Superior vena cava syndrome (SVCS) is a clinical syndrome that arises when there is blockage of the superior vena cava, either because of thrombosis or because of external pressure. The most common clinical setting where superior vena cava syndrome is encountered is in patients with cancer, either disseminated or local in the chest (such as lung or breast cancer and lymphoma). Appropriately, the average lifespan after the diagnosis is only 6 months (though this figure varies for different causes).

Causes
In the end, the cause is an obstructed superior vena cava. Of course, there are many potential reasons for obstruction; either intrinsic or extrinsic. In the past infectious diseases were the most common cause for superior vena cava syndrome. Aortic aneurysms secondary to syphilis and tuberous masses are examples.
Today, however, malignancy is the most common cause. Thrombosis of the superior vena cava, usually secondary to catheters, is a growing cause as the rate of use of central venous catheters rises. Fibrosing mediastinitis is a leading non-iatrogenic cause.
Of malignancies, lung cancer is the most common cause of superior vena cava syndrome, while other causes include mediastinal lymphoma and metastasis from distal sources. A rare cause is mediastinal fibrosis, the final diagnosis of which requires a biopsy.
Superior Vena Cava Syndrome Signs and Symptoms
The clinical presentation is secondary to disrupted venous drainage of the upper part of the body. Therefore, the symptoms arise in the face, neck and upper chest. In most patients symptoms will develop over 2 weeks or more. Therefore, superior vena cava syndrome is usually not a medical emergency. Thus, steps should usually be performed to obtain a final diagnosis prior to treatment. A modern, prospective, series regarding 50 patients reported that patients did not deteriorate when treatment for the superior vena cava obstruction was delayed.
Typically there is gradual swelling of the face. Patients may complain of their face being more swollen after sleep and better at night (after being upright all day). The eyelids may be especially swollen and the neck veins may be distended. This is usually bilateral. Sometimes stridor (hoarseness), cough and dyspnea accompany the distention (probably also because of edema in the tracheal wall), but severe shortness of breath is also possible when venous pressure rises considerably. The upper chest and arms may be both edematous and demonstrate prominent venous distention visible on the chest. This may be easier to identify in woman with fair skin. Sometimes the upper abdomen is also involved and will be swollen as well.
Severe cases may present with conjunctival engorgement. Furthermore, in severe cases of superior vena cava syndrome brain edema and therefore headaches, confusion and even coma may be present.
On the other hand, in some cases there is actually progressive improvement that results from development of collateral flow (through partial flow in the superior vena cava or through the azygous and mammary veins and via chest wall collaterals).
Diagnosis
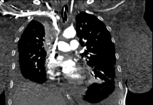
The diagnosis is usually clinical. Once clinical suspicion arises, imaging needs to be utilized. Sometimes we begin to suspect this diagnosis because of a combination of typical clinical signs and symptoms and a widened mediastinum on plain chest radiograph. However, the best imaging study for diagnosing an obstruction in the superior vena cava or compressing mass is CT with intravenous contrast. MR and PET-CT may have their value in specific cases, though. Other than the diagnosis of superior vena cava compression or thrombosis, the cause needs to be identified fully. Therefore, many times biopsy and pathological tests are needed to compliment imaging. Tissue may be obtained in various methods including from sputum, pleural fluid, mediastinoscopy or open surgical biopsy. Before intervention (see ‘treatment of superior vena cava syndrome’), venography may be needed, although it is sometimes a combined diagnostic and therapeutic intervention.

