Mesenteric ischemia, despite being an uncommon disease, is associated with a 70-90{8ceaa46882e4d49283ff23b35262537230ad541262f55a031ead545e66522058} mortality rate when presenting acutely. It also carries significant morbidity in its chronic form (http://www.ncbi.nlm.nih.gov/pubmed/2310663). Case series have demonstrated the safety and efficacy of endovascular revascularization, though surgery confers improved patency. Without randomized trial data, there is significant variability in treatment among US centers, where chronic mesenteric ischemia (CMI) is a potentially under-recognized diagnosis.
Illustrative Clinical Vignette
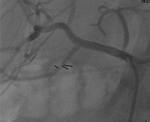
A 55-year-old gentleman with a history of coronary artery disease, diabetes and mesenteric ischemia status post celiac trunk stent placement presented to clinic with abdominal pain. Initially improved in the months following stent placement, now (almost two years later) he is complaining of postprandial left upper quadrant pain, vomiting and a fear of eating. He was scheduled for elective angiography, which revealed a 90{8ceaa46882e4d49283ff23b35262537230ad541262f55a031ead545e66522058} in-stent restenosis in the celiac trunk (Fig 1).

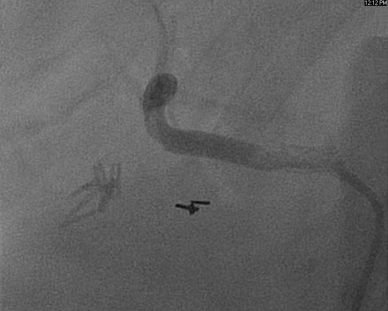
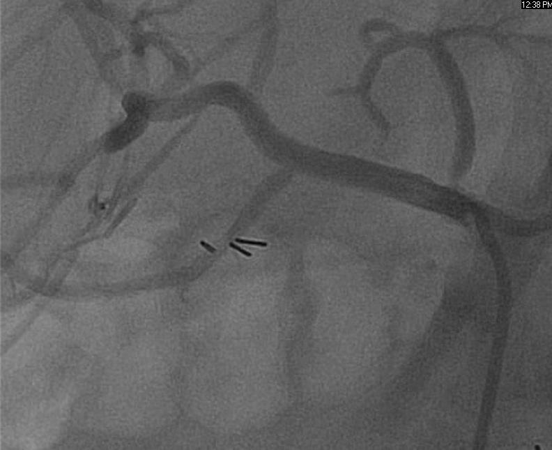
Sequential drug-eluting stents were placed and post-dilated with a good result (Fig 2, 3).


The patient had an uneventful overnight stay in the hospital and has remained free of symptoms at four months post-procedure.
Clinical Presentation and Diagnosis
Approximately 70{8ceaa46882e4d49283ff23b35262537230ad541262f55a031ead545e66522058} of patients treated for CMI are women (http://www.ncbi.nlm.nih.gov/pubmed/21722785). A history of obstructive atherosclerosis in other vascular beds or the presence of risk factors (diabetes, hypertension, hypercholesterolemia) raises clinical suspicion for CMI. The key to the diagnosis is weight loss, caused by a fear of eating and the abdominal angina that follows. Without weight loss, an alternative diagnosis, such as dyspepsia, cholecystitis, pancreatitis, malabsorption syndrome or colitis should be considered.
Given sufficient technical expertise, Duplex ultrasound boasts >90{8ceaa46882e4d49283ff23b35262537230ad541262f55a031ead545e66522058} accuracy in diagnosing CMI (http://www.ncbi.nlm.nih.gov/pubmed/9652470). Without an ultrasound technologist on hand that has been trained in imaging of the mesenteric vessels, CTA or MRA can also be used. These modalities have additional value for exclusion of malignancy, which presents similarly to CMI. Despite technological advances in non-invasive imaging, digital subtraction angiography remains the gold standard, and allows measurement of pressure gradients across lesions of borderline significance.
