Catheterization is part of modern medicine. It can be venous or arterial. Arterial catheterization is designed to bring therapy to various locations in the body with a catheter inserted through a peripheral artery. The arteries that are most commonly used for arterial catheterization include the common femoral artery and the radial artery. Complications of catheterization are not rare.
Complications of catheterization
Complications of catheterization include the following:
- Local hematoma
- Retroperitoneal hematoma
- Pseudoaneurysm
- Arteri-venous fistula
- Guidewire emboli
- Air emboli
Most of these complications are rare and two vascular complications will be discussed – Pseudoaneurysm and arterio-venous fistula.
Pseudoaneurysm
A pseudoaneurysm is formed when a small (accidental) puncture is made to the arterial wall during arterial puncture. Blood flows out of the puncture into the surrounding tissue. The accumulation of blood in the tissue forms a mass of blood that may resemble a true aneurysm. The blood is usually connected to the artery by a stem which represents the tract of blood flowing from the artery to the pseudoaneurysm.

Pseudoaneurysms occur in 0.05-2{8ceaa46882e4d49283ff23b35262537230ad541262f55a031ead545e66522058} of arterial catheterizations. Risk factors for developing pseudoaneurysms after a groin stick include inappropriate arterial stick (including inappropriate angulation, multiple sticks, wrong force used etc.), not applying enough pressure at the end of the procedure and incorrect arterial stick location (i.e. not the common femoral but rather the superficial femoral artery), obesity, anticoagulation, older age. There is debate to whether closure devices cause more pseudoaneurysms than direct pressure (this is separate than the discussion regarding closure device infection by bacteria or mycotic infection and other closure device complications such as retained pieces).
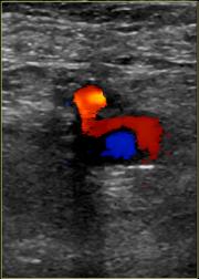
The diagnosis of a pseudoaneurysm is usually made with an ultrasound duplex. There are several signs that a sonographer looks for when insonating with a pseudoaneurysm in mind:
- A mass of blood next to the common femoral artery
- A connection between the mass and the artery (the “stem” of the pseudoaneurysm)
- The power doppler characteristics of blood flow in the stem are to and fro (back and forth). This represents the relationship between the hight pressure artery and the low pressure pseudoaneurysm.
Arterio-venous fistula
A fistula is a connection between an artery and a vein. A fistula might occur by accident during the arterial puncture, if the needle simultaneously goes into the adjacent femoral vein.

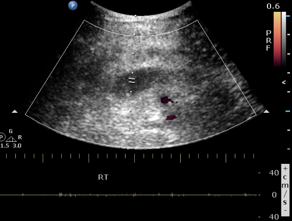
An arterio-venous fistula is diagnosed by using a duplex ultrasound. The following measures are looked for when diagnosing an arterio-venous fistula:
- When visualizing the common femoral artery and vein using color doppler, turbulent blood flow is noticed.
- The blood flow in the artery at the site of the fustula may show reduced velocities, as it heads toward the low resistance vein.
- The blood flow in the vein at the site of the fistula may show arterial characteristics. Following the vein proximally toward the heart shows gradual dampening of the effect.

In both cases of pseudoaneurysm and arterio-venous fistula, visualization should be made carefully from the level of the external iliac vessels and down toward the femoral vessels, as not to miss a finding.
Treatment of pseudoaneurysm
The treatment of both pseudoaneurysm and arterio-venous fistula can be done in several ways:
- Pressure may be applied to the complicated site. If the pressure is applied under visual assistance of an ultrasound probe, the compression may be of shorter duration and results are better. Compression is performed in 10 minute intervals. Between each interval duplex is performed to see if thrombosis has occurred. On average compression is needed for at least 3 cycles. Compression may be painful and often pain medication is needed when a patient is being treated by compression for pseudoaneurysms and fistula.
- In the case of pseudoaneurysm, the lesion may be repaired by injecting thrombin directly to the lesion site. The injection may be done under ultrasound and is aimed at the exact site of the problem. After thrombin injection the patient may return to regular activity, although heavy lifting and strenuous activity are discouraged. This procedure can even be performed in outpatient clinics. Potential hazardous outcomes of thrombin injection include thrombosis of a major artery or vein and therefore a major DVT or PE or ischemic limb.
- Endovascular remedies (especially embolization) can be offered if the aforementioned methods fail. There is also an option to inject thrombin via an endovascular approach (and not “just” under ultrasound visualization).
- Surgical repair – surgery used to be the treatment of choice for repair of A-V fistula and pseudoaneurysms. It is still a treatment of choice for many fistula. In the case of pseudoaneurysms, surgery is offered if pressure and thrombin injection fail, in pseudoaneurysms that occur at sights of surgery and anasthemosis, especially with grafts and in cases of infected pseudoaneurysms.

Treatment of arterio-venous fistula
AV-fistula are occur in about 1{8ceaa46882e4d49283ff23b35262537230ad541262f55a031ead545e66522058} of arterial procedures. Most will heal with 6 months, although some will not, especially if anti-coagulation is being administered. Therefore, an AV-fistula usually does not need specific treatment. In cases in which it is expanding and in cases in which it is causing heart failure symptoms, treatment might be needed. Options include direct surgical ligation and covered stents.
Read more about complications after catheterization
- Pseudoaneurysm review. Circulation 2007.
- Incidence and outcome of iatrogenic AV-fistula. JACC 2002.
Dr. Weinberg is the founder and Editor In-Chief of Angiologist.com. He is a Vascular Medicine physician at Hadassah Hebrew University Medical Center, Associate Professor of Medicine at Harvard Medical School and Past President of the Society for Vascular Medicine.
