lterAn inferior vena cava filter (IVC filter) is a small umbrella-like devices that can be inserted into the inferior vena cava in order to prevent pulmonary emboli in patients with deep vein thrombosis or at risk for deep vein thrombosis. Inferior vena cava filters may be optional (retrievable) or permanent. Clinicians need to understand the indications for inferior vena cava filters and their potential complications.
Indications for IVC filters
As above, there is little high quality data regarding IVC filters. Despite this fact, there has been an increase in their use in the United States and in Europe over that past decades and indications have been stretched. However, the ACCP 8 guidelines (and ACCP 9) do provide two non-debatable indications for the placement of an inferior vena cava filter (albeit they only assign a rate of IC – expert opinion – to these recommendations):
- Secondary prevention of a pulmonary embolus in a patient that had already sustained a VTE episode and has an absolute contra-indication for anticoagulation. An example for such a patient is a multi-trauma patient that developed a deep vein thrombosis or a patient with subdural hematoma that developed a pulmonary embolus. The risk for pulmonary embolus or deep vein thrombosis in a patient with intracerebral bleed can be as high as 3%. Up to a third of these events can be fatal. Once a patient developed such an event, recurrence rate is as high as 50%.
- Secondary prevention of a pulmonary embolus in a patient that is fully anticoagulated but had a recurrent thrombosis.
Other Potential Indications
- Primary prevention of pulmonary emboli in patients with contraindications for anticoagulation. Of note – there are other, non-invasive methods for such prevention, such as pneumatic compression boots or graded compression stockings. It is important to note that this indication for an inferior vena cava filter is rather relative. The american college of chest physicians 2008 guidelines for venous thromboembolism prevention and treatment actually oppose this relative indication, even in trauma patients (that are prone to bleeding and immobile by nature).
- Prevention of a pulmonary embolus in fragile patients that may die if they sustain even a small pulmonary embolus.
Despite these widely accepted indications for the insertion of IVC filters, real-world data shows that they are being inserted more freely. A retrospective analysis of IVC filter insertion in an English community found that IVC filters were inserted in 13.1% of patients with venous thromboembolism; 51% were found necessary and 26% were deemed unanimously unnecessary in retrospect.
Contraindications for IVC filters are scarce, as they are considered rather safe across a broad spectrum of indications. Relative contraindications include severe coagulopathy, lack of access site (usually due to thrombus and there is usually an alternative access site) and expectant MRI (with some types of filters). Most IVC filters are MRI safe and those that are not are MRI conditional. A 1.5 tesla magnetic field should be used, although a higher field of 3 tesla has been used safely.
Benefits of IVC filters
The main reason for inserting IVC filters is to prevent pulmonary emboli in patients in whom anticoagulation is contraindicated. Inferior vena cava filters reduce the short-term chances of life threatening pulmonary emboli in properly selected patients.

However, most data regarding the actual, real-life, benefits of filters is limited and retrospective. As of 2010 there are only two prospective studies comparing conservative treatment with and without (permanent) IVC filters in different types of patients. The rest of the data is either retrospective, cohort or center experience. Especially lacking is good quality information regarding potential benefits of retrievable IVC filters. All in all mortality is probably not reduced, despite a reduction in PE (this may be because patients who need an IVC filter are just sicker all together).
Furthermore, one retrospective population based study from California in the 1990’s revealed that a year after a venous thromboembolism event, patients who received an inferior vena cava filter did not have less hospitalizations than patients who did not receive a filter. While there were less hospitalizations for pulmonary embolism, there were more hospitalizations for deep vein thrombosis. Having said that, the use of IVC filters has become widespread and more common over the years. Despite lack of evidence, the common belief is that if the chances of retrieval are high, the benefits outweigh the risk (see below).
Complications of IVC filters
IVC filter insertion conveys certain potential harms. The harms involved in the insertion of an IVC filter include:
- Local puncture site complications (hematoma, bleeding and rarely infection)
- Mal-alignment of misplacement of the filter. This is a rare complication, however, filters have been known to be misplaced terribly and there has even been a filter put into the spinal canal. Different problems are filter migration and filter penetration through the IVC walls, resulting in the filter ending up in problematic locations.

