Fibromuscular dysplasia (FMD) is a disease of arteries. It is a systemic condition- FMD can affect most all arteries of the body, although some are affected more often than others (i.e. renal and carotid arteries). While FMD was first described in the 1930’s, much is still unknown about this condition. Thus, when reading these paragraphs, remember that more data may have been added since writing these words. Consider starting to learn about fibromuscular dysplasia from this video first:
Fibromuscular Dysplasia Epidemiology and Pathogenesis
We don’t really know what the prevalence of fibromuscular dysplasia is. It has been described as affecting 0.4% of the population, though some series report higher incidences (as high as 4%!) such as in potential kidney donors or incidentally on imaging studies.
We don’t really understand the pathogenesis of fibromuscular dysplasia (yet!). It is probably linked to environmental as well as genetic factors. Fibromuscular dysplasia typically effects women who do not suffer obvious cardiovascular risk factors. Also, a hormonal factors probably play a role. Click here to read a comprehensive 2022 update on what is known thus far. You can also find a more in-depth dive into FMD genetics here.
Fibromuscular dysplasia can originate from all layers of the artery (i.e. intima, media or adventitia). Under the microscope, FMD-affected arteries have abnormal composition of the affected layer.
Most patients with fibromuscular dysplasia are asymptomatic. However, potential symptoms depend on the arteries that have been affected in the particular patient and range from neurological to renal to coronary to mesenteric to limb ischemia.
Fibromuscular Dysplasia Types
Currently, fibromuscular dysplasia is divided into multifocal and localized types. But the condition can also be divided according to lesion appearance and according to pathology. The most common type is multifocal. Under the microscope, this corresponds to medial fibroplasia.
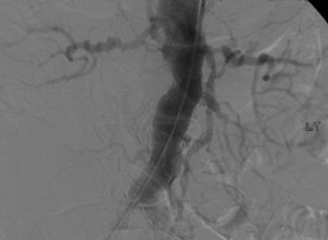
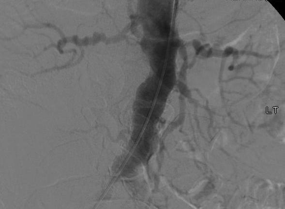
The imaging appearance of fibromuscular dysplasia depends on the type of pathologic lesion present. It can be a classic “string of beads” if medial fibroplasia is the type or a local stenosis or band in other types.
Fibromuscular Dysplasia Diagnosis
In the past, FMD used to be diagnosed with pathological specimens. In modern practice that is quite rare Thus, today, the diagnosis is almost always achieved by arterial imaging. Importantly, the “severity” of the observed arterial abnormalities does not always correlate with symptoms or with prognosis:
- Duplex ultrasound – duplex ultrasound that demonstrates elevated flow velocities (i.e. renal artery stenosis or carotid artery stenosis) in the mid – distal portions of the artery suggests FMD. Sometimes a ‘string of beads’ can be seen. The technician should know that FMD is suspected and look for the distal parts of the renal artery. The specific velocity may not always correlate with disease severity, but measurement of the resistive index may predict response to treatment (e.g. dilatation). Duplex ultrasound is also a very good non-invasive means for follow-up after treatment.
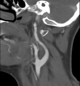
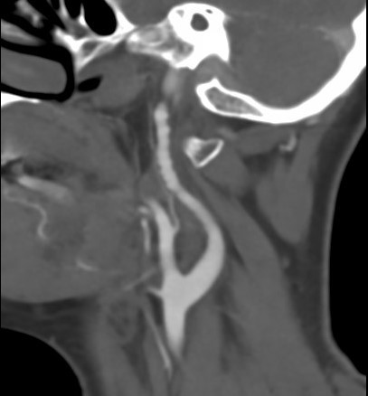
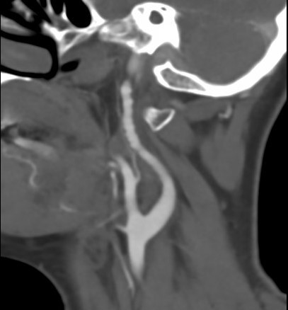
- CT angiography – Computerized tomography angiography (i.e. CTA) is increasingly being used to scan for fibromuscular dysplasia. Surprisingly, this technique is still not well validated, although better imaging techniques and reconstruction programs offer very good views of the renal arteries:

-
- Magnetic resonance angiography (MRA) – MRA lacks the needed resolution for detection of small details, even with use of gadolinium. It is also a relatively slow and time consuming scan; patient movement might cause an artifact of beading.
- Angiography – Angiography is the “gold standard” for detection of fibromuscular dysplasia. It can detect lesions as small as 200-300 micrometers. Angiography has the advantage of assessing lesions with IVUS and pressure measurements. Only these internal measurements can truly assess disease severity. However, they are only rarely needed from a clinical standpoint.

Differential diagnosis
The main differential diagnosis of fibromuscular dysplasia is:
- Atherosclerosis – atherosclerosis can also cause narrowing of blood vessel diameter and is therefore a differential diagnosis for the rarer FMD. However the imaging appearance of atherosclerotic lesions and their location is different than that of FMD and this should help make the diagnosis. For example, atherosclerosis of the renal artery usually causes ostial narrowing, while FMD of the renal arteries is usually in the mid to distal portions.

