Carotid dissection is a tear in the carotid artery wall. This causes blood to flow inside the artery wall and not only in the lumen. The tear that initiates the dissection may occur spontaneously or after injury. Some patients will experience symptoms including stroke or blindness in one eye. Other patients will not have any symptoms.

What is a Carotid Dissection?
After the dissection, the body walls off the area with the injury. This means that a hematoma forms in the artery wall.
Carotid artery dissections are part of the wider term ‘cervical artery dissection’. Other cervical dissections are vertebral artery dissections and cerebral artery dissections. This entity should be suspected in young adults presenting with unexplained cerebral neurological symptoms.
Causes
As I mentioned above, carotid dissection can be spontaneous or secondary:
Spontaneous Carotid Artery Dissection
Although it has never been fully proven, spontaneous carotid artery dissection does not usually happen in normal individuals, but rather in people with predisposing connective tissue disorders. The following are potential causes:
- Genetic artery wall disorders such as Ehlers-Danlos syndrome (type IV), Marfan syndrome and Loeys-Dietz syndrome
- Artery wall inflammation (as in vasculitis)
- Artery wall structural pathology such as in fibromuscular dysplasia or segmental arterial mediolysis (SAM)
- Eagle’s syndrome is an anatomical variant where the styloid process is very long and can irritate the carotid artery enough to result in a dissection.

- Atherosclerosis – Perhaps the most common cause of carotid artery dissection is atherosclerosis. In this case the dissection occurs at an area of artery wall weakness where atherosclerosis is abundant.
Notably, the association of carotid dissection and Marfan’s syndrome has not been proven. Still, in many patients connective tissue in other locations in the body can be found to be abnormal. A genetic factor probably does have a multifactorial role.
Secondary carotid artery dissection
Secondary carotid artery dissection may be due to trauma (such as whiplash injury in a motor vehicle accident, chiropractic manipulation or severe coughing) or to internal manipulation and intimal tear during a carotid artery catheterization. It can also occur as a result of secondary hypertension associated with drugs (e.g. cocaine) or medication (e.g. amphetamines).
Remember that *primary / spontaneous* carotid artery dissection can be unmasked by a trigger, that would make the presentation seem as if it is “simply” *secondary*.
Symptoms
Some patients will not have any symptoms. However, many patients with carotid dissection will develop symptoms of stroke or of blindness in one eye. Sometimes, they present with Horner’s syndrome. Importantly, an asymptomatic presentation can progress to involve symptoms over the course of hours to weeks.
When symptoms are present they can include headache, neck pain, tinnitus (a buzzing sound heard spontaneously and constantly), or the feeling of being aware of one’s pulse (“whooshing in ear“). When we listen over a patient’s neck, we might hear a carotid bruit.
The most severe presentation is a transient ischemic attack and stroke. There are several mechanisms for neurological symptoms:
- Compromised blood flow at the distal end of the dissection “cap”.
- Exposure of the layers under the endothelium and thrombus embolization. A
- A dissecting aneurysm. Clots can form inside this aneurysm and embolize.
- Intracranial dissection can result in secondary sub-arachnoid hemorrhage.
- Compression of adjacent structures by the dissection flap or dilated portion of the artery.
Diagnosis
Physical examination usually does not help to make the diagnosis. Of course, we sometimes hear a bruit over the neck as part of a routine physical examination. But still, we make the diagnosis of carotid artery dissection with imaging studies.
Carotid Artery Ultrasound is not Enough
Carotid artery duplex ultrasound can occasionally reveal the dissection flap. An advantage of duplex is that it is non-invasive, available and cheap. A problem with duplex for carotid dissection is that a typical location for dissections is in the base of the skull. For this reason duplex is usually not enough to make the diagnosis.
Having said that, sometimes we get lucky with ultrasound in this context. Here is an example of color flow imaging. This patient had a remote carotid artery dissection. Now, the ultrasound shows hairline flow with low velocities. The dissection left behind only a small residual lumen:

Angiography in Diagnosis of Carotid Dissection
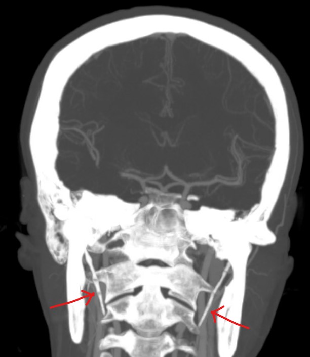
Better imaging for carotid dissection is contrast enhanced CT angiography or MR angiography. The classic sign of dissection on CT or MR is of called a flare. A flare is the narrowed lumen. It looks like a narrow flame. Other findings are the dissection flap or a contrast filled crescent. Sometimes a pseudoaneurysm is visible.