Superior Vena Cava Syndrome Treatment
Treatment is aimed at resolving the elevated pressure in the upper body and at resolving the cause of the compression or blockage. The treatment may combine mechanical relief of obstruction together with treatment of cancer (assuming that is the cause).
Treatment of the cancer causing superior vena cava syndrome may be with intent of cure or with intent of relieving obstruction. Systemic chemotherapy and local irradiation may both relieve the obstruction within days to weeks and are used depending on the exact cause. Recurrence rate after radiation is 20%-50%.
Treatment of superior vena cava secondary to clot is usually treated with either catheter removal with or without endovascular treatments. Anticoagulation is also usually given, though there is very little good quality data to support this.
Supportive Measures
Treatment should also include supportive measures. Supportive measures include raising the patient’s head in order to promote venous outflow. Case report level data supports the use of glucocorticoids in emergent cases. This treatment is more likely to aid patients in whom the obstruction is due to lymphoma or thymoma that classically respond to steroids. A Cochrane review remarked that there was lack of sufficient evidence to recommend the use of steroids for this purpose. Whether or not diuretic use has room in the treatment of superior vena cava syndrome is unclear, though they are usually prescribed with an intent to reduce right atrial pressure.
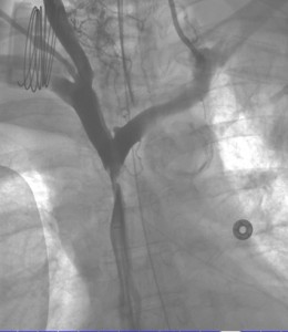
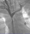
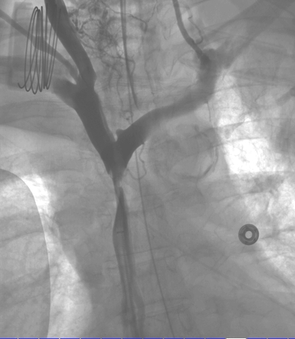
Stenting for Superior Vena Cava Syndrome
We use superior vena cava stenting in patients with SVCS secondary to malignancy as a rescue procedure in patients with severe swelling or shortness of breath. Stents may be used either as secondary, rescue, treatment when chemotherapy and or radiation have failed or as first line treatment. After successful stenting, symptoms are expected to resolve within 24-48 hours.
The durability of palliative superior vena cava stenting procedures is rather good considering the usual patient overall condition. Therefore, the superior vena cava syndrome does not usually return to bother the patient and proper treatment endeavors can be sought. However, recurrence happens in in 10-20% of patients, and then re-treatment is needed in a similar manner to the first one. Superior vena cava stents may be self-expanding or balloon expandable. There are several types of stents that are in use for treatment of superior vena cava syndrome. These include self-expanding stents and balloon-expandable stents. Choice of the proper stent depends on how tight the superior vena cava stenosis is, the length of the lesion and on vessel curvature.
Stent Types
Examples of stents that are being used for treatment of superior vena cava syndrome include the Palmaz balloon-expandable stent and the self-expanding Wallstent and memotherm stents. Despite relative ease of stent implantation and expected high frequency of relief of symptoms, it is important to remember that superior vena cava stenting does have (rare) complications. Stent occlusion is the most common complication of superior vena cava stenting (occurring in up to 33% of cases). This is secondary to thrombosis or tumor invasion. However, as stated before stent re-stenosis can be treated with options such as thrombolysis, thromboaspiration or re-stenting. There are other, rarer complications, such as stent misplacement, stent migration and rupture of the vena cava during insertion.
Stent Complications
Death after stent insertion has been reported rarely, most often secondary to hemorrhage or cardiac events. Also, the rapid re-institution of venous return may result in cardiac ischemia and pulmonary edema in the first 48 hours post-stenting.

Surgical Treatment
Surgery, as opposed to stenting, is usually reserved for non-malignant causes as surgery to treat malignant involvement of the superior vena cava is risky. Furthermore, surgery is difficult to justify in patients with poor prognosis, such as many patients with malignancy and superior vena cava syndrome, as it is major surgery, involving sternotomy and extensive debulking.
Surgical treatment of superior vena cava syndrome may include superior vena cava bypass or reconstruction. The most popular conduit to use is the greater saphenous vein while other veins or a synthetic ePTFE graft may also be used. Long-term patency has been reported to be 88% and 90% in two small series, with clinical improvement in most of these patients. When symptoms recur after surgery, endovascular interventions may be useful, though redo surgery is sometimes needed. Regarding stenting for non-malignant causes of superior vena cava syndrome – it has been reported with satisfactory short and mid-term surveillance, but in small series. Concern arises regarding this modality, as these patients need a durable treatment.
Read More
- Superior vena cava syndrome in a patient with malignancy. NEJM. 2007.
- Stenting for treatment of superior vena cava syndrome. NICE guidelines. 2004.
- Superior vena cava obstruction in children. JACC. 2007.
- Short review of superior vena vaca syndrome with emphasis on stenting. European Journal of Radiology. 2009.

Dear Ido, January 25, 2011
Very interesting and well written! When I studied about SVC syndrome, the fascinating thing was that the most frequent symptom is dyspnea! Treatment modality is chosen so that fast response is achieved: small cell lung cancer and lymphoma highly respond to chemotherapy so this modality is chosen first; while non-small cell lung cancer responds less to chemo so that radiation is better.
Sincerely yours,
Nicola