Takayasu arteritis is a large vessel vasculitis. This means it is an inflammation of large arteries. It is most typical in young Asian women. Latin women also have it more than others. It can also occur in other parts of the world. It mostly affects the aortic arch and its tributaries. Takayasu arteritis is also known as “pulseless disease”. This is because it may involve the subclavian arteries and abolish pulses.
What is Takayasu arteritis?
Takayasu arteritis is a large-vessel vasculitis. It is an inflammation of large blood vessels. It was once called Non-specific artery inflammation. Giant cell arteritis is also a large artery vasculitis and these diseases can overlap clinically. It is sometimes difficult to decide what the diagnosis is. The cause of Takayasu arteritis is unknown.
Symptoms of Takayasu arteritis
Patients with Takayasu arteritis have four types of symptoms:
- Non-specific symptoms that are a result of inflammation. These symptoms include fever, malaise and muscle weakness.
- Symptoms that are a result of specific artery involvement. Artery involvement can be with stenosis or aneurysms. As most large arteries may be involved, many types of symptoms may arise. Examples include aortic aneurysm, atypical aortic coarctation, carotid artery stenosis, subclavian artery stenosis, renal artery stenosis.
- Symptoms that are a result of complications. Examples include heart failure because of aortic regurgitation or aneurysm rupture.
- There are several symptoms that are typical of patients with Takayasu arteritis, but are not secondary to artery involvement. Hypertension is typical. It can result from renal artery stenosis but also from loss of aortic compliance. Heart failure is also common. It can be a result of coronary artery involvement, but it is more typically a result of aortic valve insufficiency or direct myocardial involvement.
Many patients with Takayasu are asymptomatic. The diagnosis in these patients is made by chance. It is made when physical examination is abnormal or during surgery without expecting it beforehand.
Diagnosis
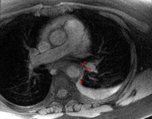
There are two ways to diagnose Takayasu arteritis. The typical way is to combine clinical findings with evidence of inflammation and imaging studies that show artery involvement. The most useful markers of inflammation are the erythrocyte sedimentation rate and C-reactive protein. IL-6 is emerging as a specific marker of inflammation in vasculitis. Imaging studies can start with duplex, as seen in this image:
Other imaging studies that are often needed include CTA and MRA.

These methods give more information than duplex about thoracic vessels:
Typical lesions are “skipped lesions”. This means parts of the artery are involved and others are not. PET-CT can show active inflammation in involved arteries. It has been shown to associate with inflammation. A problem with it is that there is often residual uptake after inflammation has subsided. This may correspond to re-modeling or may not have any importance. This is still being studied.
Sometimes the diagnosis is made by chance. Sometimes specimens from patients who have undergone surgery to treat aneurysms show inflammation.
Criteria for the Classification of Takayasu Arteritis:
According to the 1990 criteria published by the American Rheumatological Society, three or more of the following are needed to make the diagnosis:
- Age at disease onset <40 years
- Claudication of the extremities: development and and worsening of fatigue and discomfort in muscles of 1 or more extremity while in use, especially the upper extremities
- Decreased brachial artery pulse
- Systolic BP difference > 10mm Hg between the two arms
- Bruit over subclavian arteries or aorta
- Arteriographic narrowing or occlusion of the entire aorta, its primary branches, or large arteries in the proximal upper or lower extremities (not due to arteriosclerosis, fibromuscular dysplasia, or similar causes)
Other schemes for the diagnosis of Takayasu arteritis have been proposed. They basically look at arterial involvement of branches of the aorta. These are coupled with constitutional symptoms and signs and markers of inflammation. When these appear in a young woman the suspicion of Takayasu should be raised.
Treatment of Takayasu arteritis
Treatment of Takayasu arteritis has three components: Treatment of inflammation, treatment of arteries and treatment of complications. Treatment of inflammation is done with steroids. Steroid sparing medications have also been used. Indications for treatment are active inflammation as depicted from elevated inflammatory markers. Artery involvement is treated with catheters or surgery. Indications for treatment are symptomatic artery involvement or prevention of complications. For example, aortic aneurysm repair before rupture, according to size. Post-treatment surveillance is important as complications occur even after many years. Complications are not always in tandem with inflammation. Complications should also be treated. Blood pressure needs to be controlled. Heart failure needs to be treated.
Read more:
- Cardiac involvement in Takayasu. AHJ. 1991.
- Takayasu arteritis experience: Treatment and outcomes. Circulation. 2008.
