Popliteal artery occlusions are common. These occlusions most commonly result from peripheral artery disease. However other potential etiologies of popliteal artery occlusions include thrombosis of a pre-existing popliteal aneurysm (particularly if there is evidence of distal embolization), cystic adventitial disease, trauma or popliteal artery entrapment syndrome.
The Popliteal Artery Merits Special Consideration
Once other rarer forms of popliteal occlusive disease are excluded, the various treatment options can be considered. Medical therapy, percutaneous intervention, and vascular surgery are all evaluated.

Percutaneous revascularization of the popliteal artery is performed with caution for several reasons. Firstly, the torque and flexion within the popliteal artery make stenting somewhat less attractive. It is felt that stents within the popliteal artery fracture and restenose with greater frequency than other stented vessels. Secondly, the popliteal artery is a potential bypass site and needs to be preserved for this purpose. This is especially true if there is highly calcific, long-segment occlusive SFA disease where a fem-popliteal bypass would be helpful or severe critical limb ischemia with complex infrapopliteal disease that might require a bypass from the popliteal artery to a more distal vessel.
Overcoming Popliteal Artery Kinking
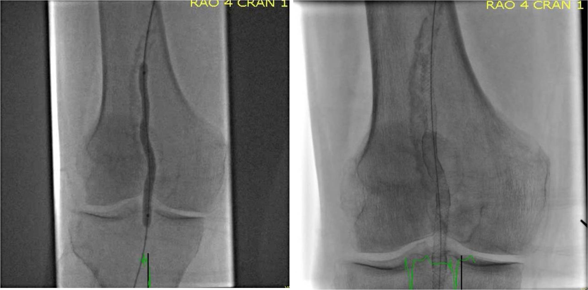
Popliteal kinking is theorized as one of the causes of stent failure in the popliteal space. In an interesting study of 68 patients undergoing angiography of the popliteal artery, a hinge point was identified in 98.6{8ceaa46882e4d49283ff23b35262537230ad541262f55a031ead545e66522058} of patients (Diaz et al. (1), See figure 1).

Because of the intrinsic movement of the knee joint and generation of a hinge point, use of PTA alone, self expanding stents with crush-resistant properties and endovascular stent grafts have been widely studied. The average patency rate of the popliteal artery after PTA alone is approximately 47{8ceaa46882e4d49283ff23b35262537230ad541262f55a031ead545e66522058} at 2 years. The longer the lesion length, the higher the restenosis rates. (reference 1, reference 2, reference 3).
Various trials of self expanding stents in the femoral and popliteal arteries demonstrate an approximate 50{8ceaa46882e4d49283ff23b35262537230ad541262f55a031ead545e66522058} reduction in restenosis at 12 months compared to PTA alone; particularly in those lesions that are TASC A and B (FAST, RESILIENT). Unfortunately, due to vessel flexion and increase torsion at the hinge point, stent fractures are not uncommon and are a current limitation of femoral-popliteal stenting; particularly with current slotted tube nitinol stents which lack sufficient radial strength.
In one study of systematic X-ray screening for stent fractures by Scheinert et al in 2005 (3), stent fractures were detected in up to 37.2{8ceaa46882e4d49283ff23b35262537230ad541262f55a031ead545e66522058} of treated legs. Fracture rates increased depending on length of stent used (13{8ceaa46882e4d49283ff23b35262537230ad541262f55a031ead545e66522058} for stented length < 8cm and up to 52{8ceaa46882e4d49283ff23b35262537230ad541262f55a031ead545e66522058} for stented length > 16 cm. In this study, stent fracture was associated with an increased risk of restenosis and occlusion.
The ETAP study published in 2013 was a prospective randomized study that compared popliteal artery stenting to popliteal artery balloon angioplasty. Overall, 12 month results were equivalent. The authors concluded that angioplasty should be preferred for popliteal artery lesions, unless provisional stenting was deemed necessary during the procedure. A limitation of this study was that it did not include modern stents such as the Zilver-PTX or Supera stents (see below).
Other options for percutaneous intervention in the popliteal artery include atherectomy (orbital, laser, or cutting) and viabahn ® covered stents. However, atherectomy alone can result in flow limiting dissections that require subsequent stenting. Viabahn ® covered stents, although an excellent option for the exclusion of popliteal aneurysms, lack radial strength and can result in the loss of important geniculate collateral vessels.
Supera ® stent for Popliteal Artery Intervention

Currently, the Supera ® Stent, a closed cell interwoven self expanding nitinol stent, has become one of the most widely used stents in the popliteal artery due to its increased radial strength and flexibility. In the recently published SUPERB trial, IDEV technologies published one of the highest patency rates in peripheral stent trials for the superficial femoral and popliteal arteries with a record zero stent fractures at 1 year.
The SUPERB study enrolled 264 patients at 34 centers across the United States, treating 266 lesions with a mean length of 8 cm. De novo or restenotic lesions in the superficial femoral and proximal popliteal arteries of 40-140 mm in length were enrolled. The primary safety endpoint of freedom from death, target lesion revascularization (TLR) or any amputation of the index limb to 30 days post-procedure, was met by 99.6 percent of the patients. Based on survival analysis, the SUPERA stent achieved freedom from loss of primary patency at one year of 86 percent, Freedom from TLR of 90 percent, and zero reported stent fractures at one year.
Selected References
- Jose A. Diaz, MD, 2Marisa H. Miceli, MD, 1Miguel Villegas, MD, Gustavo Tamashiro, MD, Alberto Tamashiro, MD. Flexions of the Popliteal Artery: Dynamic Angiography. December 2004. Vascular Disease Management (link).
- Ilias Karabinos, Giovanni Nano. Percutaneous transluminal angioplasty of the popliteal artery without the use of stents. A review of 116 consecutive procedures. Int J Angiol. 2007. 16(2): 47–49. (link).
- Dierk Scheinert, MD; Susanne Scheinert, MD; Jacqueline Sax; Christopher Piorkowski, MD; Sven Bräunlich, MD; Matthias Ulrich, MD; Giancarlo Biamino, MD; Andrej Schmidt, MD. Prevalence and clinical impact of stent fractures after femoropopliteal stenting. J Am Coll Cardiol. 2005;45(2):312-315. doi:10.1016/j.jacc.2004.11.026. (link)
