Antiphospholipid antibody syndrome

Antiphospholipid antibodies can present as part of the antiphospholipid syndrome or independently. These antibodies are a well known risk factor for both venous thromboembolism and arterial thrombosis. This article will discuss the antiphospholipid syndrome, antiphospholipid antibodies and the treatment and prevention of thrombosis when they are present. We will try to avoid basic science talk as much as possible and focus on clinical aspects of the antiphospholipid-thrombosis connection.

What is the antiphospholipid syndrome?

The antiphospholipid syndrome is the combination of pregnancy losses, venous and/or arterial thrombosis and the presence of antiphospholipid antibodies.

The diagnosis of antiphospholipid syndrome is based on diagnostic criteria:

  • Objective finding of thrombosis
  • Problems with pregnancy including one or more:
    • Miscarriage of a healthy appearing fetus after week 10 of pregnancy
    • Pre-mature birth of a healthy appearing fetus because of eclampsia pr severe pre-eclampsia
    • Three or more consecutive abortions before week 10 of pregnancy

These clinical features are complemented by laboratory tests that prove the presence of antiphospholipid antibodies. It should be noted that these tests can be performed while the patient is on some anticoagulants but not on others. Coumadin has not been shown to interfere with interpretation.

  • Lupus anticoagulant on at least two occasions, at least 12 weeks apart. This type of antibody is a strong predictor of thrombosis. Lupus anticoagulant prolongs laboratory coagulation tests that are antiphospholipid dependent. This is the antibody that may cause patients with lupus anticoagulant to have prolonged aPTT without any exposure to external anticoagulation. This characteristic of the lupus anticoagulant antibody is also the reason that the diagnosis is made by mixing tests (mixing the patient serum with normal or phospholipid rich serum).
  • Anticardiolipin antibodies (IgG or IgM) in medium or high titers on at least two occasions, at least 12 weeks apart. These antibodies do not prolong the aPTT. They are diagnosed with ELISA.
  • Anti beta2 glycoprotein 1 antibodies in high titers (above 99th percentile of normal) on at least two occasions, at least 12 weeks apart. These antibodies are not associated with recurrent thrombosis or miscarriage on their own. They are diagnosed with ELISA.

Being positive for all three sub-types of antibodies carries the greatest risk for thrombosis and for recurrence of thrombosis.

Clinical manifestations of antiphospholipid syndrome

Patients with persistently elevated antiphospholipid antibodies present with various clinical manifestations, some more common than others:

  • Common clinical manifestations of antiphospholipid syndrome:
    • Venous thromboembolism – Patients that are found to have persistently elevated antiphospholipid antibodies are at increased risk for venous thrombosis even if they have not yet had a clot. Primary prevention with aspirin has been tried.
    • Thrombocytopenia
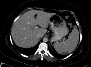
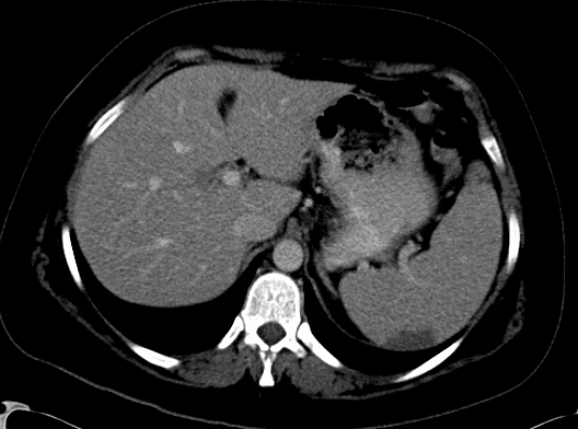
    • Stroke (in the young, not including amaurosis fugax which is less common) is the most common arterial thrombosis. Other arterial beds may be involved including limb ischemia. Renal and splenic infarcts are possible. The source may be vegetations on heart valves. These are called “Libman-Sacks” vegetations.
Splenic infarct in a patient with APLA syndrome
Splenic infarct in a patient with APLA syndrome
  • Miscarriage or fetal loss – Most miscarriages occur before week 10, and are typically before the mid-second trimester.
  • Migraine
  • Livedo reticularis that is persistent (does not disappear with leg elevation or warming)
  • Less common manifestations of antiphospholipid syndrome:
    • Pre-eclampsia or eclampsia
    • Valvular heart disease
    • Coronary artery disease
    • Hemolytic anemia
  • Unusual clinical manifestations of antiphospholipid syndrome:
    • Epilepsy/Chorea
    • Vascular dementia
    • Retinal artery or vein thrombosis
    • Amaurosis fugax
    • Pulmonary hypertension
    • Leg ulcers
    • Osteonecrosis
    • Mesenteric ischemia
    • Nephropathy
  • Rare clinical manifestations of antiphospholipid syndrome:
    • Adrenal hemorrhage
    • Budd-Chiari syndrome
    • Transverse myelitis
    • Catastrophic APLA – Catastrophic antiphospholipid syndrome is rare, but carries a grave prognosis. Micro-circulatory thrombosis results in multi-organ failure. Mortality approaches 50%.
  • Treatment of thrombosis in patients with antiphospholipid antibodies

    Patients who have had a thrombotic event and have persistently elevated antiphospholipid antibodies are treated with anticoagulation for secondary prevention. Duration of treatment and type of treatment for venous thrombosis and arterial thrombosis are a matter of debate in the current literature.

