In order to plan surveillance after a procedures there needs to be knowledge of potential complications. Although endovascular aneurysm repair is generally safer and less traumatic for patients than open surgical repair, this treatment has some important disadvantages that need to be realized beforehand. One potential complication of endovascular aneurysm repair is an endoleak.
An important principle when treating aneurysms with a stent is to make sure that there is a proper seal between the stent and the artery lumen. In this way the aneurysm sac is excluded from the systemic circulation. If the seal is not proper the aneurysm sac may continue to grow because of continuing systemic blood flow. A second important principle is to avoid arterial blood flow into the aneurysm sac. If there is blood flow into the aneurysm sac this may cause aneurysm expansion. This basically means that if an endoleak exists it may cause aneurysm rupture despite treatment.

Risk factors for development of endoleaks after endovascular repair of aneurysms include poor technique and aortic characteristics such as angulation, calcification and mural thrombus. Aneurysm size has been shown by some, but not all, to correlate with chances for endoleak development.
Endoleak Types
Endoleaks are divided into four types according to the mechanism that created them and the way they appear on imaging studies. It is important to distinguish between the various types of endoleaks, as different endoleaks mandate different surveillance and different treatment:
- Type I endoleak – Occurs at the edge of the endograft, if the seal between the stent and blood vessel wall is not appropriate. Type I endoleak occurs when the endograft that was chosen is too small for the blood vessel in which it is being deployed or when improper deployment location has been used. This type of endoleak needs to be treated immediately and should be discovered during the endograft deployment.
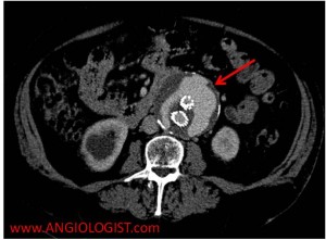
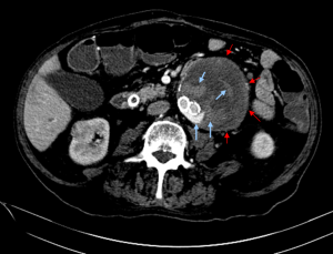
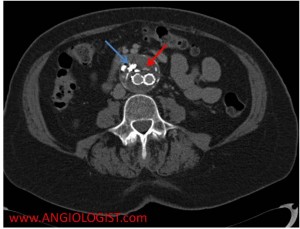
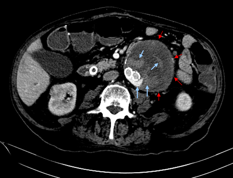
- Type II endoleak – Results from a blood vessel that is filling the original aneurysm sac around the graft. Three blood vessels that are commonly implicated in type II endoleak are lumbar arteries, accessory renal arteries and the inferior mesenteric artery. An important principle to understand regarding type II endoleaks is that there should always be two arteries visible entering the aneurysm sac – one artery is the one carrying blood to the sac and the other taking it out (otherwise the sac would always grow and rupture).

- Type III endoleak – Results from a fracture in the stent or another flaw in the flow struts or from flow from between two segments when more than one segment of stent is being used. This causes blood to leak from within the endograft into the aneurysm sac.
- Type IV endoleak – is very similar to type III endoleak, in that it results from blood flowing from within the endograft through the stent, but this time it results from a flaw in the graft material itself. Therefore, as opposed to type III endoleak, it is often difficult to see on imaging studies, as the percolation of blood is very slow and may not be apparent with contrast (see below).
Diagnosis
The diagnosis is through imaging studies. Because we know that some problems arise with time after aneurysm procedures, much of the imaging is acquired routinely. The most common imaging we use is contrast enhanced vascular CT.
Other proposed options for endoleak detection include ultrasound, contrast enhanced ultrasound and MRI.
Two signs during imaging suggest an endoleak. The first is continued aneurysm expansion despite treatment. The second is extravasation of contrast material from within the artery (or graft) into the aneurysm sac. When this occurs the type of endoleak needs to be delineated. This is done by examining the endoleak location, looking for a blood vessel entering the aneurysm sac and making sure the stent is complete (without overt flaws in the stent). Another tip for proper CT imaging of endoleak is to use delayed images (typically at 70 seconds after contrast injection). At this time equilibrium has been achieved. A common mistake is mistaking calcifications and contrast extravasation on CT. Therefore a comparison of the contrast and non-contrast images should be made.

Endoleak Treatment
We do not need to treat every endoleak. The factors that will determine treatment is required include endoleak type and progression of aneurysm sac size. Thus, only 12% of endoleaks end up requiring repair, while the rest are followed. In fact, many of the endoleaks that are followed resolve and many others persist without aneurysm sac enlargement. Follow up is often done with CT but ultrasound is great also to visualize the sac dimensions. Thus, another approach which is becoming more popular (and potentially cost effective) is relying mainly on ultrasound for surveillance and using CT judiciously.
When intervention is needed, options include conversion to open surgical repair and a repeat endovascular procedure.
Read more:
- Endoleak after EVAR. Annals of Surgery. 2004.
Dr. Weinberg is the founder and Editor In-Chief of Angiologist.com. He is a Vascular Medicine physician at Hadassah Hebrew University Medical Center, Associate Professor of Medicine at Harvard Medical School and Past President of the Society for Vascular Medicine.