Digital subtraction arteriography is still considered the “gold standard” for making the diagnosis. Even now it is sometimes used to make the diagnosis. However, MR angiography is a very accurate non-invasive method. MRA has the advantage of being safer than CT because there is no radiation and the contrast is usually safer. On the other hand, CT angiography is more available than MR in most places and is also very accurate. A systematic review published in 2013 about vertebral artery dissection concluded that CT was more accurate than MR compared to formal angiography in the diagnosis of that entity. This article was also showcased by the New-York Times Well blog.
Diagnosis of Acuity
Diagnosing how acute a carotid artery dissection is may be important when a carotid artery dissection is found incidentally. While an acute event is usually treated with anticoagulation (see below), a non-acute finding will be treated with anti-platelet medication. Imaging that can help in this differentiation is a T2 saturated MRI sequence. If it “lights up” it is subacute. This is due to the hemoglobin characteristics within the mural hematoma. If not, it is probably chronic.
Treatment of carotid dissection
Treatment of carotid dissection includes medical and invasive options. Choosing between these depends on the cause and symptoms.
First, remember that if a patient presents with acute stroke, consideration for timely thrombolysis and acute aspiration is crucial.
Having said that, once the window of opportunity for acute measures has closed, spontaneous dissection should usually be treated medically. This is because there is a low probability of recurrence after the acute stage has passed in most cases. Surgical or endovascular treatment is more appropriate for symptomatic carotid artery stenosis.
Medical Treatment of Carotid Dissection
Anticoagulation has traditionally been the treatment of choice for carotid artery dissection. Lately some have suggested treating patients with carotid dissection with antiplatelet medication such as aspirin. A 2010 Cochrane database review addressed this matter. This group came to the conclusion that there was no randomized trial that justifies the use of one medication over the other (keep reading – there are randomized data). A review and meta-analysis performed in 2013 concluded that there was probably more data favoring antiplatelet agents over anticoagulation. This paper also offered an analysis for carotid artery dissection and vertebral artery dissection separately. The strength of the conclusion was reduced as study quality increased. Then, in 2015 a study came out that randomized about 250 patients with cervical artery dissection to antiplatelet medications versus anticoagulation. This study showed equipoise.
In 2021, other investigators randomized 194 patients with carotid and vertebral artery dissections to either aspirin (300 mg once a day) or vitamin K antagonists. They concluded that aspirin was not non-inferior to vitamin K antagonists. In fact, there were more clinical and imaging events in the aspirin group.
Choosing between Anticoagulation and Antiplatelet Therapy
So, while there are empirical reasons to favor anticoagulation or antiplatelet medication in various specific clinical scenarios, antiplatelet medications are also reasonable. The following (unproven) factors may sway the decision this way or the other:
- Anticoagulation may be preferred when there is severe stenosis, occlusion (and thus risk of embolization as in any other acute carotid artery occlusion), pseudoaneurysm, visible thrombus or multiple infarcts. Multiple dissections (i.e. carotid but concomitant dissections in other locations) may favor anticoagulation. There is no data to support this practice, however.
- Many suggest antiplatelet agents especially when intracranial segments are involved, to try and reduce the risk of intracranial hemorrhage. Also, antiplatelet agents are often prescribed when there is a large infarct and risk of hemorrhagic transformation is high or in cases of intracranial aneurysms or even sub-arachnoid hemorrhage.
Treatment Duration
The optimal duration of treatment is uncertain. We usually do not prescribe anticoagulation for longer than 6 months. Most of us do prescribe antiplatelet agents long-term. The idea is that the endothelium may not be normal after a dissection. Also, if there are recurrent events, having aspirin “on board” can prevent thrombotic complications. But, remember that bleeding is a complication of long-term antiplatelet therapy. No one has compared long-term treatment with short-term treatment.
Invasive treatment
Invasive treatment for carotid dissection is sometimes indicated. Examples of indications include ruptured extracranial pseudoaneurysm, compression of cranial nerves and especially of brainstem structures and recurrent symptoms despite medical treatment.
Physical Restrictions after Dissection
We usually recommend to avoid strenuous activity after dissection. There are few data that tell us exactly which limitations work. We also do not know the duration of the restrictions after artery dissection.
Follow-Up Imaging after Carotid Dissection?
We typically reimage patients after a dissection. But, it is not clear when to reimage and if we should reimage more than once. Sometimes, there is a persistent dissection and other times the dissection has healed. Other times, we see new dissections. Without new symptoms it is not clear what to do with such findings.
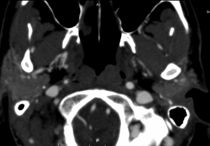
Here is an example. This is a CT of the same patient as the beginning of this article. This CT was performed 3 months later than the other one. Notice there is better flow in the right carotid artery. This points to a healing process of the dissection:

Surveillance of Pseudoaneurysms
Sometimes patients develop a pseudoaneurysm after a carotid dissection. Theoretically, these post a risk of rupture. So, surveillance is important. Again, there are no clear rules about frequency. Obviously, stable, small, pseudoaneurysms require less frequent surveillance.
Read more
- Cervical artery dissection. Lancet Neurology. 2009.
- Sometimes carotid artery dissection is complicated by pseudoaneurysm formation. This small study examined their natural history and suggests management.
- Diagnosis and treatment of carotid dissection. Current Opinions in Neurology. 2009.
Dr. Weinberg is the founder and Editor In-Chief of Angiologist.com. He is a Vascular Medicine physician at Hadassah Hebrew University Medical Center, Associate Professor of Medicine at Harvard Medical School and Past President of the Society for Vascular Medicine.
