Mural thrombus

Mural thrombus is formation of thrombus in an artery, most commonly the aorta. Mural thrombi can arise in normal arteries, in the context of hypercoagulability, or within aneurysms. The same term is used to also describe clots in the heart, such as post myocardial infarction in an aneurysmal dilatation. But, this article will not be discussing those.

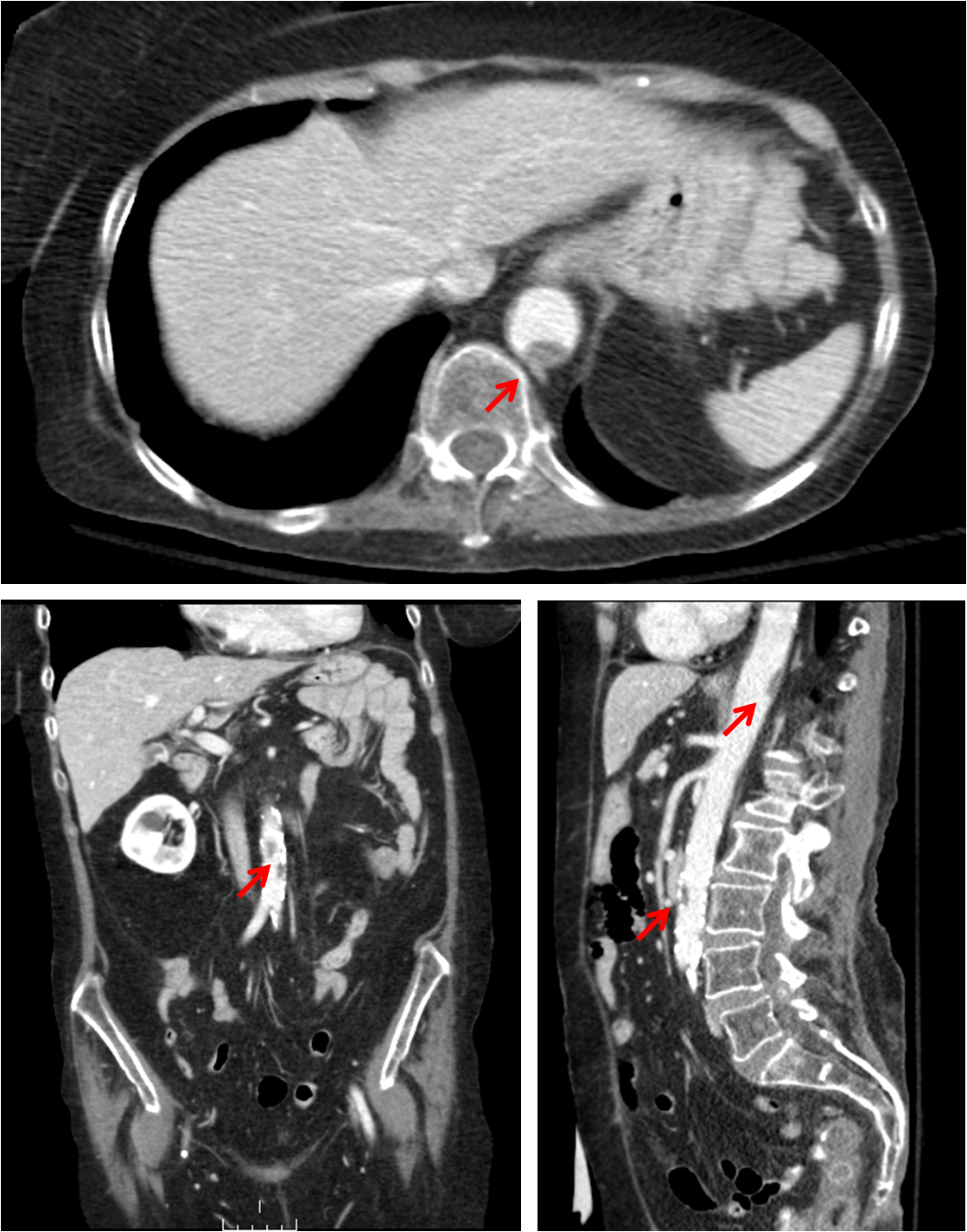
Mural thrombus
Computed tomography showing mural thrombus in the aorta (marked by the red arrows)

Causes of mural thrombus

Mural thrombi can arise in normal arteries or within aneurysms. Primary thrombosis of the aorta without aneurysm is uncommon. Therefore the literature is scarce. Mural thrombus is usually attributed to systemic hypercoagulability, as summarized in a series of 30 autopsies. Aortic thrombosis may also occur after trauma. It has also been described as a complication of aortic plaque, specifically in smokers.

Mural thrombus within an aneurysm is different. Stagnant blood flow in the dilated portion of the artery deposits the clot. In fact, it is less common to find an aortic aneurysm without any thrombus in it.

