Medication for Venous Insufficiency
Medication for venous insufficiency can improve symptoms and promote ulcer healing. We should probably use them more.
Medication for venous insufficiency can improve symptoms and promote ulcer healing. We should probably use them more.
Stasis pigmentation is the browning of the skin over the front of the shins. It happens in patients with longstanding chronic venous insufficiency. The brown discoloration is a result of hemosiderin deposition. Put simply, the skin is tattooed by the iron in the blood. Stasis Pigmentation Diagnosis In the end of the day, the diagnosis…
It is common to suffer from swollen feet during pregnancy. In fact, for many women, pregnancy swollen feet are a given. Unfortunately, in some women the swollen feet remain after delivery. What is the Pregnancy Swollen Feet Connection? Compression by the uterus – As pregnancy progresses, the uterus enlarges. As it enlarges it may press…
Endovenous Laser Ablation, EVLA, is a minimally invasive treatment of chronic venous insufficiency. EVLA works by selective photothermolysis. A laser emitting fiber of varying wavelengths (810-1470 nm) is placed percutaneously within the treated vein. The laser disrupts the vein both directly and indirectly. Certain wavelengths injure the venous wall directly. Other wavelengths heat venous blood…
Ulcers can generally be divided into arterial, venous, neuropathic and atypical. Treatment depends on ulcer type. In some patients, chronic venous insufficiency leads to skin breakdown. Obviously, these are venous ulcers. Healing often takes many weeks, and involves patience and expert wound care. How to Diagnose Venous Ulcers To make the diagnosis, combine clinical appearance,…
Subfascial endoscopic perforating vein surgery, also known as SEPS is a treatment for non-healing venous ulcers. The following article will broadly outline causes for non-healing venous ulcers and specifically address subfascial endoscopic perforating vein surgery. The mainstay of treatment for venous ulcers has always been compression. Compression is classically administered with graded compression stockings. Excellent…
Sclerotherapy is a form of treatment for telangiectasia and spider veins. It is performed in a specialty venous suite or at the bedside. It is usually short and straightforward. A routine procedure typically takes no more 10-20 minutes. This makes it popular among clinicians. It is a way to help patients quickly and to rack…
Unna boots are a form of compression therapy. They are actually more like a combination of compression stockings and a cast. The cast itself is impregnated with a combination of calamine and zinc-oxide. Unna boots are used to treat various non-healing lower extremity wounds. Below you will find a step by step Unna boot application…
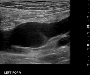
A popliteal vein aneurysm is a dilatation of the popliteal vein. It is uncommon. A busy vascular medicine specialist may see about one a year. Although over 100 cases have been published it is not really clear what to do for patients with a popliteal vein aneurysm. The most dangerous reported problem with this finding…
Leg veins are common and annoying. They are also known as varicose veins and spider veins. They are not only an aesthetic problem. Leg veins often hurt, burn, itch or are just heavy. Treating leg veins is not a matter of luxury for many people. That is why I wrote this article about tips for…