Inferior vena cava thrombosis is usually the result of an IVC filter. However, native IVC thrombosis is also encountered. While it is a form of deep vein thrombosis, the natural history of IVC thrombosis is variable. It ranges from remaining asymptomatic for the long-term to debilitating bilateral leg swelling.

Diagnosis
The diagnosis of IVC thrombosis relies on a combination of three:
- Clinical suspicion – When the lower extremity is swollen far more than can be explained by a thigh clot, think of a higher obstruction. Other clues include bilateral swelling and scrotal or labial swelling.
- Lack of respiratory variation on lower extremity venous duplex ultrasound suggests a more proximal obstruction to flow.
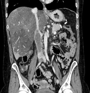
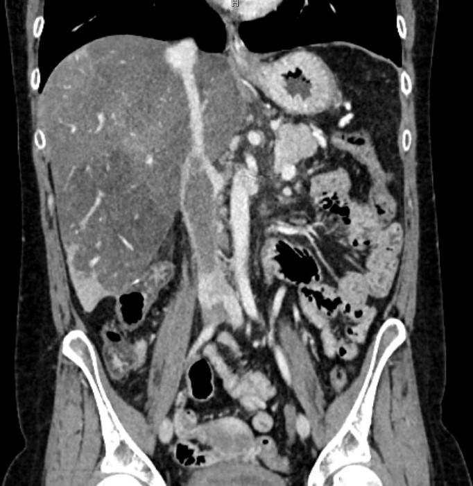
- Imaging of the abdomen and pelvis – Including CT venogram (most common) or MR venogram or sometimes venography.
Outcome of Inferior Vena Cava Thrombosis
Symptoms from chronic inferior vena cava thrombosis are variable. They range from none to devastating. They can be unilateral or bilateral. If the thrombosis is left untreated the IVC may shrivel away and become atretic. This can make the problem even worse and prevent treatment. Inferior vena cava thrombosis can cause the IVC syndrome. The IVC syndrome is not subtle. People suffer from swollen legs, heaviness and pain. A severe form of the post-phlebitic syndrome can occur.
A rare consequence of inferior vena cava thrombosis is cauda equina syndrome. The thrombus can extend from the IVC into the lumbar veins. This may cause elevated pressure on the spinal cord and paralysis. Patients with lumbar vein thrombosis can have difficulty walking and problems with bowel control.
Treatment Options
The best treatment for inferior vena cava thrombosis is prevention. IVC filters are the main cause for this condition. Therefore IVC filters should only be used for proper indications. If an IVC filter is inserted it should be a retrievable one. The filter needs to come out as soon as possible. If the filter cannot be removed, anticoagulation should be given indefinitely.

Next, is conservative medical treatment. This includes anticoagulation. It is the experience of many that even very large clot burden can dissolve with proper anticoagulation within a matter of months. Most would recommend treating incidentally found asymptomatic IVC thrombosis. This recommendation relies on the fact that these patients sometimes become symptomatic.
Inferior vena cava thrombosis can also be treated by endovascular techniques. The goal is not always to remove all the clot, but rather to obtain a channel of flow. Techniques use mechanical thrombectomy and pharmacological thrombolysis. Vortex is an emerging technology for large clot burden that still needs to be studies further for this indication. Success rate is limited as there is often much clot to cross. Sometimes stents are placed in the IVC after the procedure. This is not a simple procedure and patients should be chosen carefully. On the other hand, if the procedure is successful, results can be astounding. One series of 99 patients showed good to excellent clinical results in over 70%. These results remained for as long as two years. Sometimes re-intervention is needed.
Absence of the inferior vena cava
Absence of the inferior vena cava can be congenital or a result of surgery. Congenital absence of the inferior vena cava is not a rare finding on routine CT. Most of these patients did not know they had this condition. How is this possible? Why is inferior vena cava thrombosis symptomatic but inferior vena cava absence silent? The answer is collaterals. People with absence of the IVC often have multiple collaterals that circumvent the deleted area. Blood can still flow freely from the legs to the torso. This is also why these patients are not naturally protected from deep vein thrombosis. These patients may still suffer from pulmonary emboli when they suffer a DVT. Neurological problems because of lumbar vein congestion have also been described with absence of the IVC.
Dr. Weinberg is the founder and Editor In-Chief of Angiologist.com. He is a Vascular Medicine physician at Hadassah Hebrew University Medical Center, Associate Professor of Medicine at Harvard Medical School and Past President of the Society for Vascular Medicine.
