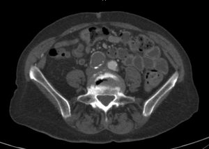
Renal Infarction
When the kidney, or part of it, does not receive blood, this may cause a renal infarction. Sometimes, blood flow is limited because of a local problem. But often, systemic illness is the problem. Symptoms of Renal Infarction Renal infarction is often diagnosed late. The reason is that symptoms are non-specific. Patients often have abdominal…
