Mesenteric artery stenting: Technical considerations

Chronic mesenteric ischemia can pose a diagnostic and technical challenge for the interventionist. Indications and patient selection for mesenteric artery stenting were covered previously here. This article will outline technical aspects of mesenteric artery stenting.

Clinical Vignette

A 74-year-old gentleman with a history of antiphospholipid syndrome and celiac artery stenosis treated with a single balloon-expandable stent two years prior (in the setting of superior and inferior mesenteric artery occlusion) presented with recurrent postprandial pain and weight loss. Angiography of the abdominal aorta via the transfemoral approach showed >90% restenosis of the celiac trunk, with post-stenotic dilatation of the celiac artery. The superior mesenteric artery reconstituted via pancreaticoduodenal collateral flow from a large gastroduodenal artery.

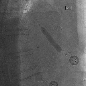
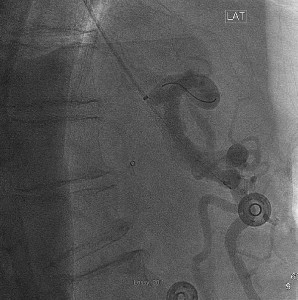
The celiac artery was engaged with a 5F Cobra-1 guide catheter and a 0.014 inch hydrophilic coronary wire was used to cross the lesion (Fig 1).

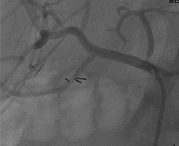
Mesenteric artery intervention
Crossing a severe stenosis of the celiac trunk from the femoral approach. Note the unfavorable angle of the guide catheter with the target vessel and the ostial location of the lesion.

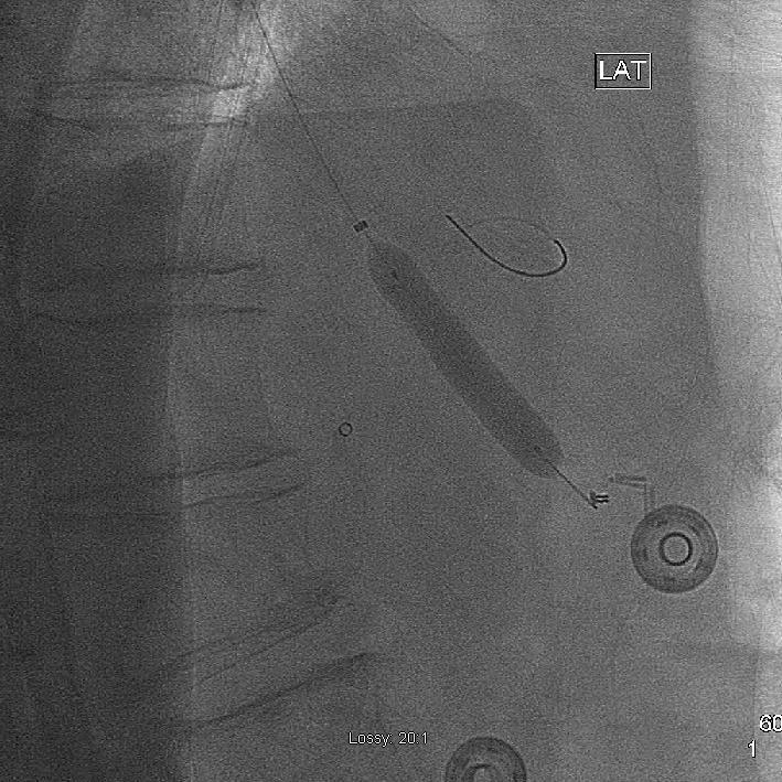
Despite attempts with multiple balloons of varying model and size, we were unable to get across the area of restenosis. The guide catheter was replaced with a Simmons-1 and the lesion re-crossed with a wire, but further efforts to advance a balloon proved futile. At this point, it was decided to switch to a transradial approach, as this would likely provide better guide catheter support. A 5F Multipurpose guide catheter proved a stable platform for subsequent angioplasty (Fig 2).

Mesenteric artery intervention
Angioplasty of the celiac artery with a 7 mm diameter balloon. Note that, when coming from above, the guide catheter is coaxial with the target vessel.

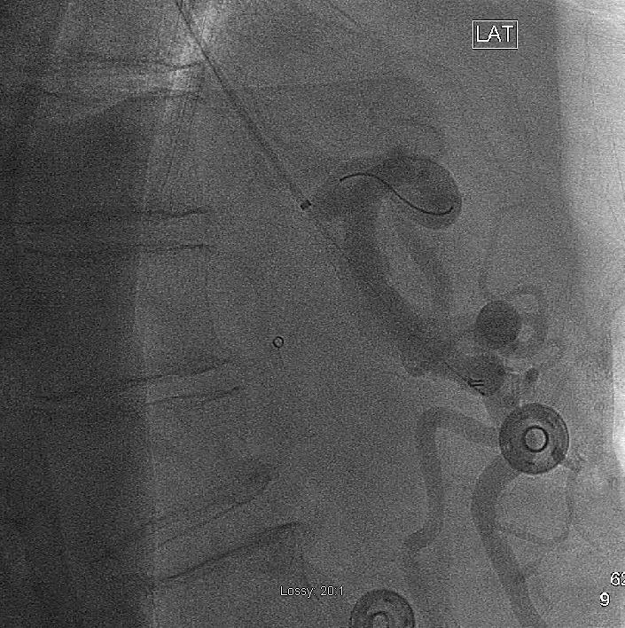
Following treatment of restenosis, there was rapid flow of contrast into the splenic and common hepatic arteries (Fig 3).

