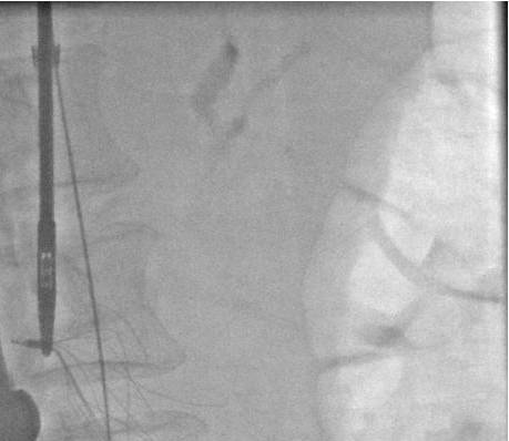
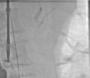
Inferior vena cava filters are being inserted very commonly. Acceptable indications for IVC filters are venous thromboembolism without possibility for anticoagulation. However, retained IVC filters tend to cause complications. Examples of IVC filter related complications include filter thrombosis, migration and perforation, among others. Of course, IVC filter retrieval is not always necessary. But still, IVC filter retrieval rates must improve. Fortunately, today we usually use retrievable IVC filters. This means that in most patients doctors should be able to get the filter out.
IVC filter retrieval rate
Published retrieval rates have been as low as 5%. Most published rates report higher numbers between 20%-30%. A review of 1810 filters found that 22% were retrieved. Another reason for retained filters is failure to remove the filter. Such technical failure, however, does not represent a lack of clinical attention to the need to remove the filter. In any case, IVC filter retrieval rates vary from location to location and even from service to service within the same location.
A study called SAFE-IVC examined trends in IVC usage in the United States. It was published in JAMA in 2024. While this study showed a decline in the use of inferior vena cava filters, it also showed that retrieval rates remained low. Interestingly, this study echoes earlier results published in JAMA Internal Medicine in 2017. Then, researchers also showed that after FDA warning, IVC filter use declined.
Factors Affecting Retrieval
There is relatively little information to help understand why filters are removed in some cases and remain deployed in others. Sometimes filters simply cannot be removed. Examples of such cases include patient death or persistence of the indication for the filter. However in other cases the filter could theoretically be retrieved, but is not for various reasons. The most common stated reason for not removing an IVC filter is lack of follow up. Another commonly cited reason is patient preference not to have another procedure. Unfortunately other reasons for not removing an IVC filter include improper patient selection. This may result in inserting filters in patients who have a poor prognosis notwithstanding.
Improving IVC filter retrieval rates
There is only one way to improve upon IVC filter retrieval rates. This is by proper patient follow up and by maintaining continuous contact between patients and the service that is in charge of removing the filters. While there is virtually a consensus regarding the need to be better about taking filters out, there have been surprisingly little studies examining ways to do so. However, one common denominator has emerged regarding programs that resulted in improved filter retrieval rates. In all cases a dedicated follow up has been set.
Successful filter surveillance programs differ between various centers, sometimes making them difficult to imitate. In Penn State a single operator has improved his retrieval rate by initiating a computerized reminder system and sending letters to patients. Thus in this case much of the responsibility has been put on the patients. In another center a multi-disciplinary trauma team has improved IVC filter retrieval by adding retrieval to their daily report. A third system implemented in Chicago utilized a novel IVC filter clinic. Again this clinic served one main operator fortified by a dedicated nurse coordinator. An interesting finding from this report was that as time from filter insertion elapsed, the likelihood of retrieval rose, suggesting that efforts were made to get the filters out. Similarly, Ko and colleagues improved filter retrieval rates by appointing a specific physician’s assistant to this task in their trauma center.
Dr. Weinberg is the founder and Editor In-Chief of Angiologist.com. He is a Vascular Medicine physician at Hadassah Hebrew University Medical Center, Associate Professor of Medicine at Harvard Medical School and Past President of the Society for Vascular Medicine.


