An aneurysm is an abnormal dilatation of a blood vessel that involves all three layers of the vessel wall (intima, media and adventitia). An aortic aneurysm is such a dilatation of the aorta and it is the most common form of aneurysm. The prevalence of an abdominal aortic aneurysm is 8% in persons over 65, more in men than in women. Identifying this dilatation is important because it may progress and cause blockage of blood supply to various organs (i.e. the kidneys and intestines), contain thrombus that might embolize to distal organs or burst and cause severe, often life threatening hemorrhage.
Location
Abdominal aortic aneurysms or AAA are the most common. Most are infra-renal. A thoracic aneurysm is the second most common location.

An infra-renal location means they are in the portion between the renal arteries and the iliac bifurcation. When the abdominal aorta diameter exceeds 3 cm it is considered an aneurysm. In the thoracic aorta the cutoff is 4 cm. The reason for the differential cutoff in aortic diameter is that the normal diameter for the thoracic aorta is larger than for the abdominal aorta.
Risk Factors for an Aortic Aneurysm
The two main causes of abdominal aortic aneurysms are atherosclerosis and medial cystic degeneration. Other forms include traumatic, syphilitic, inflammatory and post-infectious. Common risk factors for abdominal aortic aneurysms are similar to those of atherosclerosis. When a patient has an AAA they should also be screened for other manifestations of atherosclerosis:
- Smoking – It has actually been shown that smoking cessation reduces the risk for having a AAA detected.
- Hypertension
- Male sex
Less common causes of abdominal aortic aneurysms:
- Syphilis
- Vasculitis such as polyarteritis nodosa (PAN) and Kawasaki.
- Trauma
- Congenital defects and family history. Diseases associated with aortic aneurysms include Marfan’s syndrome, Ehlers-Danlos syndrome and Loeys-Dietz Syndrome. It is important to note that most people with aortic aneurysms do not have a family history. Having said that a fascinating article has been published in 2011 in Nature Genetics. This paper examined genome-wide associations. It was found that thoracic aortic aneurysms arise in association with variations in the FBN1 gene. This is the same gene that causes Marfan’s syndrome.
There are two special types of abdominal aortic aneurysms that should be noted:
- Mycotic aortic aneurysm – this is an infectious aortic aneurysm. It can be secondary to infective endocarditis, but may also be secondary to salmonella gastroenteritis.
- Inflammatory aortic aneurysm – this type of aortic aneurysm is not fully understood, but can be found in vasculitis.
Patients with a popliteal artery aneurysm have a 40% chance of having an abdominal aortic aneurysm. That is why the presence of a popliteal artery aneurysm should prompt a search for an abdominal aortic aneurysm.
Symptoms of an Abdominal Aortic Aneurysm
An abdominal aortic aneurysm is usually asymptomatic. Sometimes it may cause abdominal pain. In rarer instances an abdominal aortic aneurysm can impinge on adjacent structures such as ureters, vertebrae or blood vessels. Pressure caused by abdominal aortic aneurysms on the blood flowing to various organs causes symptoms that originate from the intestines or kidneys. Another type of symptom arising from an AAA is distal embolization (usually bilaterally, to the toes).
An abdominal aortic aneurysm can be mistaken for a tumor when a mass is felt in the abdomen. Diagnostic imaging studies usually sort this out.
The risk for an abdominal aortic aneurysm to rupture increases with size. A small abdominal aortic aneurysm (smaller than 4 cm) rarely rupture (less than 2% of the time). However, aneurysms tend to increase in size and therefore, a small aneurysm may become larger. The rate of increase is usually constant, and often in the range of 0.26-o.4 cm per year, more as aneurysms grow. This means that as time progresses an aneurysm will grow. As size increases, the risk for rupture rises. An aneurysm greater than 5 cm in diameter ruptures at a rate of 5-10% per year (!). It is therefore customary to say that if a person with an aneurysm lives long enough, a time will come when it will pose a true risk for their lives.
Diagnosis
The diagnosis of an abdominal aortic aneurysm is done by use of diagnostic imaging studies.
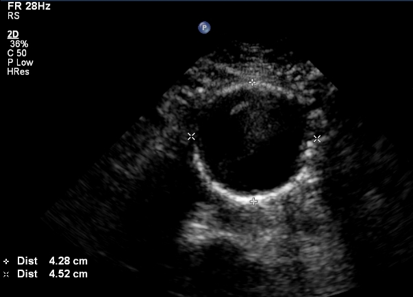
The most available and harmless imaging measure for diagnosis of an abdominal aortic aneurysm is duplex ultrasound. It is recommended that every man age 65-75 who has ever smoked be screened at least once for an AAA with an ultrasound examination. Some advocate screening for any man over age 65 and any woman over age 65 who has ever smoked, as well. The USPSTF recommends screening men aged 65-75 who have ever smoked for abdominal aortic aneurysm with ultrasound and claim data is inconclusive regarding AAA screening in women. Interestingly all these guidelines do not address AAA screening in first degree relatives of patients that have aneurysms, despite known familial clustering of some types of aneurysms. Screening has been shown to prevent death and be cost effective, after a follow-up of 7 and 10 years.

Other imaging studies used are computed tomography with contrast material and when needed CTA (computed tomography angiography) and magnetic resonance angiography (MRA). Having said that, the “gold standard” for aortic aneurysm imaging is still contrast-angiography. Often before a definitive decision is made regarding treatment, a patient will have to undergo formal angiography.

Surveillance
We only offer procedures when an aneurysm is large, or when it is associated with symptoms. Otherwise, we follow them. The most common way to follow an aortic aneurysm is with an ultrasound. This is either done once a year, or every 6 months for larger aneurysms. Sometimes, we use CT or MRI.
Aortic Aneurysm Treatment
While we only follow small aneurysms, there are reasons to offer treatment. These include enlarging aneurysms, aneurysms that reach a certain size and aneurysms associated with symptoms. Symptoms will include abdominal pain, back pain and sometimes embolism to the feet. When that happens, the source is usually a mural thrombus. We use the unpleasant nickname “trash foot” to describe the result of these emboli to the feet. Basically, a patient will develop ischemic changes in their toes. Sometimes it will lead to gangrene and even amputation.
We have written a separate article about abdominal aortic aneurysm treatment. You might want to check it out. We also wrote an article about abdominal aortic aneurysm procedure outcomes. It is important to read, because it can give you a sense of the risks associated with treatment.
Further reading:
- Society for Vascular Surgery clinical 2017 practice guidelines for management of patients with abdominal aortic aneurysms.
- It is well known that Albert Einstein had an aortic aneurysm. He had a first surgical repair (at that time aortic rapping was a treatment option). Later on the aneurysm continued to be symptomatic, but Prof. Einstein refused further treatment. Read about it in this cute article.
- Joint commission 2010 guidelines for the diagnosis and management of patients with thoracic aortic disease.
- Review of the literature (2014) regarding aortic root disease in patients with connective tissue disease (such as Marfan’s or Loeys-Dietz) can be found here.
- Clinical Pearls about abdominal aortic aneurysms.
Dr. Weinberg is the founder and Editor In-Chief of Angiologist.com. He is a Vascular Medicine physician at Hadassah Hebrew University Medical Center, Associate Professor of Medicine at Harvard Medical School and Past President of the Society for Vascular Medicine.