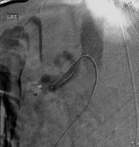
Mesenteric artery intervention
Selective injection of the celiac artery showing a patent proximal stent post-angioplasty. The wire tip is visible in the splenic artery in this lateral projection.

At subsequent annual follow-up visits, the patient has not complained of symptoms, though surveillance ultrasound has demonstrated increased celiac artery velocities with a patent stent.

Vascular Access in Mesenteric Artery Intervention

Several factors influence access site selection for mesenteric artery interventions. These include:

  • Lesion characteristics – Lesion morphology and location is also important in planning vascular access. An ostial occlusion with no visible stump may be more easily probed from an arm approach, which offers better coaxial guide support in acutely angled take-offs of mesenteric arteries from the aorta. In a recent series of 27 mesenteric artery occlusions, the authors used almost exclusively upper extremity access and reported 85% technical success, with features of high risk lesion morphology (such as occlusion length, calcification and absence of a stump) having no impact on procedural failure (http://www.ncbi.nlm.nih.gov/pubmed/22516890).
  • The presence of severe iliofemoral disease – In situations where severe infrarenal aortic or iliofemoral disease is present, it may be difficult to traverse such disease through a femoral approach, and doing so could increase risks of vessel disruption or atheroembolization- an arm approach may be preferable. Observational, retrospective studies comparing brachial to femoral access have demonstrated similar rates of procedural success rates, and long-term patency also appears equivalent between these two commonly used access sites (http://www.ncbi.nlm.nih.gov/pubmed/22302502). One study, however, showed better patency with the femoral approach, though this has not been a consistent finding (http://www.ncbi.nlm.nih.gov/pubmed/18295100).ecently, mesenteric intervention via a transradial approach has been reported (http://www.ncbi.nlm.nih.gov/pubmed/15065136). It is anticipated that with the development of more specialized equipment, such as smaller stent platforms and sheathless guides, as well as better operator familiarity with transradial catheterization, interest in this access site will increase further.
  • Operator experience and preference

Choosing an Interventional Target in Multivessel Mesenteric Artery Disease

Due to extensive collateral circulation of the gut, it is rare for chronic mesenteric ischemia to present as single vessel disease. The traditional paradigm holds that at least two of three vessels must be diseased to produce symptoms of chronic mesenteric ischemia. Due to the redundancy of circulation in the gut, multiple potential “culprit” lesions are often described, and the choice of an interventional target comes down to anticipated procedural risks and estimated patency as a function of lesion location and complexity. In general, it is best to approach severely diseased rather than occluded vessels first. Revascularization of the superior mesenteric artery is widely considered the key to symptom relief, and also offered greater durability in a recent retrospective analysis showing 55% primary patency of SMA stents at one year, compared to 18% for the celiac artery (http://www.ncbi.nlm.nih.gov/pubmed/23313180). Though interventions in the inferior mesenteric artery are considered most challenging due to angularity, calcification and size, some small series have demonstrated excellent long term outcomes (http://www.ncbi.nlm.nih.gov/pubmed/11800352).

Approaches for Routine (and Complex) Mesenteric Artery Intervention

Guide catheter selection depends on target vessel and lesion characteristics as well as access route. In most cases, a multipurpose guide catheter through a long 6-7F sheath brought to the vessel orifice provides adequate coaxial support for crossing with a 0.035 inch angled glidewire. For transfemoral approaches, a Simmons-1 or -2 catheter may be preferable. Complex lesions crossed with a 0.014 inch hydrophilic coronary guidewire minimize the chances of dissection and embolus. In two-vessel occlusion, where a third severely diseased vessel is being opened, embolic protection may be advisable. Alternatively, in situations where embolic complications would lead to intestinal infarction, the “no-touch” or telescoping techniques may be used when selectively engaging a plaque-ridden ostium.

Aorto-ostial occlusions without visible stump are particularly high risk lesions that may require advanced techniques described in detail by Malgor and Oderich (http://www.ncbi.nlm.nih.gov/pubmed/11800352). They describe using a 0.018-inch wire and microcatheter to cross the lesion, supported by a 5F 125-cm MPA catheter, 7F 100-cm MPA guide and 7F 90-cm sheath from the brachial approach. This provides ample support for pre-dilatation and placement of a covered stent for flush ostial occlusions. Localization by CT or MRI prior to angiography may provide landmarks for probing the vessel lumen. If retrograde collateral filling is seen via angiography of non-target vessels (such as inferior mesenteric artery catheterization via transfemoral approach when working in the superior mesenteric artery from the arm), this may aid in directing the wire during recanalization. Good patient breath holds (or pauses in ventilation) are necessary to obtain high quality digitally subtracted images. In many cases, poor visualization of the true lumen may necessitate use of injections through a microcatheter to verify wire position.

Angioplasty and Stent Placement in Mesenteric Artery Intervention

Though not backed by trial data, the current standard of care is stenting over balloon angioplasty alone for mesenteric ischemia (http://www.ncbi.nlm.nih.gov/pubmed/21104621). This is particularly true in ostial lesions, which are prone to extreme recoil after simple angioplasty. Orbital atherectomy has been described as an adjunctive technique to debulk heavily calcified lesions in the superior mesenteric artery (http://www.ncbi.nlm.nih.gov/pubmed/22891827). Balloon-expandable stents are preferred when precise placement is essential, such as in discrete proximal lesions. Self-expandable stents may be used for long or distal lesions, usually followed by post-dilation. Covered stents are used sparingly, though in the event of perforation or dissection with thrombus, they are essential in avoiding distal propagation and to facilitate trapping of debris. Further studies are needed to substantiate limited data suggesting that covered stents have better patency rates for aorto-ostial lesions.

Author

Leave a Reply

Your email address will not be published. Required fields are marked *

Vascular Medicine