A whooshing in ear sound is common in fibromuscular dysplasia (FMD). Unfortunately, the mechanism is not well known. There is also very little to do. One resource is the Whooshers.com website. As I see many such patients, I wanted to summarize a bit on tinnitus, pulse in ear, ringing in ear and whooshing in ear sensations. This will be at a “cliff notes” level.
What is Whooshing in Ear?
Hearing a sound without an external reason is called tinnitus. Patients who have whooshing describe a sound that comes and goes. Some call it “hearing my pulse”. Others call it “ringing in my ears”. Another way to say it is “I hear the wind in my ear all the time”. For some it comes and goes. But for others it is constant. It is typically worse at night, lying down, when everything else is quiet.
We know that headaches are common in FMD. But whooshing can be with or without headaches. Tinnitus occurs in about 1 in 5 FMD patients.
What Causes Tinnitus?
Many insults to the ears or the auditory pathway can cause tinnitus. This means the problem can be external, such as impacted cerumen (wax) in the ear canal. But it can also be an infection or tumor in the inner ear or on the auditory nerve. A comprehensive list can be found here.
Whooshing in Ear in FMD
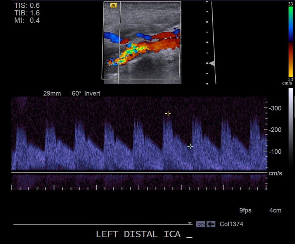
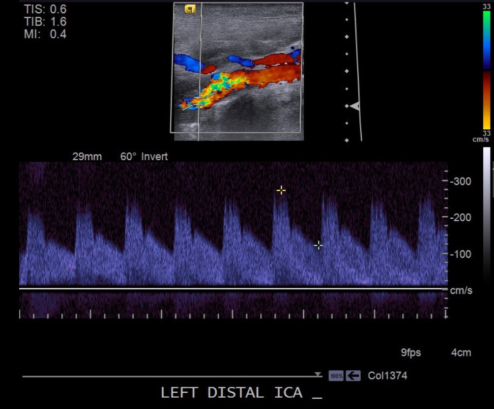
Some vascular abnormalities can cause a pulsatile tinnitus. Some patients describe this pulsation as whooshing. We don’t know the mechanism for a whooshing sound in ear sensation. The carotid arteries could be the cause in FMD. At least, that is the theory. In FMD, the carotid arteries are often tortuous. Also, there is often abnormal flow. Distal flow velocity is often elevated. These may result in abnormal sounds in the ears.

Pulsatile Tinnitus from AV Malformations
A very different vascular cause for a whooshing in ear sensation is an AV malformation. It will cause a sound on one side, the side of the malformation. Diagnosis is with dedicated imaging. Oftentimes, you have to tell the radiologist what you are looking for in advance. The “good” thing about this diagnosis is that there is a treatment.
Whooshing in Ear from a Venous Hum
A vein close to the auditory canal might cause a constant hum. That is known as a venous hum. One reason is a high-riding jugular bulb. In select cases, ligating the jugular vein will resolve the tinnitus.

Whooshing in Ear Treatment
Treatment is available only if there is a specific anatomical problem. For instance, a problem in the ear or an AV malformation. It is worthwhile consulting with a tinnitus specialist, at least once, to see if there is anything reversible to fix. When you cannot find a reversible cause, you offer general measures. In these cases it is meant to treat the symptoms. Sadly, treatment is limited and often disappointing for patients:
- Hearing aids – Even when there is not much hearing loss, amplifying ambient sound can serve to “drown” a whooshing sound.
- Sound therapy – The idea is to provide another sound to focus on instead of the ringing.
- Cognitive behavioral therapy – This may be important for patients who are experiencing diminished quality of life because of the pulse in their ears.
Much more information about tinnitus can be found in this lecture series.
Dr. Weinberg is the founder and Editor In-Chief of Angiologist.com. He is a Vascular Medicine physician at Hadassah Hebrew University Medical Center, Associate Professor of Medicine at Harvard Medical School and Past President of the Society for Vascular Medicine.
