An artery dissection is a tear in the artery wall. But, it is important to understand that it is not a complete tear. A dissection is not a rupture. Artery walls are built of layers. When blood cuts (or dissects) through these layers, we call it “arterial dissection”.
Worst Outcomes of an Artery Dissection
The complication we worry about the most is that the dissection will transform into a complete arterial tear. This tear can cause severe hemorrhage and organ damage or death, depending on the dissection location.
Other Important Complications
- Reduced blood flow to vital organs. For instance, a coronary artery dissection can cause a myocardial infarction (“heart attack”). The term SCAD describes a spontaneous coronary artery dissection. A renal artery dissection can cause a renal infarction. Etc.
- Pseudoaneurysm – An aneurysm is when all artery layers dilate to form a larger than normal cavity. But, in a pseudoaneurysm, only some of the layers dilate. After a dissection, the outer layers may bulge to form a pseudoaneurysm. If this grows, it can eventually rupture. But, in other cases it actually resolves over time. This is called remodeling.
Causes of Artery Dissection
Risk factors for arterial dissection include the following:
- Hypertension
- Male sex
- Connective tissue disorders (e. g. Marfan’s syndrome that has several cardiovascular complications including aortic dissection, dilatation of the aortic root and mitral valve prolapse)
- Medical procedures that involve artery cannulation (such as diagnostic catheterization)
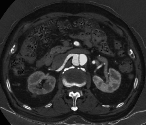
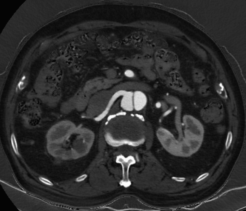
The most dreaded location for a dissection is in the cerebral arteries, carotid arteries and aortic dissection. But any other location is possible. For instance, celiac artery dissection.
Diagnosis of an Artery Dissection
We make the diagnosis by combining the patient’s story with proper imaging studies. To understand what we are looking for, we need to understand what a dissection looks like:

What Are the Symptoms of an Artery Dissection?
Not everyone will have symptoms. But if they do, patients often describe acute pain. The location of the pain depends on the location of the dissection. For instance, a dissection of the iliac artery will cause pain in the groin.
The next symptom to look for is a problem in function. For instance, after a carotid artery dissection, a patient might have stroke symptoms. And that iliac dissection? If it blocks blood flow, it can cause leg pain or even gangrene in some instances.
Imaging
Once you suspect a dissection, the next step is to show it. Imaging is done with ultrasound, computed tomography or MRI (and MR Angiography). Of these, the most useful are the CT and MR. But, the ultrasound can examine the flow in the artery. That is often very useful to understand if the function of the artery remained intact or not.

Treatment
Dissections in arteries are often medical emergencies. Blood flows into the tear in the artery wall instead of going to its proper destination. Also, the forming hematoma can block the artery lumen when it expands.
Medical Treatment for Artery Dissection
Medical treatment aims reduce excessive blood pressure. The goal is to prevent further dissection and to improve tissue perfusion.
Interventional Treatment
We sometimes need to intervene when patients present with artery dissection. There are several indications to intervene:
- A dissection flap may obstruct flow to an organ. This will result in not enough blood supply to that organ.
- Ongoing pain.
- Concern about extension of the dissection.
- Concern about an aneurysm forming around the dissection.
Intervention can be endovascular, or with surgery. The surgical approach toward dissection may be a fenestration operation, that may be performed in certain cases of aortic dissection. This is typically done in for aortic dissection. In this operation the dissection flap is visualized (by opening the aorta) and joined at parts, and cut at other parts to allow normal blood flow to compromised organs. Another surgery is open aortic reconstruction. You can find a review of these techniques here.
Read more
- Carotid dissection.
- There is not much literature that deals with artery dissections in general. Most data pertain to aortic dissection. Here is a nice review from 2008. Newer guidelines exist from various societies.
Dr. Weinberg is the founder and Editor In-Chief of Angiologist.com. He is a Vascular Medicine physician at Hadassah Hebrew University Medical Center, Associate Professor of Medicine at Harvard Medical School and Past President of the Society for Vascular Medicine.
