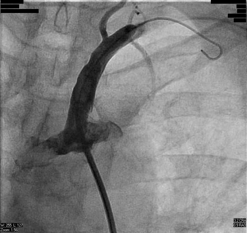
A 57-year-old diabetic woman with a history of three-vessel coronary bypass grafting presented with unstable angina in the form of chest pain occurring at rest. Stress PET-CT showed a dense reversible anterior wall defect and she was referred for urgent cardiac catheterization. Cardiac catheterization was performed via a left radial artery approach. Angiography revealed a patent LIMA-LAD, saphenous vein grafts to the right coronary artery and saphenous vein graft to the ramus intermedius. An 80{8ceaa46882e4d49283ff23b35262537230ad541262f55a031ead545e66522058} stenosis of the left subclavian artery was noted (Figure 1) and was associated with a 25 mmHg pressure gradient:

Given the patient’s profound symptoms and the finding of anterior ischemia on non-invasive testing, it was decided to treat the subclavian lesion. Clinical manifestations and indications for treatment of subclavian stenosis have been reviewed previously.
Access During Subclavian Intervention
Strategic planning of access is vital for successful subclavian intervention. In the setting of routine subclavian intervention, most commonly of the left subclavian, access boils down to operator preference. Both transfemoral and transradial access are viable options. Large femoral arteries allow for easy delivery of bulky stents and large postdilation balloons. Transradial and brachial access offer a coaxial approach to the lesion, making this access strategy useful in complex lesions and total occlusions. However, radial artery diameter occasionally can be limiting if the patient’s subclavian is very large. Innominate artery disease is always a challenge and upper extremity access is usually necessary as selective engagement of an occluded or stenosed innominate is often difficult from the groin position. In cases where precise deployment of stents is critical (such as aortoostial lesions), through-and-through access with femoral-radial access may be desired.
Angioplasty and Stenting
Once access has been gained, a left subclavian stenosis can be crossed with a 0.035 inch hydrophilic wire supported by a 5-7F multipurpose or JR4 catheter and then the sheath exchanged for a length that allows advancement to the lesion. Performing an intervention through the guide catheter will rarely give adequate support, especially when additional devices (such as embolic protection) are used. It is imperative to ensure that you have sheaths long enough to reach the lesion on hand prior to beginning the procedure.
From the femoral approach, an innominate or right subclavian stenosis may be more difficult to cross, depending on lesion location and arch configuration. Choices in this scenario include a JB1 or 2, Vitek or headhunter-shaped catheters. Use of a microcatheter and 0.014 inch wire combination may be necessary for crossing complex lesions (especially occlusions) from either direction.
Though balloon inflation may be helpful to pre-dilate a severe stenosis and size the artery of interest, revascularization that does not include stent placement is suboptimal. An older study comparing balloon angioplasty alone with combined angioplasty and Palmaz stenting reported primary patencies of 69{8ceaa46882e4d49283ff23b35262537230ad541262f55a031ead545e66522058} and 87{8ceaa46882e4d49283ff23b35262537230ad541262f55a031ead545e66522058} at 30 months, respectively. A more recent registry of procedures using both balloon expandable and self expanding stents spanning over a decade reported primary patency of 83{8ceaa46882e4d49283ff23b35262537230ad541262f55a031ead545e66522058} at 66 months, with 14.6{8ceaa46882e4d49283ff23b35262537230ad541262f55a031ead545e66522058} target vessel revascularization. When coming from the wrist (often the preferred approach), you must be aware that balloons and stents larger than 10 mm will not fit through a 6F sheath. For this reason, balloon expandable stents are often preferred, as they can be sized to the reference vessel diameter and there are a growing variety available currently. Self expanding stents should be sized 1-2 mm over the reference vessel diameter, and may be impractical from the transradial approach. Notably, 7F sheaths can be used in males with large radial arteries when absolutely necessary.
Complications During Subclavian Intervention – and How to Avoid Them
A registry published in 2012 reported three major (myocardial infarction, pseudoaneurysm, and contrast-induced nephropathy) and six minor complications (four femoral hematomas and two access site infections) out of 148 (6.1{8ceaa46882e4d49283ff23b35262537230ad541262f55a031ead545e66522058}) patients receiving subclavian stents. Other authors have reported similar complication rates. Listed below are some of the most devastating non-access site related adverse sequelae in subclavian intervention:
- Stroke: Without cerebral embolic protection, rates of stroke range from 0.4 to 4.7{8ceaa46882e4d49283ff23b35262537230ad541262f55a031ead545e66522058}. Additional vascular access may be needed to place an embolic protection device (EPD) in the vertebral arteries or right internal carotid. Though there has not been a direct comparison of stenting with or without EPDs in the subclavian arteries, case reports illustrate the ease of use of modern devices and their importance in interventions where a dominant vertebral is jeopardized. When there is retrograde vertebral flow and a relatively less complicated lesion that is not in the innominate artery, the potential benefits of an EPD are more debatable.
- Dissection: Aggressive catheter or wire manipulation may result in dissection that can quickly propagate to adjoining vessels. In the proximal subclavian or innominate arteries, cerebral circulation can be threatened by an intimal flap occluding flow or showering emboli to the vertebral or carotid arteries. Most dissections, however, are not severe and can be treated expectantly. If there is abnormal flow in the affected vessel, the dissection should be stented.
- Stent Migration: Though rare, intervening in a proximal arch vessel in a patient with a wide pulse pressure could result in a geographic miss, or worse, stent dislodgement from the delivery system. When blood pressure is poorly controlled or there are exaggerated aortic pulsations, it may be wise to use a slightly longer balloon expandable stent (as opposed to self-expanding).
- Equipment Failure: Balloon rupture, wire fracture, stent fracture and stent embolization, are just of the few of the rare equipment failures that can occur. Familiarity with every piece of equipment used is a necessity. Operators need to be familiar with various bailout strategies for dealing with technical failures – otherwise known as “random acts of God.”
Back to Our Patient
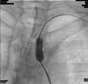
A 6F 65 cm sheath was advanced to the left subclavian artery and a 7 mm diameter 40 mm length balloon was positioned at the lesion over a 0.035 inch J-tip wire. The balloon was inflated to 8 atmospheres for thirty seconds:

