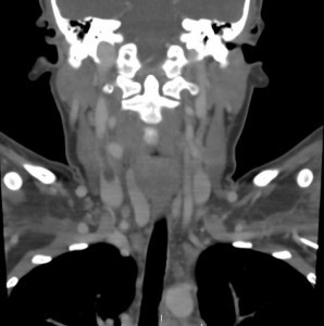
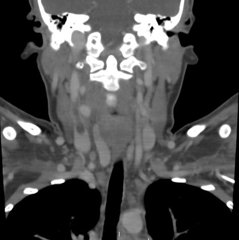
Jugular vein thrombosis is not common. It may occur in the internal or in the external jugular vein. Usually, a clot in the internal jugular vein is either the result of a procedure, or extension of clots in the arm veins.
Prevalence
The prevalence of upper extremity DVT is about 10% of all deep vein thrombosis and the prevalence of internal jugular vein thrombosis is perhaps a fraction of those.
Mechanism
As mentioned above, most of these clots will occur in hospitalized patients after someone tried to place a central line. In one series, most IJ clots were indeed iatrogenic, and occurred in-hospital, most commonly in association with central venous catheters.
Clinical Manifestations
The clinical manifestations include local neck pain and swelling. The swelling may also be apparent in the upper extremity. Sometimes, we can also see distension of the lower neck and upper chest veins (Urschel sign).
We should think of an internal jugular vein thrombus as we do of a deep venous thrombosis. While lower than in the lower extremities, the prevalence of short and long-term complications is not negligible. The most grave consequences include pulmonary embolism which may occur as much as 10.3% of cases. Another potential complication is post-thrombotic syndrome. Other consequences include thrombus propagation, and recurrent events.
External jugular vein thrombosis
In contrast to a clot in the internal jugular vein, there is even less information about external jugular vein thrombosis. These are superficial vein thrombi. Probably, they also occur most commonly in relation to neck catheter insertion. Clinically, a patient will complain of a swollen, painful, elongated mass on the neck. Sometimes there is inflammation. Then it is thrombophlebitis. Importantly, clots in the external jugular vein can propagate to the internal jugular veins.
Jugular Vein Thrombosis Treatment
Optimal treatment is controversial. Still, as noted, we should probably usually think of these as we do of any other deep vein thrombosis. So, we should probably usually treat, not only by removing the line, but also with anticoagulation.
Unfortunately, there is not enough data to support a clear recommendation as to the length of time for the treatment.
There is even less data to guide treatment of external jugular vein clots. In the absence of propagation into the deep system, we can probably usually offer warm compresses and NSAIDs to relieve symptoms. However, sometimes a short course (3-4 weeks) of anticoagulation is in order.
Lemierre’s Syndrome
Internal jugular vein thrombosis may be a complication of a pharyngeal infection. Extension of the infection to the jugular vein may be secondary to a para-pharyngeal abscess. If the thrombosis extends and embolizes this may result in septic thrombo-emboli to the lungs. This is called Lemierre’s syndrome. Lemierre’s syndrome may result in mortality.
The treatment of Lemierre’s syndrome is first and foremost antibiotics. There is uncertainty concerning the need for anticoagulation in these patients. However, most would probably treat these patients for a finite period of time, especially if clots do not resolve with antibiotics alone.

Dr. Weinberg is the founder and Editor In-Chief of Angiologist.com. He is a Vascular Medicine physician at Hadassah Hebrew University Medical Center, Associate Professor of Medicine at Harvard Medical School and Past President of the Society for Vascular Medicine.

