Renal vein thrombosis is a relatively rare entity. It is most commonly described in the context of nephrotic syndrome and renal cell carcinoma. There is very little literature about to guide us, thus the treatment of this condition is not very well established.

Presentation
Many patients are asymptomatic at first. But flank pain and hematuria are characteristic. Renal vein thrombosis can be unilateral or bilateral.
Causes
Renal vein thrombosis can be seen in the following situations:
- Spontaneously
- Trauma
- Severe dehydration – This is more typical of children
- Nephrotic syndrome – This condition is well known to correlate with venous thrombosis and specifically in the renal veins. The prevalence has been shown to be nearly 30%. Some argue that it is actually the reverse and that the thrombosis is actually the cause of the nephrotic syndrome.
- Renal cell carcinoma – often with tumor invasion into the adjacent renal vein and possibly all the way into the inferior vena cava
- Hereditary and acquired hypercoagulable states that cause venous thrombosis – examples include deficiency of anti-thrombin III, protein C or protein S deficiency, antiphospholipid antibody syndrome, factor V Leiden mutation, a mutation in the prothrombin gene and oral contraceptives.
Diagnosis of renal vein thrombosis
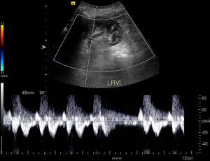
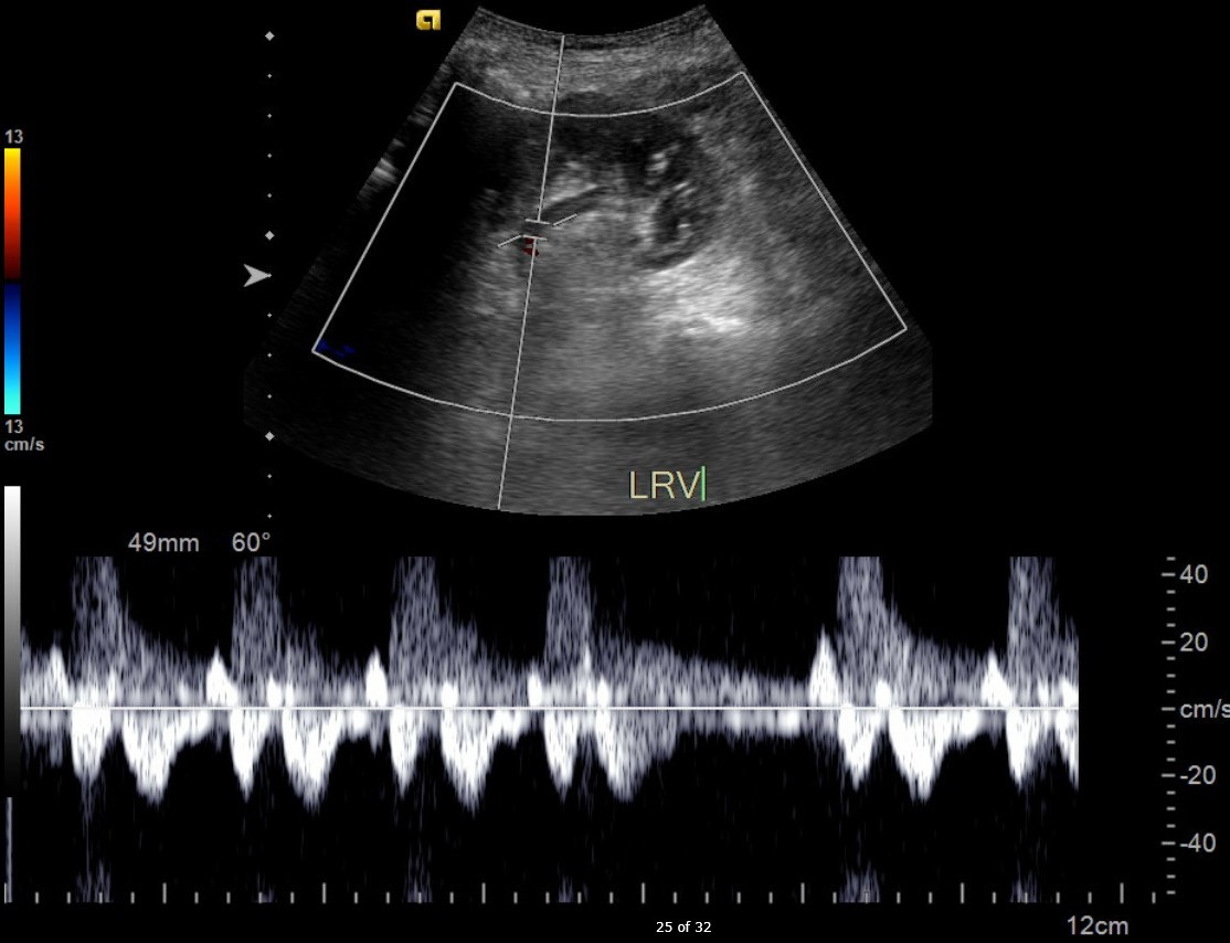
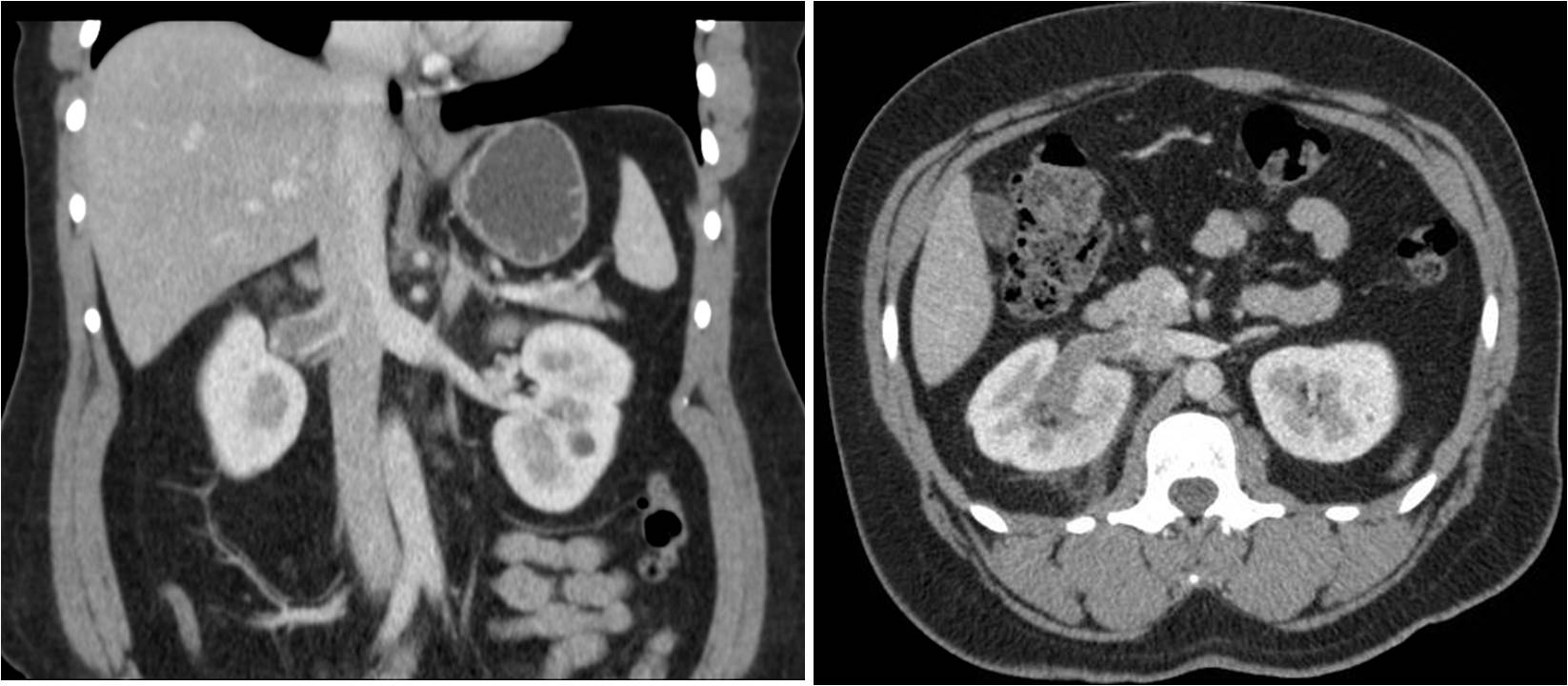
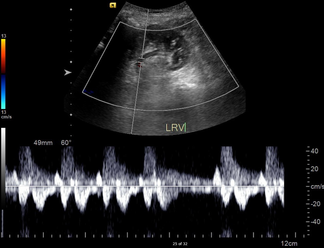