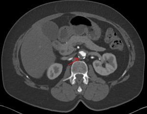
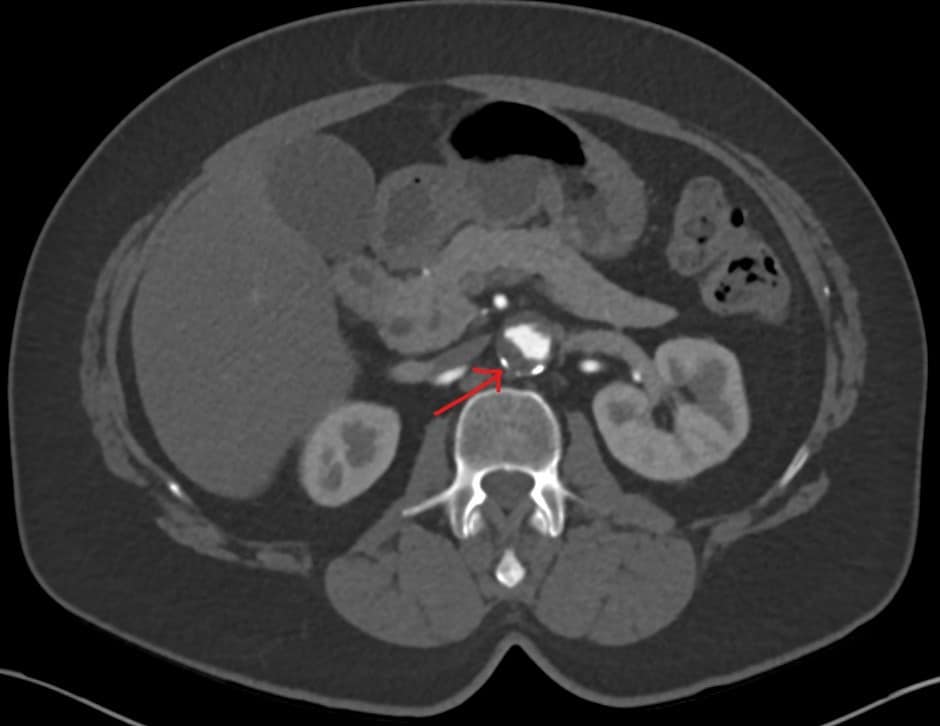
Mural thrombus
Mural thrombus in a small aortic aneurysm

Diagnosis of mural thrombus

Mural thrombus may be symptomatic or may be diagnosed as an incidental finding. Incidentally found clot is most often diagnosed on imaging studies performed for other reasons. Computed tomography is the most common imaging to show these findings (as in the images above). Mural thrombi can also be noted during echocardiography, most likely in the ascending aorta.

In contrast, there are patients who present with symptoms. The most common clinical presentation is distal embolization of parts of the clot. For this reason, patients who present with otherwise idiopathic embolic phenomena (such as renal infarction or blue toes) should undergo imaging of their aorta to rule out a mural thrombus as the cause.

blue toes
Blue toes from embolization of thrombus

Treatment

Unfortunately, there is no robust evidence to guide treatment. Generally, there are two main options: Medical therapy (e.g. antiplatelet agents or anticoagulation) and intervention (e.g. endovascular or surgical).

Treatment when there is an Aneurysm

If there is an (aortic) aneurysm, the clot is usually removed or excluded as part of aortic aneurysm treatment. If the aneurysm is not at a size that requires treatment, mural thrombus will only be addressed if symptoms occur.

aortic mural thrombus
Clot and calcific material removed from a AAA during surgery

Treatment when there is no Aneurysm

The decision is harder when there is no aneurysm. Of course, patients with symptoms will receive treatment. But other factors include location, amount of clot and the hypercoagulable state.

One review of 200 patients published in 2013 concluded that surgery may produce better long-term outcomes than anticoagulation in appropriately selected patients. Practically, intervention is reserved for patients who have failed anticoagulation, are symptomatic and are good surgical candidates. Interventional options include thrombectomy but also covering the clot with a stent graft. For lack of literature, no one technique can be said to be superior to the other.

Anticoagulation?

In most instances, the pathophysiology does not support anticoagulation for the treatment of mural thrombus. But, in practice, many clinicians will start anticoagulation. A specific instance to offer anticoagulation are when there is cancer-associated mural thrombus or antiphospholipid antibody related thrombus.

There is less agreement regarding duration of therapy. Some would treat indefinitely, while others would treat until resolution or until the hypercoagulable cause for the mural thrombus has passed (such as cancer cure).

Of note – there are clinicians who claim that anticoagulation has no place in the treatment of mural thrombus as the pathophysiology is not one of hypercoagulability.

It is unlikely that there will ever be high-level randomized trials to assess this matter. At least in the near future this will remain something for clinicians to exercise their discretion.

Author

2 thoughts on “Mural thrombus

  1. I have been taking Eliquis 5.0 mg for 1 year and I also have a 4.7 aneurysm in my addominal aorta. I just had a CT scan of that area and the mentioned seeing a Mural Thrombus in my aneurysm. Why didn’t the ellipsis stop the mural thrombus from forming?

    1. While I cannot reply about your case specifically, I can say that mural thrombus in aortic aneurysms are common. These are not typically prevented by a blood thinner like Eliquis. Their composition is different that what is prevented by medications like Eliquis. Often, the slower flow in the aneurysm will support sedimentation, which forms the mural thrombus.

Leave a Reply

Your email address will not be published. Required fields are marked *

Vascular Medicine