelvis. However, they are sometimes used to assess the veins in the extremities, like in this example:

Treatment Considerations
For proximal DVT, without treatment, there is about a 1% per day risk of embolization to become pulmonary embolism in the first month. Also, about 50% of patients will have another DVT during the first month. So treatment is crucial. When thinking about how to treat a patient with deep vein thrombosis, the factors to take into account include:
- Was the even provoked or unprovoked?
- What is the location of the clot? Calf vein thrombosis is very different compared to proximal DVT.
- Does the patient have relevant underlying conditions, such as malignancy? Bleeding tendency?
- What are the patient’s symptoms?
Putting together these considerations allows to make decisions about anticoagulation type and duration as well as about advanced therapies. For a more in-depth discussion, read our article about deep vein thrombosis treatment considerations.
Common Questions that DVT Patients Ask
As we wrote, the main decisions to make for patients with deep vein thrombosis are anticoagulation choice and duration and whether advanced therapies can help. But in practice, there are many other questions that patients often ask.
Do I need to stay in bed?
Bedrest was something that doctors used to prescribe for the treatment of DVT until the late 1980’s. The concern was the movement will promote clot embolization. But studies done at that time have shown that ambulation was safe.
Do I need to wear a compression stocking?
In the past we used to hope that compression stockings prevent post-phlebitic syndrome. However, several studies have shown that they don’t. More studies are ongoing to examine if special compression will be more helpful. But in the meantime, we recommend compression stockings only to treat swelling. Patients who do not have much swelling or who prefer not to wear stockings, do not have to wear them.
Will the Deep Vein Thrombosis Resolve?
I like to think about DVT like scars. Some people scar nicer than others. Similarly, some people clear out their clot better than others. Most patients will clear all their clot, but there will be patients who will have residual clot. The bottom line about residual clot is that it is not an indication to stay on anticoagulation.
Will I have Chronic Symptoms?
Chronic symptoms after a DVT are called post phlebitic syndrome. The severity of post phlebitic syndrome ranges from very mild swelling or itching of the skin, to very severe pain and open sores. It is hard to predict which patient will have more severe symptoms. But we know that patients with more proximal clot and with more clot in general, have a higher chance of having symptoms down the road.
Unfortunately, the best way to prevent post thrombotic syndrome, is to prevent clots in the first place. But otherwise, we have very limited options. Invasive procedures do show some promise when used in the right patients. But in reality many patients are not good candidates for these procedures.
Do I Need Special Testing?
No one likes not knowing the cause of a clot. Most patients expect testing for cancer and for hypercoagulable states. But in practice, we rarely need these tests. Their yield is low. Patients should undergo cancer screening that is appropriate for their age. Of course, if there are specific symptoms, those need to be evaluated. Hypercoagulable testing is usually only useful in specific situations.