- Vasculitis – vasculitis, especially of large blood vessels (e.g. Takayasu’s vasculitis) can look like fibromuscular dysplasia and behave in a clinically similar fashion. This is especially true in cases of systemically widespread FMD. In contrast to FMD, there are usually other markers of inflammation present when vasculitis is active.
- Connective tissue disease and particularly Ehlers-Danlos disease. These are also sometimes termed “vasculopathies“.
Signs and Symptoms
Many patients with fibromuscular dysplasia are asymptomatic. But some patients have symptoms. Symptoms can be non-specific such as migraine headaches, elevated blood pressure or tinnitus. But the clinical manifestations can also follow the anatomical location (or locations) of disease in a particular patient and on whether or not vascular complications exist. Vascular complications include arterial dissection and aneurysm formation. The prevalence of aneurysms and dissection in patients with fibromuscular dysplasia has not yet been reported appropriately, but probably lies between 4 and 10% according to old, small series. A 2017 report found 12.9% of women with FMD to have brain aneurysms, and of those more than 40% were greater than 5 mm in diameter.
Renal Artery Fibromuscular Dysplasia
Fibromuscular dysplasia of the renal arteries is of particular interest because it is a cause of treatable reno-vascular hypertension and of renal function impairment (although renal failure is rare). Fibromuscular dysplasia of the renal arteries is a popular answer to the question: “what is a reversible cause of reno-vascular hypertension?”, though it probably accounts for less than 10% of such cases. Renal artery FMD tends to affect women more than men and the age range is usually 15-50. In almost 40 percent of women with renal artery fibromuscular dysplasia, the disease progresses with time. Of note – according to imaging studies, many patients have asymptomatic renal artery FMD. These patients may develop hypertension only if renal artery dissection occurs.
Treatment of Renal Fibromuscular Dysplasia
The main effect of renal fibromuscular dysplasia is hypertension. Hypertension should be treated according to customary guidelines. In certain patients, more definitive treatment should be sought. These include:
- Difficult to treat hypertension (including non-compliance and intolerance to antihypertensive medication)
- Younger patients with short-term (or new onset) hypertension. These are patients who are most likely to respond to percutaneous treatment.
- Loss of renal volume according to imaging studies in comparison to the second kidney
The mainstay of treatment for renal artery fibromuscular dysplasia is catheter based balloon angioplasty. Stents are usually not used during angioplasty for renal FMD, unless there is a suboptimal result or dissection. Technical success rate of angioplasty is above 85% and in most cases well over 90% as well. If disease recurs, another PTA is often successful. There is no need to re-intervene unless hypertension or renal dysfunction / reduction in size develop. Return of renal artery stenosis alone is not reason for repeat intervention. If percutaneous treatment fails there is also a surgical option. Renal angioplasty is most successful in treating reno-vascular hypertension in FMD patients who are younger than 50, do not have atherosclerosis of the coronary arteries and have relatively new onset hypertension. The bottom line is that renal artery angioplasty can cure reno-vascular hypertension that is secondary to FMD.
Renal artery angioplasty can be done on an outpatient basis or short-term (usually overnight) hospitalization. Complication rate is under 15% and is usually minor (puncture site related). Severe complications of renal artery angioplasty include artery dissection and segmental renal infarction. Another factor to think about is restenosis rate which can be as high as 27% in two years. This can be treated with a repeat procedure. This is why after renal artery angioplasty a patient needs to be followed with duplex ultrasound. This should be done before discharge and after 6 months, 1 year and then yearly or when blood pressure rises.
Cervical Artery Fibromuscular Dysplasia
Fibromuscular dysplasia in the cervical arteries can be asymptomatic or cause neurological syndromes. These range from a whooshing in ear sounds to hemispheric stroke to a multitude of non-specific signs and symptoms. Sometimes a carotid bruit is the impetus for the diagnosis. Other times, the diagnosis follows an incidental finding that is discovered after carotid imaging is performed for some other reason. Cervical FMD can be extra or intra-cranial. Extra-cranial carotid artery involvement in FMD is usually in the distal artery, at the level of C1-C2. The prevalence of this involvement may be higher than previously thought according to the international registry of fibromuscular dysplasia. When extracranial FMD is present, intracranial involvement is also prevalent.

Imaging of cerebral FMD can be done with duplex ultrasonography (that has a low sensitivity / specificity in this site), CT angiography or MR angiography. Notably, FMD patients should undergo at least one brain imaging. A 2017 analysis of the FMD registry has shown that 12.9% of women with fibromuscular dysplasia have brain aneurysms. Of these over 40% are larger than 5mm. Thus, identifying these aneurysms matters.
When intervention is required, treatment of cerebral FMD is usually done with catheter directed angioplasty. It is offered for symptomatic patients. There is actually not much data comparing catheter directed treatment with surgery.
Read more
- The United States FMD Registry offers a continuous updated information base regarding this disease. Preliminary data have been published in Circulation in 2012 and are summarized here.
- Slovut DP and Olin JW. NEJM. 2004; 350(18): 1862-1871.
- Diagnosis and management of FMD. This article has an interesting table elaborating misconceptions about fibromuscular dysplasia, its diagnosis and manifestations. JVS. 2011.
- FMD Society of America.
- Fibromuscular dysplasia and pregnancy.
Dr. Weinberg is the founder and Editor In-Chief of Angiologist.com. He is a Vascular Medicine physician at Hadassah Hebrew University Medical Center, Associate Professor of Medicine at Harvard Medical School and Past President of the Society for Vascular Medicine.
