The mainstay of treatment for pulmonary embolism is anticoagulation. Thrombolysis for pulmonary embolism should be reserved for sicker patients. Thrombolysis should be avoided in patients with low-risk PE. These are patients who do not exhibit any hemodynamic effects of the pulmonary embolism. On the other side of the spectrum are patients with massive pulmonary embolism. These patients exhibit major hemodynamic compromise. Thrombolysis for pulmonary embolism may benefit these patients. However, many patients fall into a “gray zone”. Indications for thrombolysis when the PE is sub-massive are less clear. Thrombolysis for pulmonary embolism is associated with potential harm. Thus, balancing risk and benefit is key.

There are different types of pulmonary embolism
Pulmonary embolism can be divided into low-risk, sub-massive and massive. A sub-massive pulmonary embolism is characterized by right ventricular dysfunction, myocardial necrosis or both. It is not characterized by hypotension. Hypotension in the setting of pulmonary embolism means it is massive. A low-risk pulmonary embolism is neither massive nor sub-massive.
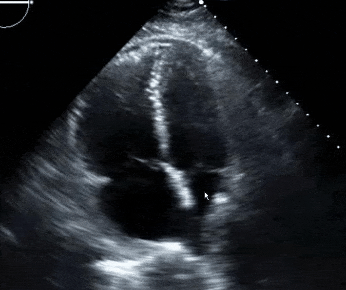
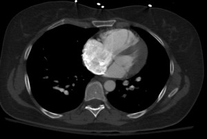
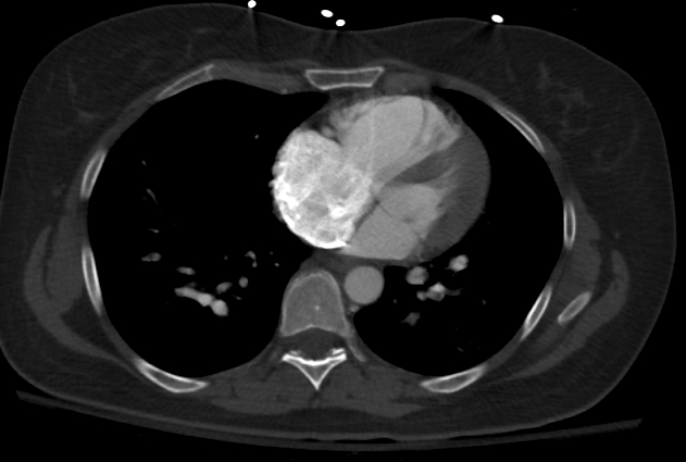
Right ventricular dysfunction can be assessed objectively by electrocardiography, echocardiography, computed tomogrpahy or by elevated brain natriuretic peptide. Examples of electrocardiographic signs of right ventricular strain include new right bundle branch block and antero-septal ST segment changes. The most specific sign of pulmonary embolism related right ventricular dysfunction on echocardiography is McConnell sign. McConnell sign is normal apical movement with mid-wall akinesia.

Other echocardiographic signs of right ventricular strain include right ventricular dilatation, new onset tricuspid regurgitation, septral flattening, lack of respiratory variation of the IVC and right ventricular hypokinesia. Computed tomogrpahic signs of right ventricular dysfunction include ventricular dilatation, contrast filling the IVC, dilatation of the main pulmonary artery and septal flattening. Myocardial necrosis is diagnosed by elevated troponin.

