A popliteal vein aneurysm is a dilatation of the popliteal vein. It is uncommon. A busy vascular medicine specialist may see about one a year. Although over 100 cases have been published it is not really clear what to do for patients with a popliteal vein aneurysm. The most dangerous reported problem with this finding is lethal pulmonary embolism. This can occur even despite anticoagulation.

What is the problem with a popliteal vein aneurysm?
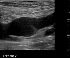
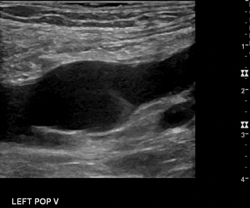
Popliteal vein aneurysms are not common. They occur much less frequently than arterial aneurysms. Only case reports and case series exist to guide us with management. Many of the cases that have been published were of pulmonary emboli complicating these aneurysms. But this does not mean that the incidence of embolism is high. In other words, maybe many aneurysms exist without causing complications and so we just don’t know about them. One thing is probably correct though. With popliteal vein aneurysms size and shape matter. First, the bigger they are the more clots form in them. The ‘magic number’ is 20 mm. If they are bigger than 20 mm the probability for thrombus rises. The second issue is shape. Saccular aneurysms are more dangerous than fusiform ones. Saccular aneurysms are ‘berry’ like projections from the main vein. A fusiform aneurysm is when the whole vein widens.
Treatment of a popliteal vein aneurysm
Some recommend anticoagulation for popliteal vein aneurysms. Results have been mixed. This means that some patients still had pulmonary emboli despite anticoagulation.
Surgery is a definitive treatment for popliteal vein aneurysms. Surgery involves aneurysm excision and or bypass. Many clinicians believe that surgery should be offered sooner rather than later. This means that larger aneurysms should be sent for operation. Failing to do so may result in thrombus inside the aneurysm sac.
If surgery is not chosen, popliteal vein aneurysms need to be followed. The most convenient way to do so is with serial duplex. There are no guidelines as to the frequency of surveillance. There are also no guidelines other than size to make one know when something is going wrong.
Read more:
- Management of popliteal vein aneurysms. JVS. 2000.
- Short review of popliteal vein aneurysms. American Journal of Surgery. 2010. This is a great article if you want just the gist of things.
Dr. Weinberg is the founder and Editor In-Chief of Angiologist.com. He is a Vascular Medicine physician at Hadassah Hebrew University Medical Center, Associate Professor of Medicine at Harvard Medical School and Past President of the Society for Vascular Medicine.