- Filter breakage has been described. Some filters have a higher breakage rate than others. Rates as high as 12% have been described.
- Death related to filter insertion has been estimated to be rare (probably well under 1%).
These complications are rather immediate. The prevalence of each complication differs somewhat between various filters, even within the same company.
The PRESERVE trial, published in 2023, was important to assess real-world safety of inferior vena cava filters. The researchers followed patients for a year. Overall, they showed a good safety profile. But it is important to note that the study did not include all filter types.
Recurrent venous thromboembolism
Although not intuitively apparent, the presence of an IVC filter can actually increase the long term risk for the formation of a deep vein thrombus and inferior vena cava thrombosis. Because an IVC filter is a foreign body, and turbulent flow can arise around it, blood may clot on the filter itself and later emboli can dislodge and reach the lungs.
A seminal comparison of 200 high risk patients with a filter and 200 patients without a filter showed that by day 12 patients with a filter had less pulmonary emboli (1.1% versus 4.8%) but more deep vein thrombi. Not all publications agree with these figures. A retrospective analysis of 8 years of follow-up of 58 patients in whom filters were inserted for primary prevention for gastric bypass surgery showed that only 2 developed DVT. Still, removal of filters in considered best medical practice when possible (see below).
Inferior Vena Cava Syndrome
Blood clots forming around a vena cava filter may propagate and block the inferior vena cava. This may lead to serious impingement of returned blood flow from the lower part of the body and therefore herald a great deal of lower extremity morbidity. The risk of inferior vena cava thrombosis is lower than the risk for deep vein thrombosis. The aforementioned PREPIC study population were followed. At 8 years out the results were more alarming than the initial results. There were still more deep vein thrombosis in the filter group. The inferior vena cava thrombosis rate was 13%. A retrospective analysis of 26 years of experience with IVC filters reported 2.7% risk. Risk may be higher in patients with malignancy. One series found this to be 4.5%.
IVC Filer Thrombosis

This is different than inferior vena cava thrombosis or from deep vein thrombosis. An IVC filter thrombus means that if we attempt to retrieve the filter, we will find a clot within (or sometimes above) the filter. Another name for this is a “retained clot”. This clot makes it impossible to remove the filter. One center estimated the prevalence of IVC filter thrombosis to be as high as 18.6%. Continued anticoagulation is the usual treatment. In that series it was effective in 33.9%. There is no data about choosing a different anticoagulant.
Bleeding and Perforation
- Bleeding – bleeding in the presence of an IVC filter occurs not because of the filter, but because of the treatment with long-term anticoagulation.
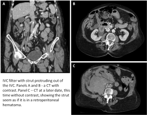
- Perforation – Sometimes, an IVC filter may perforate through the inferior vena cava into adjacent structures. In most cases this happens after time has elapsed from the filter insertion. This may be due to filter struts breaking or twisting or after filter migration and burrowing through the IVC wall.
Responding to a Complications
These complications mean one thing. We need to remove filters as soon as the risk for VTE has subsided or as soon as we start appropriate anticoagulation. However, a study following patients with filters for a median duration of 3.1 years found that thromboembolic complications occur even in the presence of proper long-term anticoagulation.
Prompt Inferior Vena Cava Filter Retrieval Should Reduce Complications
As noted above, we can reduce some of the long-term complications by promptly removing filters. Nevertheless, in clinical practice, this is not easy to achieve. In fact, nationally in the United States the IVC filter retrieval rate stands on only about 30%. Reasons for this low rate include non-modifiable reasons such as patient death and persistent indications for the filter to remain in, but loss of patient contact is a common reason as well. A dedicated IVC filter clinic may raise retrieval rate.
Inferior Vena Cava Filter Insertion
Inserting an IVC filter is not that different from putting in an IV line. Just that we target a different vein. And instead of an IV line, we are leaving a filter behind. This means that it is inserted by a catheter through the groin veins and then deployed in place, in the inferior vena cava, usually under the origin of the renal veins.
A catheter is advanced from the common iliac vein to the inferior vena cava. Contrast material is injected to identify the correct location of the catheter and then the filter is deployed from its’ end. Once deployed, the filter should remain in the center of flow and its appendages should circle the vena cava circumference. At this time the catheter is removed and the procedure is terminated.

Special considerations regarding IVC filters
Most IVC filters are inserted in the infra-renal inferior vena cava. However, supra-renal inferior vena cava filters can also be inserted. Indications for supra-renal IVC filters include thrombus that extends into the IVC (thus eliminating the infra-renal space), pulmonary emboli despite IVC filter (then dual filters are put in), pregnancy (and thus inability to put a low set filter in) and a large ovarian vein.
Another special case to consider for IVC filters is what to do if a filter is indicated during bacteremia or sepsis. Theoretically putting in a filter in patients that have bacteria in there blood is wrong, as it may serve as an endovascular nidus for infection. The reality, however, is that results are encouraging as long as proper antibiotics are administered in conjunction.
Read more about inferior vena cava filters:
- A comprehensive review of inferior vena cava filters of various types, indications and controversies. As this has been published in 2000 it pertains to older filters. Some claim that newer filters may have different characteristics.
- Kelly J. et al. Anticoagulation or IVC filter placement for patients with primary intracerebral hemorrhage developing VTE. Stroke 2003.
- Temporary IVC filters – The first filters were permanent. Today, most IVC filters that are inserted are temporary IVC filters.
- Trends in the use of IVC filters. Archives of internal medicine 2004.
- An interesting case of double vena cava filter insertion in congenital double vena cava.
- Inferior vena cava filter complications. American Surgeon. 2003.
- The FDA has addressed appropriateness criteria for the insertion of inferior vena cava filters. These can be found here.
Dr. Weinberg is the founder and Editor In-Chief of Angiologist.com. He is a Vascular Medicine physician at Hadassah Hebrew University Medical Center, Associate Professor of Medicine at Harvard Medical School and Past President of the Society for Vascular Medicine.