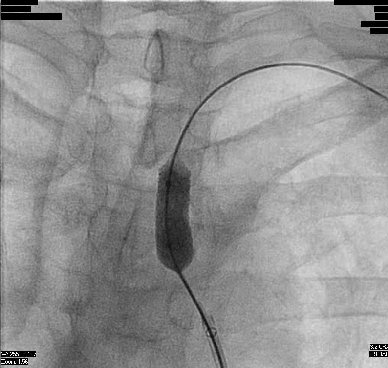
At this point, the balloon would not deflate and could not be retracted into the sheath. Attempts to aspirate and dilute the contrast in the balloon were unsuccessful. Though a wire was passed around the balloon, it could not be snared. After some deliberation, it was decided to pull the balloon back to the brachial artery (Figure 3):

Under ultrasound guidance, a micropuncture needle was advanced into the mid-body of the balloon. Aspiration of the needle did not yield blood or contrast material, though on fluoroscopy the balloon appeared deflated and was then able to be pulled back into the sheath. Final angiograms showed mild spasm in the brachial artery without apparent arterial injury and the patient had an uneventful recovery. This event was reported to the manufacturer, which promptly initiated a recall of this balloon from its product line.
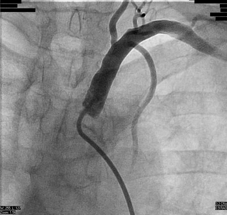
Successful Subclavian Intervention – Pictorial
For illustrative purposes, Figures 4-6 show successful stent placement in a patient with left subclavian stenosis.



