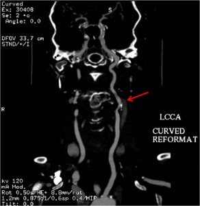
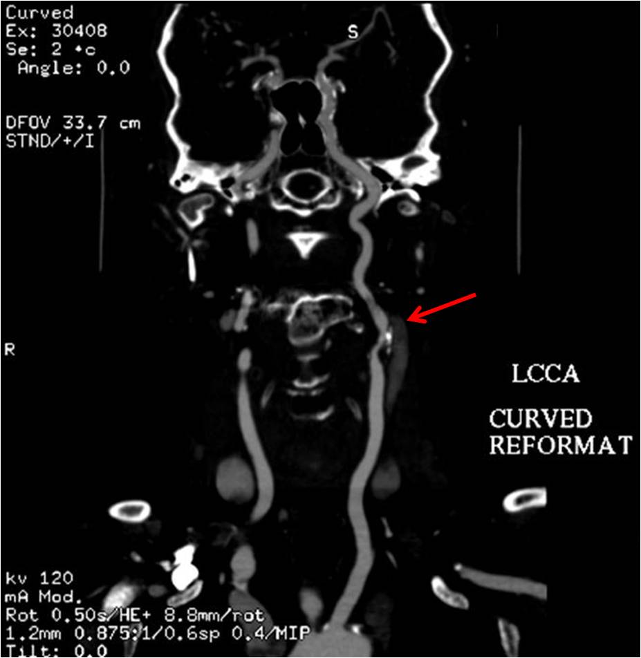
Carotid artery stenosis treatment can be medical, endovascular or surgical. It is a matter of debate. On the one hand, not interfering with the natural history of a disease may sometimes result in a stroke. This is especially true in symptomatic patients. On the other hand treatment itself may result in unwanted consequences. Patients may have peri-procedural myocardial infarction and stroke or even death. As most asymptomatic patients will never live to have an event, this is a matter of great concern.

Should you offer anything more than medical therapy for patients with significant carotid artery stenosis? A fancy analysis of VA data showed both options are equal in patients with carotid artery stenosis greater than 70%. This was not a RCT, but rather an analysis of matched patients. Such an analysis has many limitations. The biggest relevant limitation is treatment selection bias. Then, came the CREST-2 that tested this question in asymptomatic patients with internal carotid artery stenosis >70%. This was a large RCT that had two arms. One, compared medical therapy alone to medical therapy and carotid artery stenting. The other, compared medical therapy alone to medical therapy and carotid endarterectomy. The study showed that stenting was better than medical therapy alone. The NEJM published an editorial to accompany this article. The authors of the editorial claimed that the absolute benefit was not strong enough to justify intervention upfront. After reading this, many interventionalists made many arguments to counter that. First, the overall risk with intervention was small. Second, the results were on-par with coronary and other trials testing for potentially devastating outcomes. Third, in the study, medical therapy was encouraged by an external vendor that called patients to get them to adhere to medication. In the real-world the effect of medical therapy will likely be lower over time.
The debate regarding treatment does not end here. Even after the decision for carotid artery stenosis treatment has been made, the mode of treatment has to be chosen. The argument between stent and CEA is an ongoing one.
We will try to present carotid artery stenosis treatment in a series of several articles:
- What are the factors that guide carotid artery stenosis treatment?
- Medical therapy for carotid artery stenosis – Many say that it is more than enough for most patients. Is this true?
- If intervention is chosen, what is the right intervention for a particular patient? How should this decision be made?
- Carotid artery stenosis complications should be known to any clinician counseling patients with this problem. Procedure complications must be weighed in together with procedure outcomes when choosing the right procedure for a particular patient.
Guidelines for treatment of carotid artery stenosis
[THIS SECTION IS OUTDATED. PLEASE DISREGARD FROM HERE ON]
Notwithstanding, current (pre CREST-2) guidelines provide a framework for clinicians who wish to choose between medication alone, stenting or CEA for their patients. These guidelines are imperfect and probably do not represent standard of care in most centers. New guidelines will surely be published:
| Guideline | Society for Vascular Surgery (2022) | European Society for Vascular Surgery (2017) |
| Indication for CEA in symptomatic | >50% | >50% |
| Timing of intervention in symptomatic | — | Within 2 weeks |
| Indication for CAS in symptomatic | High risk status (see CREST) | High risk status (see CREST) |
| Comment | — | CEA and CAS results equivalent |
| Indication for CEA in asymptomatic | >60% | >70% |
| Caveats | Low risk patient | Males |
| Indication for CAS in asymptomatic | None | As part of RCT or high volume center |
Dr. Weinberg is the founder and Editor In-Chief of Angiologist.com. He is a Vascular Medicine physician at Hadassah Hebrew University Medical Center, Associate Professor of Medicine at Harvard Medical School and Past President of the Society for Vascular Medicine.
