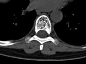
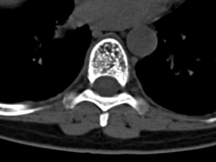
A vertebral hemangioma is type of benign spinal tumor. In adults, they are usually identified incidentally on CT or MRI.
Vertebral hemangiomas are usually slow growing. Radiological studies have described a growth rate of up to 3 mm over 10 years.
Less commonly, they can be aggressive. Still, symptoms are uncommon. When they do exist, symptoms can be localized pain or neurological.
Treatment is by decompressive surgery. Treatment for recurrence is sometimes offered with irradiation.