Physiological effects of thrombolysis for pulmonary embolism
Administering a ‘clot busting medicaiton’ for patients who have an acute blockage of their pulmonary arteries makes sense. Since developing manufacturing techniques for thrombolytics in the 1980’s these medications have done wonders for patients with acute ST elevation myocardial infarction. In patients with pulmonary embolism thrombolytics also have proven physiological effects. These include rapid resolution of clot, restoration of pulmonary blood flow and reduction of right ventricular pressures. The question remains – Do these changes benefit patients?
Does thrombolysis for pulmonary embolism save lives?
The answer to this question is yes. And no. In general the mortality from pulmonary embolism is low. Therefore, it is hard to show a mortality benefit for thrombolysis. But there are two instances in which thrombolysis has been shown to benefit patients:
Firstly, unstable patients with massive pulmonary embolism benefit from thrombolysis. Three manuscripts and an accompanying editorial published in the American Journal of Medicine in 2012 addressed this matter. Approximately 72,000 patients with pulmonary embolism who were unstable were analyzed. It turned out that thrombolysis decreased mortality and thrombus related mortality from almost 50% to less than 10%. Adding an IVC filter decreased mortality even further.
Secondly, there are long-term consequences of PE that can be avoided with thrombolysis. Many patients with submassive PE may experience pulmonary hypertension and persistent right ventricular dysfunction. Thrombolysis has been shown to reduce pulmonary arterial pressures and right ventricular failure rate in the intermediate term. Effect on physiological measures such as 6-minute walking was not as impressive.
When is thrombolysis for pulmonary embolism indicated?
A document listing these indications has been published in 2011 in Circulation. The basic idea is to combine clinical and laboratory tests to assess for the extent and effect of the pulmonary embolism. If there is respiratory and/or hemodynamic failure thrombolysis may be indicated. Thus, clinical signs to look for are of hemodynamic instability and respiratory reserve. Hemodynamic instability can be deduced from the blood pressure. If systolic blood pressure drops under 90 mmHg that is an indicator for instability. Respiratory reserve is harder to assess. Signs include saturation < 95% on room air, obvious hunger for air or suffering due to suffocation, altered mental status and a score > 8 on the 10 point Borg scale. Laboratory testing mainly includes signs of right sided heart failure. These include echocardiography, brain natriuretic peptide (BNP) and troponin.
All in all, current guidelines give peripherally injected thrombolysis for pulmonary embolism a recommendation strength of IIaB for massive PE and IIbC for sub-massive pulmonary embolism.
Several meta-analyses have been published in 2014 to examine the efficacy of thrombolysis for patients with submassive pulmonary embolism. In the Journal of Thrombosis and Haemostasis, a meta-analysis examined only studies that were randomized and administered systemic lysis. The results showed that lysis did not improve hard outcomes (recurrent clot or all cause death) but did increase the incidence of intra cranial hemorrhage. The results were largely driven by the PEITHO study. A second meta-analysis, published in the European Heart Journal, came to opposite conclusions, despite focusing on systemic thrombolysis as well. In JAMA another meta-analysis that examined a mix of systemic and catheter directed lysis came to a different conclusion. By assigning different points to death and to intra-cranial hemorrhage, the authors concluded that there was net benefit to lysis in patients presenting with submassive PE. If they had assigned the same points, the conclusion would have changed.
UPDATE: In March 2017 a sub-analysis of the PEITHO trial was published in JACC. This analysis looked at a group of patients from the original trial who had long-term follow up. While some functional limitation was not uncommon after submassive pulmonary embolism, lysis did not seem to affect the prevalence. Also, CTEPH was rare in this study.
Contraindications to thrombolysis
The published database regarding thrombolysis for pulmonary embolism is scarce. Because of this it is hard to know when it is dangerous. In most published series major bleeding rate with thrombolysis for pulmonary embolism was lower than 2%. On the other hand patients are usually selected carefully. As there is much more information in patients with acute coronary syndromes contraindications for thrombolysis for pulmonary embolism are usually extrapolated from this setting.
Absolute contraindications to thrombolysis include any prior intracranial hemorrhage, intracranial vascular abnormalities or tumor, ischemic stroke within 3 months, aortic dissection, active bleeding, recent surgery near the spinal cord and recent head trauma.
Relative contraindications to thrombolysis include pregnancy, age>75 (age has been found to be associated with more bleeding), anticoagulation, non-compressible vascular puncture, prolonged CPR, severe hypertension, dementia and surgery within 3 weeks.
Characteristics of tPA
The most common thrombolytic agent in use is
. It is known as tPA. The half life of tPA is several minutes, however the clinical half-life is longer, because it binds to the clot and because of the activation of longer acting plasmin.
tPA should usually be given in a peripheral IV line. The dose is 100 mg and it is given over 2 hours. Common practice is to follow patients clinically. This means that it is not common practice to scan and re-scan patients. Surveillance with echocardiograms is logical. Specifically right ventricular characteristics and pulmonary pressures can be followed.
Catheter directed thrombolysis for pulmonary embolism
The logic behind catheter directed thrombolysis for pulmonary embolism is to deliver high doses of thrombolytic agents locally into the clot. Theoretically there should be less systemic side effects. Indications for catheter directed thrombolysis for pulmonary embolism are either failure of peripheral treatment or inability to give it. It is usually directed at massive PE. This treatment should only be offered by personnel with experience in it. Catheter directed thrombolysis of PE is not without risks of bleeding. For example in a series of 137 cases of thrombolysis for pulmonary embolism, 2 patients suffered an intracranial bleed.
EKOS catheter thrombolysis for pulmonary embolism
One type of catheter directed thrombolysis for pulmonary embolism is with the EKOS catheter. The EKOS catheter delivers thrombolytic agents into the clot in a unique fashion. The catheter has ultrasound ports near its tip. Ultrasound energy is used to spray the thrombolytic agent into the clot. The EKOS catheter is inserted into the pulmonary embolism. It is left there for several hours while thrombolysis is taking place. Typically tPA is used. It is dripped at a pace of 1 mg/hour for several hours and then the rate is reduced to 0.5 mg/hour for several hours more. Heparin is given in tandem, mainly to prevent catheter thrombosis.

Alternatives to Thrombolysis for Pulmonary Embolism
As thrombolysis for pulmonary embolism is not devoid of risk, new technologies are being developed to reduce risk. One such technology developed by the Inari company is the FlowTriever device. This device does not use lytic agents. It uses suction to retrieve clot. Preliminary results of the FLARE trial were made public at the SCAI conference in 2018. The device was safe and resulted in improved right ventricular function. Clinical data and comparison to anticoagulation alone were not offered. More data are required to ensure such procedures are only offered to patients who need them.
Learn more:
Also, you may want to read the following:
- Catheter based interventions for pulmonary embolism are a form of advanced therapy for pulmonary embolism. This article will (among other things) offer more technical information and more in-depth information about various relevant devices.
Dr. Weinberg is the founder and Editor In-Chief of Angiologist.com. He is a Vascular Medicine physician at Hadassah Hebrew University Medical Center, Associate Professor of Medicine at Harvard Medical School and Past President of the Society for Vascular Medicine.