    Patients who have had one venous thrombotic event and have proven antiphospholipid syndrome are usually treated with anticoagulation (usually a vitamin K antagonist such as warfarin) to a target INR of 2-3. If recurrent event occur, a target INR of 3-4 is sought or a different anticoagulant should be tried. If the antiphospholipid antibodies are thought to affect the INR measurement, factor II and factor X can be used. These factors are also vitamin K dependent and low levels will correlate with appropriate anticoagulation.

    Patients who have had an arterial thrombotic event and have proven antiphospholipid antibodies, should be treated with a combination of an anticoagulant and an anti-thrombotic medication.

    Patients in whom an arterial or venous thrombotic event happened, but there is a low titer of antiphospholipid antibodies, are treated as other patients with venous thromboembolism or arterial thrombosis.

    As for primary prevention of vascular thrombotic events in patients with antiphospholipid antibodies who are still asymptomatic – there is uncertainty. Most would agree that anticoagulation is not necessary and that low-dose aspirin may be given to certain patients such as patients with SLE and high titers of antibodies. In these patients hydroxychloroquine should also be given as it is safe, and has positive effects on both the lupus and thrombosis. It also makes sense to offer hydroxychloroquine to patients with thrombosis and antiphospholipid antibodies without SLE as an adjunct to anticoagulation.

    Anti-inflammatory medication for antiphospholipid syndrome

    As antiphospholipid syndrome involves inflammatory cells and auto-antibodies, it may make sense to treat these patients with anti-inflammatory medication. To date, this is not part of standard recommendations.

    Plasmapheresis is also not effective. In order to remove IgG antiphospholipid antibodies many cycles would be needed. It is just not feasible.

    Statins have anti-inflammatory properties that are independent of their cholesterol lowering effect. Fluvastatin has been successful in reducing the level of pro-thrombotic mediators in a small group of patients with antiphospholipid antibodies. Statins are category X for pregnancy and should not be seen as a “benign” form of treatment to preserve a pregnancy. There are other potential targets for treatment of antiphospholipid syndrome. These may include tissue factor, NF-kappa-B, platelet glycoprotein receptors and more.

    Pregnancy and antiphospholipid syndrome

    The matter of pregnancy and antiphospholipid syndrome will not be discussed in this article.

    How common are antiphospholipid antibodies?

    Antiphospholipid antibodies are present in different proportions in different populations. Antiphospholipid antibodies were found in 5-10% of healthy subjects, but most often transiently. In high risk populations such as patients with systemic lupus erythematosus (SLE), antiphospholipid antibodies can be detected in as many as 40%. Though recurrent miscarriage occurs in 1% of pregnancies, antiphospholipid antibodies can be found in 10-15% of these women, less as pregnancy progresses. Antiphospholipid antibodies also correlate with pre-eclampsia and eclampsia. High incidence of antiphospholipid antibodies also occurs in young patients with arterial thrombosis (such as stroke or acute limb ischemia). Some have found antiphospholipid antibodies in as much as 24% of 4494 patients with venous thromboembolism.

    Practical questions and answers about antiphospholipid antibody syndrome

    1. There is no clear correlation between the level of the antibody and the risk of thrombosis. Guidelines do state that antibodies need to be persistently ‘moderately’ elevated. However there is no definition for ‘moderate’. Also, chemotherapy can eliminate the antibodies, without decreasing the risk for thrombosis. Last, there are patients that have had neurological symptoms that had reduced risk if their antibodies disappeared spontaneously for over a year.
    2. There is no clear correlation between the antibody type and the risk for thrombosis. Anti beta 2 glycoprotein antibodies may pertain less risk, however there is less data about them (they are newer) and they often do no appear alone.
    3. Treatment should be with anticoagulation for all patients (after an arterial or venous event). The INR goal is 2-3 (more than that did not help, but patients did bleed more). Adding aspirin is part of the treatment during pregnancy (and then, of course LMWH). Aspirin is also added after an arterial event. Some add aspirin after a venous event as well, as there is a 30% chance for a concurrent arterial event. Treating the arterial event with anticoagulation stems from the fact that these patients still have more venous clots thereafter. Nonetheless, even with treatment, the higher risk groups (all 3 antibody subtypes positive) will have 15% recurrent clots per year.
    4. Women with isolation APLA syndrome during pregnancy (‘Obstetric APLAS’) may not be at risk for generalized thrombotic events.
    5. Patients with persistent antiphospholipid antibodies without symptoms should not be treated. They may benefit from thromboprophylaxis in high risk situations.

    Read more:

    1. Antiphospholipid syndrome. Lancet. 2010.
    2. American society of hematology guidelines for asymptomatic antiphospholipid antibodies. 2009.
    3. Diagnosis and mechanism of antiphospholipid syndrome. Hematology. 2003.

    Author

    • Dr. Ido Weinberg

      Dr. Weinberg is the founder and Editor In-Chief of Angiologist.com. He is a Vascular Medicine physician at Hadassah Hebrew University Medical Center, Associate Professor of Medicine at Harvard Medical School and Past President of the Society for Vascular Medicine.

      View all posts
    Vascular Medicine