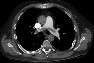
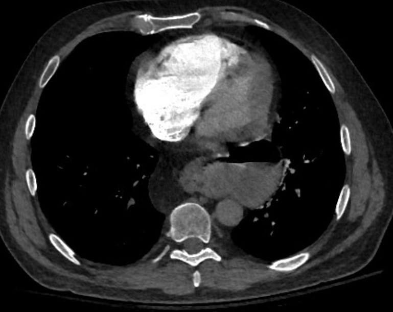
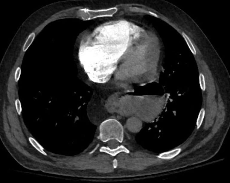
A saddle PE is a pulmonary embolism that is located over the main pulmonary arteries. Perhaps surprisingly, many patients do not have symptoms. In fact, many had imaging for another reason and the PE was an incidental finding. However, sometimes these central clots block cardiac outflow enough to cause syncope, acute right heart failure and even death.

Is THIS Saddle PE Significant?
In medical practice finding a saddle PE sometimes results in concern. The name itself seems to invoke respect by many clinicians. Of course, any proximal pulmonary embolism is a reason for concern. But it actually turns out that the location of the clot has little relationship with patient outcomes. In fact, many patients with saddle PE are asymptomatic. Having said that, this is not always the case. Sometimes the PE causes acute right ventricle failure. This can result in acute syncope and even in death.

Treatment Options
Anticoagulation is the backbone of treatment for any pulmonary embolism. Aggressive measures are not always necessary, including for proximal PE. More advanced therapies are reserved for those patients who prove they require them because of hemodynamic or respiratory compromise:
Endovascular Options
Most of the literature regarding cathether directed thrombolysis for pulmonary embolism describes submassive PE. But local lytics are a treatment for high-risk PE as well. This treatment is given when pulmonary emboli are in the main PA or in proximal segments. Thus it is a reasonable option for patients who need it and have a proximal PE.
Also, central pulmonary embolism are natural candidates for suction thrombectomy. Devices such as the Inari FlowTriever and even the Angiovac can remove clot.
Surgical Options for Saddle PE
Patients who have hemodynamic compromise and a saddle PE might benefit from surgical embolectomy. Indeed, while uncommon, embolectomy is becoming more common. Many actually say we are underutilizing this tool. Potential indications for surgical embolectomy include clot in transit, clot straddling a patent foramen ovale, and contraindications or failure of fibrinolysis. A summary of the technique is found here. In a review of 936 patients, intraoperative mortality was 4%.
