Mesenteric Ischemia

Mesenteric ischemia occurs when not enough blood flow reaches the intestine. When the cause are narrowed mesenteric arteries, presentation can be acute or chronic. These should not be confused from ischemic bowel from small vessel disease. In any case, acute and chronic mesenteric ischemia are very different from one another. Not all patients who have abdominal pain and narrowed mesenteric arteries have mesenteric ischemia. While clinical symptoms are uncommon, an incidental findings of mesenteric artery stenosis is not. This article will focus on chronic mesenteric ischemia.

Clinical Presentation of Chronic Mesenteric Ischemia

Chronic mesenteric ischemia typically presents as epigastric abdominal pain. The typical pain is gnawing or dull and is related to food. The pain usually starts within 20-30 minutes after a meal. The pain lasts for 1-3 hours. Patients are described as having “fear of food” (‘sitophobia’). Weight loss is the norm. Interestingly, patients with mesenteric ischemia do not have diarrhea (bloody or otherwise). On examination, the “classic” patient is thin and emaciated as they are afraid of eating since eating causes pain. Some may have an abdominal bruit, but this may actually arise from the renal arteries (if there is concomitant disease) and is not enough to make the diagnosis.

Diagnosis of Mesenteric Ischemia

The diagnosis of mesenteric ischemia relies on combining careful history with appropriate imaging. Options for imaging include duplex ultrasonography, CT angiography and MR angiography. Invasive angiogrpahy is usually used only as an intent-to-treat means.

Chronic mesenteric ischemia
Celiac artery stenosis seen on color flow duplex ultrasonography

CT angiogrpahy and MR angiography have the advantage of showing the surrounding structures, and thus may surface other conditions that may have been otherwise missed. Also, these imaging studies often allow differentiation between the various vascular causes of abdominal pain, because of their differential appearance on imaging.

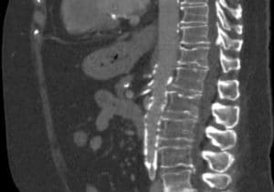
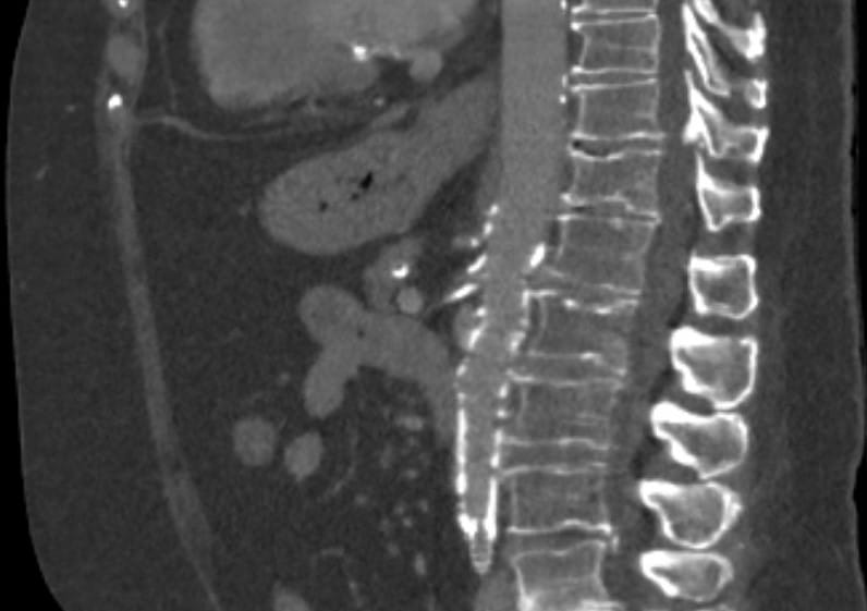
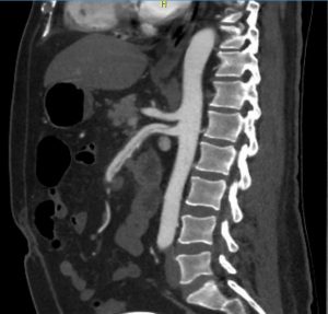
Mesenteric ischemia CT angiogram
Sagittal view of a CT angiogram demonstrating atherosclerosis at the ostium of the celiac artery and SMA

Duplex, on the other hand, has the advantages of portability, lack of radiation and no need for contrast. Duplex criteria for mesenteric artery stenosis are flow-velocity related. Therefore factors that affect flow velocity such as food and thyroid function should be controlled. Ideally the exam is performed after an overnight fast. Limitations of duplex ultrasonography for imaging the mesenteric blood vessels include inability to visualize beyond gas, poor imaging in obese persons and difficulty interpreting acoustic shadows generated by vessel calcifications. It also can not visualize the inferior mesenteric artery in many cases.

