When the kidney, or part of it, does not receive blood, this may cause a renal infarction. Sometimes, blood flow is limited because of a local problem. But often, systemic illness is the problem.
Symptoms of Renal Infarction
Renal infarction is often diagnosed late. The reason is that symptoms are non-specific. Patients often have abdominal or flank pain. There may be nausea. Sometimes there are symptoms that suggest the cause. This includes palpitations and leg swelling. Palpitations may suggest an arrhythmia and leg swelling or pain may suggest DVT. Another thing to always ask about is other manifestations of embolization. These may include looking at the retina or performing a thorough neurological exam looking for stroke. Finally, patients may have symptoms suggestive of an underlying disease as a cause for hypercoagulability or vascular abnormality. This may include connective tissue disease such as Ehlers-Danlos or Marfan syndrome. It may also include symptoms of vasculitis such as arthritis, rashes or aphtha. Patients may also have other vascular abnormalities. A carotid bruit may suggest fibromuscular dysplasia, for example.
Diagnosis of Renal Infarction
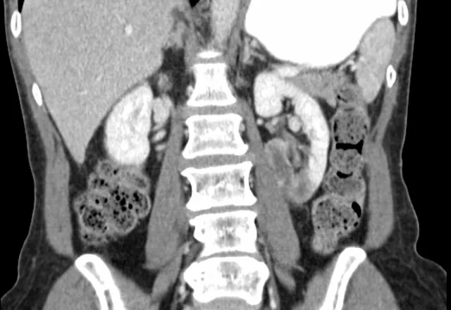
The diagnosis of renal infarction is suggested by an elevated LDH. The diagnosis itself is typically made with computed tomography. The image above is typical. A wedge shaped lesion that does not enhance with contrast is seen. The extent of the infarction depends on which renal artery was occluded and at what level.
The differential diagnosis of renal infarction is vast. It includes the following: Embolization (from the heart, aorta or a paradoxical embolization), atherosclerosis, fibromuscular dysplasia, Ehlers-Danlos, Marfan, vasculitis (including polyarteritis nodosa, SLE and even Henoch-Schonlein), drugs including cocaine, trauma and iatrogenic causes. Thrombophilia should be suspected as well.
Diagnosing the Cause of Renal Infarction
As outlined above there are various reasons for renal infarction. An evaluation for renal infarction should include looking for sources of emboli and reasons for hypercoagulability. The following tests should usually be ordered:
- Echocardiography with bubbles – the purpose is to look for an intracardiac thrombus and a patent foramen ovale.
- Holter monitor – to search for arrhythmia.
- Lower extremity venous duplex exam – the purpose is to look for a deep vein thrombosis as a source for the embolus.
- Testing for arterial hypercoagulability – As outlined here this should include antiphospholipid antibodies, protein C, protein S, JAK2 mutation, paroxysmal nocturnal hemoglobinuria and hyperviscosity. Homocystein and Lp(a) are associated more with accelerated atherosclerosis.
- Tell-tale signs of vasculitis – Screening can include an ANA.
- In appropriate cases cancer should be looked for as this is a cause of arterial thrombosis.
- In appropriate cases look for connective tissue disease. Think about these conditions in the presence of artery dissection, if there are aneurysms or other vascular anomalies, if the patient is young and especially if there is a family history. Examples of connective tissue disorders include Marfan’s syndrome and Ehlers-Danlos syndrome.
When reviewing the CT images it is important to look for renal artery abnormalities that may explain the event. These include segmental arterial mediolysis, renal artery dissection and renal artery aneurysm. Specifically, look for signs of FMD. If you can’t find a cause within the renal artery, some experts recommend a carotid artery ultrasound to look for fibromuscular dysplasia there.
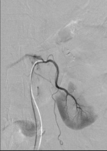
Don’t Forget Angiography
Consider a formal digital subtraction angiography when the above measures did not help you figure out the cause. Angiography can offer information about small branches of the renal artery that computed tomography and MRA cannot. Sometimes, the only way to make the diagnosis of fibromuscular dysplasia or segmental arterial mediolysis is with angiography. However, it must be noted that the angiography is most useful soon after the event. If you wait, the picture may no longer be clear. For instance, you may not be able to see an artery dissection. Still, the earliest time after the infarction is unfortunately also when it is most risky.
Don’t Forget Hypertension
One more practical note. Sometimes a renal artery dissection will be secondary to uncontrolled hypertension. Knowing your patient has elevated blood pressure readings can save much unnecessary workup and point you in the right direction for treatment.
Treatment of Renal Infarction
Renal infarction is treated with anticoagulation. The duration of anticoagulation depends on the cause of the event.
Thrombolysis should be considered for acute renal infarction and when a large portion of the kidney has been damaged. It is more likely to be chosen if the event is acute, the creatinine is rising and if blood pressure has become difficult to control. Endovascular approaches such as pulse tPA or angiojet have been described.
Patient Outcomes
Very little is known about the natural history of renal infarction. Furthermore, it is not known what the optimal treatment should be and how it affects outcomes. The largest series to date managed to collect data about 438 patients with renal infarction for various causes in Korea. These investigators found that only a minority of patients will have a recurrence. Most patients were treated with anticoagulation and so whether or not it is indeed necessary could not be evaluated. Duration of anticoagulation could not be studied either. Many patients were also given an antiplatelet agent.
In this same series, most patients with renal infarction did not develop deterioration of renal function. Of those who did have worsening renal function, it was usually transient, and usually occurred within the first few weeks after the acute presentation. Etiology did matter.
Read more:
- A case series and review of the literature of 17 cases of renal infarction. The discussion is particularly useful for reviewing the differential diagnosis.
Dr. Weinberg is the founder and Editor In-Chief of Angiologist.com. He is a Vascular Medicine physician at Hadassah Hebrew University Medical Center, Associate Professor of Medicine at Harvard Medical School and Past President of the Society for Vascular Medicine.


