Carotid artery occlusion may be found incidentally or when looking for a cause for acute stroke. It can be an endpoint of carotid artery stenosis or a result of a large embolus. In both cases occlusion results from thrombosis.

Diagnosis
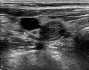
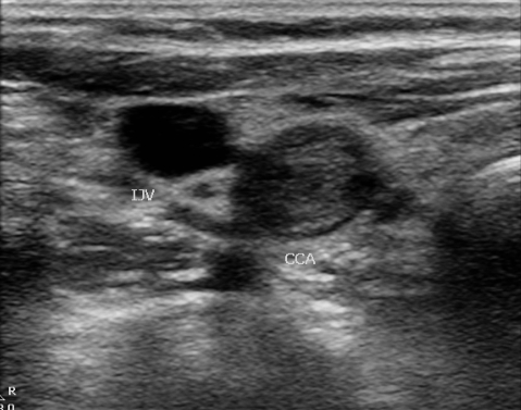
The diagnosis of carotid artery occlusion is made by vascular imaging. Duplex ultrasound can show absence of flow. The duplex can show thrombus in the artery and absence of flow with pulse wave and color Doppler. A clue to the diagnosis is the waveform in the common carotid artery. It becomes more high resistance than usual:

CTA can also show the occlusion and its extent.

Symptoms
Carotid artery occlusion does not have to cause neurological symptoms. This is because there is collateral flow to the brain from the vertebral arteries, the external carotid artery via the ophthalmic collaterals and the circle of Willis. However, symptoms may arise from two mechanisms: atheroembolism or hypoperfusion:
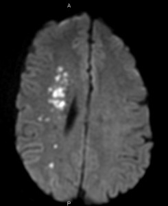
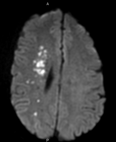
- Atheroembolism means that clots dislodge from fresh thrombus. As the artery occludes, a thrombus builds up above the occlusion (toward the head), up to the ophthalmic artery. If a piece of that thrombus dislodges (especially when this is fresh and not organized) it may cause transient ischemic attack (TIA) or stroke.
- Hypoperfusion means that the brain does not receive enough blood flow through the collaterals that were mentioned. If blood pressure is reduced, it may aggravate the hypoperfusion. The area that is most damaged is called the watershed. The watershed is the area of the brain on the border between blood supply of main cerebral arteries.

Treatment of carotid artery occlusion
The treatment options for carotid artery occlusion include medical therapy or bypass surgery.
Medical treatment
Medical treatment includes atherosclerotic risk factor modification and antiplatelet medication. While the clot is acute many clinicians will offer patients anticoagulation for 3-6 months to avoid distal embolization of unstable clot. Acute clot can be differentiated from chronic clot by the presence of symptoms. Symptoms are typical of acute occlusion. Brain arterial collaterals will imply a chronic occlusion.
If a patient has acute stroke symptoms and is a candidate for thrombolysis, carotid artery occlusion should not be a contraindication. The carotid occlusion is not the target for the thrombolysis, as the chances of it opening are slim. However, the acute stroke protocol does not refer to carotid artery imaging.
Surgical treatment of carotid artery occlusion
Bypass surgery has been tried as treatment for carotid artery occlusion. Theoretically bypass could be achieved from the extracranial to the intracranial circulation. A trial testing this hypothesis was published in the New England Journal of Medicine in 1987 failed to show benefit for patients undergoing such surgery. A 2010 Cochrane review also concluded that there is no benefit for surgery over medical treatment.
The extracranial-intracranial bypass studies had an interesting side-effect. Some patients who underwent endarterectomy of the external carotid artery actually experienced improved neurological symptoms. This was probably due to improved blood flow through collaterals.
Dr. Weinberg is the founder and Editor In-Chief of Angiologist.com. He is a Vascular Medicine physician at Hadassah Hebrew University Medical Center, Associate Professor of Medicine at Harvard Medical School and Past President of the Society for Vascular Medicine.
