A splenic infarct can be the result of distal embolization, local thrombosis or arterial dissection. Diagnosing and treating the cause is central to management.
Splenic Infarct Causes
A splenic infarct is the result of one of the following mechanisms:
- Embolization – Either cardioembolism or artery to artery embolism.
- Systemic arterial hypercoagulability – Typical reasons will be cancer or lupus anticoagulants.
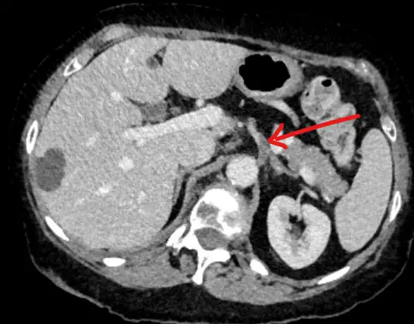
- Artery dissection – While many dissections will not result in downstream ischemia, sometimes a celiac artery dissection or splenic artery dissection will result in a clot in the dissection flap and in splenic infarction.
Diagnosis
Patients usually present with abdominal pain. But sometimes the finding is incidental. The diagnosis of splenic infarct is usually on axial imaging such as CT.
Once we suspect a splenic infarct, it is important to review the images with radiology. Specifically, splenic lymphoproliferative disease can mimic infarctions. So it is important to confirm the diagnosis.
Identifying the Cause of the Splenic Infarct
Once we diagnose a splenic infarct, it is important to diagnose the cause. Available literature is almost entirely comprised of case reports. By far, the most common published causes are infection. But in practice, other causes are possible. Thus, often making the diagnosis will require further imaging and dedicated laboratory tests.
First, we need to determine whether the spleen is enlarged. A splenic infarct in the setting of a large spleen is different than when the spleen is normal size. Probably the most common cause for acute splenomegaly and secondary infarction is the Epstein-Barr Virus (though overall this is not a common complication).
Splenic Infarct in a Normal Sized Spleen
If the spleen is not enlarged, we will order some combination of the following tests:
- Heart rate monitor. A common cause for cardioembolism is atrial fibrillation. The purpose of long-term heart rate monitoring is to identify arrhythmias.
- Echocardiogram. The purpose is to look for intra-cardiac sources of embolism. The echocardiogram should be with agitated saline to look for a patent foramen ovale. When we find a PFO, we need to also scan the legs, to look for a deep vein thrombosis as a source for paradoxical embolism.
- CT angiogram of the chest to look for a source of artery to artery embolization. For instance, if we find a mobile aortic mural thrombus, that might be the source.
- CT angiogram of the abdomen and pelvis. Usually when a patient presents with abdominal pain, the first CT we get is not timed for the arteries and often the cuts are not thin. Repeating the scan to focus on the arteries can identify problems such as artery dissection.
- Testing for arterial hypercoagulable states. A common mistake is to send a full hypercoagulable panel. But most thrombophilia testing focuses on venous thrombosis. Lupus anticoagulants are a reason for arterial thrombosis as part of the antiphospholipid antibody syndrome.
- In specific instances, known systemic disease may be the cause of the splenic infarct. For instance, sickle cell disease or some forms of vasculitis.
- Blood cultures. In appropriate patients, we might suspect subacute endocarditis and septic embolism. If that is relevant, then obtain blood cultures.
- Age-appropriate cancer screening. Obviously, cancer is a reason for both venous and arterial clots. This includes clots in unusual locations, such as splenic infarcts.
If these tests do not reveal the etiology, we can consider testing for less common causes such as for paroxysmal nocturnal hemoglobinuria.
Treatment
Treatment depends on the cause. If the cause is infection, treatment should target that. But most patients with a non-infectious cause will require anticoagulation, at least for a period of time. Obviously, anticoagulation duration will depend on the cause. For instance, if the cause was a provoked deep vein thrombosis, then most patient will not require long-term anticoagulation, especially if a PFO was closed. But in many other instances, patients will need long-term anticoagulation.
Dr. Weinberg is the founder and Editor In-Chief of Angiologist.com. He is a Vascular Medicine physician at Hadassah Hebrew University Medical Center, Associate Professor of Medicine at Harvard Medical School and Past President of the Society for Vascular Medicine.


