Subclavian artery stenosis is uncommon. The cause is typically atherosclerosis. It is usually a disease of smokers and of diabetics. There are other causes, such as vasculitis and trauma, among others. The left subclavian artery is involved more often than the right. While some patients have symptoms, most do not.

Subclavian Artery Stenosis Symptoms
Most patients with subclavian artery stenosis do not have significant symptoms. In fact, a common presentation of subclavian artery stenosis is a blood pressure difference between arms. A difference of greater than 20 mmHg suggests a significant stenosis. By the way, if this is detected, you should use the higher of the two sides for blood pressure monitoring.
When symptoms do exist, they are divided into three: in the arm, neurological and cardiac:
- Arm ischemic symptoms may be claudication or finger necrosis from emboli. Splinter hemorrhages are a telltale sign. Part of the evaluation for ischemic fingers is to evaluate the subclavian artery.
- Neurological symptoms are of vertebro-basilar insufficiency. The most common neurological presentation is vertigo.
- Cardiac ischemic symptoms occur when there is internal mammary use for CABG. If the stenosis includes the mammary artery, it may not supply enough blood for the cardiac muscle to perform normally.
Subclavian Artery Stenosis Diagnosis
First, check the blood pressure in both arms. If it is equal, that points against significant narrowing. Next, you will need to images the subclavian artery. An ultrasound should be a first step. On ultrasound, elevated flow velocities and turbulent flow are the markers of significant subclavian artery stenosis:

Once you suspect subclavian artery stenosis, obtaining a CT or MR will confirm the diagnosis if it is not clear. Another reason to obtain these tests is to plan a procedure.
Diagnosis of Subclavian Steal Syndrome
The worst outcome of subclavian artery stenosis is subclavian steal syndrome. In this condition, neurological symptoms occur because of the subclavian artery stenosis. Simply, when the arm needs more blood it “steals” it from the brain. The steal happens through the vertebral arteries. Blood will in these arteries will flow in the opposite direction. Instead of going to the brain, it will flow to the arm.
The first step of making the diagnosis, is to figure out if the neurological symptoms happen with arm movement. A typical story will be that a patient becomes very dizzy when they try to move furniture around the house.
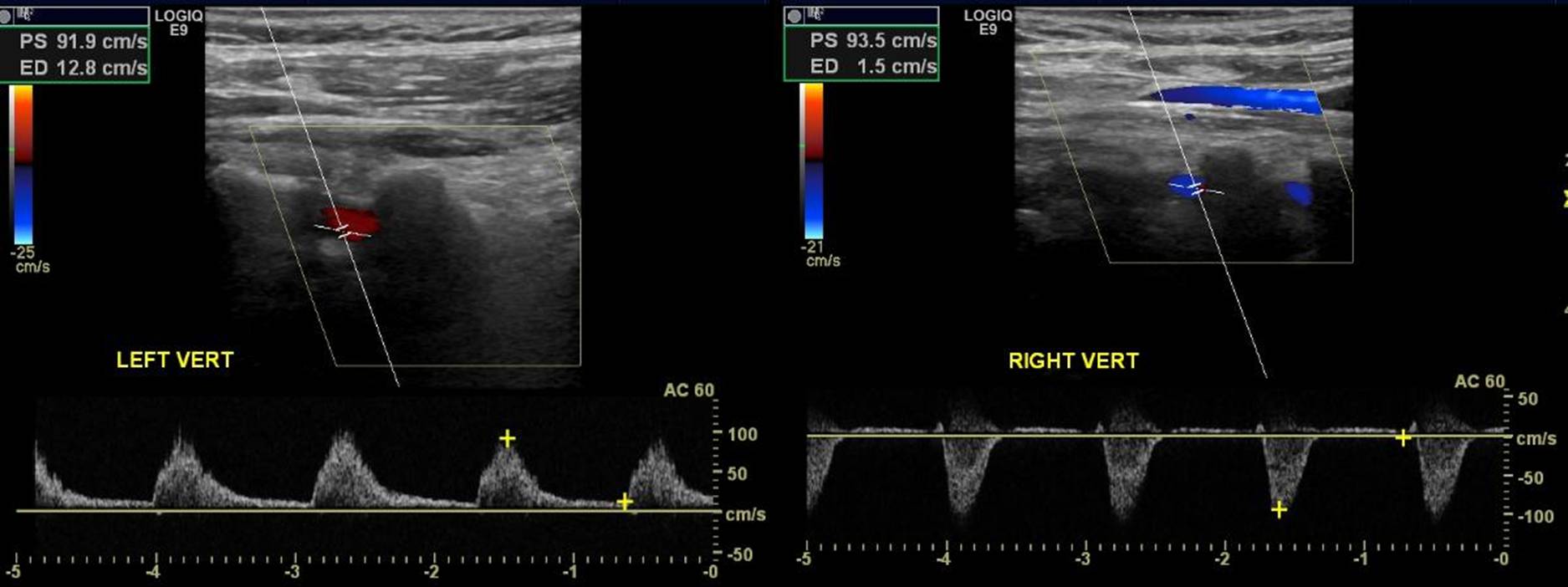
The next step is to use imaging. Imaging will make the diagnosis of the narrowing in the subclavian artery. Obviously, CT and MR are the best types of imaging for this. Then, imaging should identify the reverse flow in the vertebral artery. Duplex ultrasonography is the best type of imaging for identifying flow direction. Here is an example:

Subclavian Artery Stenosis Treatment
Optimal medical care is the first step for anyone with subclavian artery stenosis. If the etiology is atherosclerosis, treatment includes cardiovascular risk factor modification and an antiplatelet agent. Consider an antiplatelet agent even if the etiology is vasculitis, especially if the narrowing is severe.
When to perform intervention
If a patient needs a procedure the options are endovascular or surgical. Obviously, offer a procedure when symptoms are present. Patients who do not have symptoms usually do not need a procedure. Examples of symptoms include arm claudication, dizziness, syncope, dysarthria, diplopia, or cardiac ischemia prior to take off of LIMA in patients who have undergone CABG. A second indication for a procedure is to prepare the subclavian artery. For instance, when you know you will need it to supply the internal mammary artery or for an AV fistula.
Endovascular procedures
With respect to revascularization and achievement of anterograde flow in the vertebral, there are various approaches including open surgery/endarterectomy, extra-thoracic bypass and endovascular stenting. Less invasive strategies including extra-thoracic bypass and percutaneous stenting have largely replaced traditional open endarterectomy, particularly in patients who are at increased risk for surgery.
In general, percutaneous intervention with balloon expandable stents has excellent success rates and is of relatively low risk. The procedure is done cannulation of the femoral and/or brachial arteries with a 6-7F sheath. The lesion is crossed with an 0.035 or 0.018 inch guidewire and a balloon expandable stent is deployed in the proximal left subclavian. To minimize risk of distal embolization, some operators use a distal embolic protection device in the ipsilateral vertebral or carotid artery. Restenosis rates are low at 5 years (22%).
Surgery
Surgery is the last option for treatment of subclavian artery stenosis. Extra-thoracic carotid-subclavian and axillary-axillary bypass have largely replaced subclavian endarterectomy. Surgical exposure can be obtained through a small incision from the base of the neck to the sternal notch. Dacron or polytetrafluoroethylene (PTFE) prosthetic grafts are often anastomosed in end-to-side fashion. The procedure is generally well tolerated.
Read more
- A demonstrative case and some more images can be found here.
- A review for vascular medicine specialists about subclavian artery stenosis published in ‘Vascular Medicine’ in 2011.
Dr. Weinberg is the founder and Editor In-Chief of Angiologist.com. He is a Vascular Medicine physician at Hadassah Hebrew University Medical Center, Associate Professor of Medicine at Harvard Medical School and Past President of the Society for Vascular Medicine.