Renal vein thrombosis should be suspected in patients with flank pain and hematuria, especially if accompanied by impaired renal function. The best imaging studies to make the diagnosis are computed tomography (as seen above) or magnetic resonance imaging. On imaging a filling defect will be seen within the renal vein. The filling defect may extend into the inferior vena cava. The kidney itself may show a renal cell carcinoma or edema from congestion. Theoretically renal duplex ultrasound will show lack of flow within the renal vein, however this is not a reliable test for this diagnosis. If you cannot identify normal flow, but you still suspect the diagnosis, you should opt for another imaging modality.

Treatment of renal vein thrombosis
There are no well established protocols for the treatment. The mainstay of treatment is anticoagulation. However, the intensity and duration of treatment are not well studied. One should also remember that if the etiology is the nephrotic syndrome, there may be resistance to heparin, because of anti-thrombin III deficiency. Thrombolysis has been used, especially with clot extension into the IVC or with deteriorating renal function. Another possible indication for thrombolysis is when the thrombosis is secondary to a migrating IVC filter. By the way, this is one of those rare cases where a supra-renal IVC filter may be logical to consider, remembering that these are unfavorable as they may promote thrombosis into the renal veins.
Dr. Weinberg is the founder and Editor In-Chief of Angiologist.com. He is a Vascular Medicine physician at Hadassah Hebrew University Medical Center, Associate Professor of Medicine at Harvard Medical School and Past President of the Society for Vascular Medicine.