Not all Narrowed Mesenteric Arteries Make for Mesenteric Ischemia

Finding a narrowed mesenteric artery is quite common. On the other hand linking this finding with symptoms of mesenteric ischemia is harder to do. The gut is supplied by three major arteries branching off the aorta: celiac artery, superior mesenteric artery and inferior mesenteric artery. These arteries are connected by an extensive array of collaterals. This basically means that if blood can not flow through one artery, that area of the gut that was supposed to be supplied by that artery will probably get blood from another one of the gut-supplying blood vessels through a naturally occurring bypass. It is therefore customary to say that a diagnosis of mesenteric ischemia that mandates treatment can not be made unless at least two of the three blood vessels are narrowed.

Differential diagnosis

Mesenteric ischemia is most often caused by atherosclerosis. It is therefore more common in patients with other atherosclerotic risk factors and with atherosclerosis in other vascular beds. However, there are other causes of vascular compromise that may be responsible for chronic mesenteric ischemia. Some more prominent disease states that mimic the clinical presentation of mesenteric ischemia are the following:

  • Vasculitis – specifically giant cell arteritis, polyarteritis nodosa and systemic lupus erythematosus.
  • Median arcuate ligament – with pressure on the celiac artery. The pressure is sometimes dynamic, as the diaphragm moves and therefore may be relieved by inspiration. Median arcuate syndrome is also known as Dunbar syndrome. It should be suspected in young people, often with no atherosclerotic risk factors, who present with symptoms similar to mesenteric ischemia. The diagnosis is made by CT imaging. Ultrasound during inspiration and expiration confirms the diagnosis. The pain is probably from the nerve bundle around the celiac trunk. The treatment is usually surgical (dissection of a small part of the arcuate ligament) or the nerve bundle.. Endovascular treatment has also been described.
  • Dissection – A dissection can cause mesenteric ischemia if it is dynamic (i.e. the flap intermittently obstructs flow) or if it results in thrombosis. Mesenteric artery dissection can be spontaneous or secondary to trauma. It can be isolated, or part of an aortic dissection. Thus, type B aortic dissection can result in mesenteric ischemia. The presentation may be acute or chronic.
mesenteric artery dissection
Superior mesenteric artery dissection on CT, sagittal view
  • Fibromuscular dysplasia – Fibromuscular dysplasia can affect many different arteries including the mesenteric arteries. When it does, it is usually not associated with symptoms. However, aneurysms and dissection can occur. In fact, we even found a description of fatal mesenteric ischemia. Segmental arterial mediolysis is another non-inflammatory condition that affects visceral arteries. It can also result in artery dissection and reduced blood flow. Presentation is typically acute.
  • Vasoconstriction secondary to drugs or medication (such as ergotamine derivatives that are sometimes prescribed for migraines).
  • Superior mesenteric artery syndrome – This is compression of the duodenum between the aorta and superior mesenteric artery. It is sometimes nicknamed the ‘other’ nutcracker syndrome. The presentation may be acute and dramatic.
  • Malignancy – the combination of abdominal pain and weight loss should raise the question of malignancy. Peri-vascular malignancy is also possible. For instance, a lymphoma around a visceral artery. This can be hard to differentiate from a contained dissection. In these rare cases, imaging (such as with PET CT) and biopsy can be helpful.
  • Many “purely” gastrointestinal disease states that are not vascular in origin. Examples include peptic ulcer disease, irritable bowel syndrome, inflammatory bowel disease, etc. These should usually be sought after before the diagnosis of mesenteric ischemia is entertained, though the work-up may be performed in parallel.

Treatment of mesenteric ischemia

Treatment always includes medication. But some patients with mesenteric artery stenosis will require intervention. In modern care, intervention is usually endovascular. However, surgical bypass is a possibility.

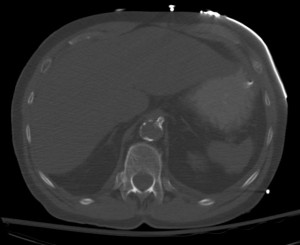
Celiac stent for mesenteric ischemia
Celiac artery stent as seen on axial image of CT

Data to guide medical therapy are limited. Still, it commonly includes aggressive cardiovascular risk factor modification. This includes especially smoking cessation, lipid control with statin medication, blood pressure and diabetes treatment. Other conservative treatment measures include eating small, multiple meals, use of proton pump inhibitors (not to reduce acid, but to reduce the oxygen demands of the gastric mucosa) and use of vasodilators.

Treatment of mesenteric dissection is less well established. In a retrospective series of the experience in our center we have shown that nearly all patients do well, and that medical therapy usually suffices. However, rarely some patients require intervention; either for ongoing symptoms or for the rare instance of aneurysmal dilatation.

Read more

  1. Review of abdominal angina pathophysiology and diagnosis. AJMS 2009.

Author

  • Dr. Ido Weinberg

    Dr. Weinberg is the founder and Editor In-Chief of Angiologist.com. He is a Vascular Medicine physician at Hadassah Hebrew University Medical Center, Associate Professor of Medicine at Harvard Medical School and Past President of the Society for Vascular Medicine.

    View all posts
Vascular Medicine