Natural history of mesenteric ischemia and the Role of Intervention
The goals of therapy in CMI are to reduce symptoms and prevent acute mesenteric infarction. If any symptoms of CMI are present in a patient with ≥ 70{8ceaa46882e4d49283ff23b35262537230ad541262f55a031ead545e66522058} stenosis of a mesenteric artery, stenting is appropriate. The more controversial question is whether revascularization in an asymptomatic patient prevents bowel infarction. Based on autopsy series, mesenteric artery disease is common, especially in elderly patients, where it was found in 67{8ceaa46882e4d49283ff23b35262537230ad541262f55a031ead545e66522058} of those over the age of 80 in one Finnish study (http://www.ncbi.nlm.nih.gov/pubmed/7725785). In a subgroup of 553 asymptomatic participants in the Cardiovascular Health Study, 97 had ultrasound evidence of celiac trunk (CA) or superior mesenteric artery (SMA) stenosis (http://www.ncbi.nlm.nih.gov/pubmed/17060539). Of these, none died of acute mesenteric ischemia over a mean 6.5 years of follow-up and there were no differences in overall mortality and cardiovascular events compared with patients that had no mesenteric artery disease. Given the redundancy of the intestinal circulation, it seems intuitive that there would be no benefit to revascularization of asymptomatic single vessel disease. But what about the patient that, despite having severe diffuse disease, does not have symptoms consistent with CMI?
In a study of 980 patients with asymptomatic mesenteric artery stenosis, 13 of 15 with three-vessel disease (CA, SMA, IMA) either had bowel infarction, abdominal pain or died during a one- to six-year follow-up (http://www.ncbi.nlm.nih.gov/pubmed/9620135). Although the natural history of asymptomatic mesenteric stenosis remains clouded, it is reasonable to consider revascularization of three-vessel disease to avoid the devastating sequelae of infarction, especially if there are high grade aorto-ostial lesions amenable to stenting. In patients with multi-vessel mesenteric disease undergoing elective abdominal surgery, angioplasty +/- stenting should be considered pre-procedure to avoid postoperative bowel infarction from loss of collateral networks in the intestinal arcade.
Stenting versus Open Revascularization for chronic mesenteric ischemia
A meta-analysis of series published between 1990 and 2009 showed that taking an endovascular approach reduces periprocedural complications, but at the cost of more repeat procedures (http://www.ncbi.nlm.nih.gov/pubmed/20681773). In this decade, endovascular series in experienced centers have demonstrated up to 100{8ceaa46882e4d49283ff23b35262537230ad541262f55a031ead545e66522058} technical success and 90{8ceaa46882e4d49283ff23b35262537230ad541262f55a031ead545e66522058} symptom relief, with reintervention rates approximating 30{8ceaa46882e4d49283ff23b35262537230ad541262f55a031ead545e66522058}, suggesting that technological advances and operator training are rapidly making mesenteric stenting the new standard of care (http://www.ncbi.nlm.nih.gov/pubmed/19837530).
Guidelines
A 2005 committee issued guidelines for endovascular revascularization in mesenteric ischemia. These can be summarized as follows (http://circ.ahajournals.org/content/113/11/e463.full.pdf):
- IIB – acute intestinal ischemia. Surgery is the preferred mode of revascularization (IB recommendation), as resection of necrotic bowel is often necessary. In select cases where surgery is felt to be extremely high risk, stenting can be used as part of a hybrid approach to lessen the magnitude of the operation required.
- IB – chronic intestinal ischemia. Percutaneous treatment is equivalent to surgery, which is also given a IB recommendation. Notably, there are no prospective randomized trials of medical therapy versus revascularization.
Treatment of mesenteric ischemia with intervention was given a strong level of recommendation by the Society for Vascular Surgery in 2021. A joint European committee also issued elaborate guidance to the evaluation and treatment of this condition in 2020.
Visceral Artery Aneurysms and When Not to Stent
Rarely, in the workup of abdominal pain, a visceral artery aneurysm (most commonly of the splenic artery) may be encountered. Catheter-based or surgical therapy for visceral aneurysms ≥ 2 cm in diameter is a IIA guideline recommendation, regardless of symptoms.
Though a variety of indications for endovascular treatment have been discussed, it is important to remember several non-atherosclerotic diseases for which stenting may be harmful. Mechanical compression of the celiac trunk by the diaphragm (so-called median arcuate ligament syndrome) is a cause of chronic abdominal pain and mesenteric stenosis. Stents placed for this indication commonly fracture or migrate, causing further complications. Open surgery with a ligament release is the preferred strategy for management. Importantly, the diagnosis of median arcuate ligament syndrome can be challenging. Digital subtraction angiography in the sagittal view with deep inspiration may confirm the diagnosis. The epidemiology of median arcuate ligament syndrome is poorly understood, and in some cases it may coexist with atherosclerotic disease, further clouding the diagnosis and proper management strategy.
If severe, diffuse mesenteric disease is encountered and the patient presents with fever, rash or a rheumatologic picture, vasculitis should be considered. Stenting lesions associated with polyarteritis nodosa can accelerate inflammation and lead to worsening ischemia. Giant cell arteritis is a diagnosis that should not be missed in the workup of mesenteric ischemia, as a delay in corticosteroid therapy could have dire consequences.
