Kommerell diverticulum is an outpouching of an aberrant subclavian artery. Symptoms arise from compression of the esophagus or trachea. As most aortic arches are left, the aberrant subclavian artery is usually a right one. We name this phenomenon after Dr. Burkhard Kommerell who described it in 1936. However, Dr. David Bayford actually identified it already in 1761. He did so when performing an autopsy on a woman named Jane Fordham. She died at the age of 62 from obstructed swallowing (“obstructed deglutition”). At that time he called it a “trick of nature” and that is where the term dysphagia lusoria comes from. He actually published his findings in 1787. So why do we call it Kommerell diverticulum? Well… he was the first to publish a case of a living person with a clinical diagnosis.
Diagnosis of Kommerell Diverticulum
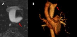
An aberrant subclavian artery usually causes an aortic diverticulum, or outpouching. Depending on its location, the artery might compress the esophagus or the trachea. It is unknown how many of these dilated portions of the artery result in rupture. Most literature seems to find a low number. Also, it could be that as we perform more imaging, we are finding more asymptomatic cases.
As this is an uncommon diagnosis, clinical suspicion is key. Incidental diagnosis with chest x-ray or CT scan is not unusual. Deliberate investigations include barium swallow and chest imaging. Imaging can include echocardiography, CT or MR. There are reports of a pulsatile mass visualized on upper endoscopy.

Treatment Considerations
Kommerell diverticulum should be treated if there are symptoms or if the size increases. There is no one correct size cutoff. I have seen the number 3 cm come up. Also, if there is also an aortic aneurysm, it makes sense to intervene. However, rupture can occur even at 2 cm and there are reports of repair even at 15 mm. In any case, treatment options are endovascular and surgical.
Read more
A comprehensive review published in 2015.
Dr. Weinberg is the founder and Editor In-Chief of Angiologist.com. He is a Vascular Medicine physician at Hadassah Hebrew University Medical Center, Associate Professor of Medicine at Harvard Medical School and Past President of the Society for Vascular Medicine.
