A renal artery ultrasound is one of the most challenging tests in vascular ultrasound. The most common indication for a renal artery ultrasound is to assess for renal artery stenosis. It usually takes around 1 hour. When imaging conditions are less than optimal, renal artery ultrasound can take longer or should be acknowledged as imperfect. Challenges arise from the depth of the examined vessels as well as overlying bowel gas and anatomical structures. There is no one right way to perform a renal artery ultrasound. However a renal artery ultrasound protocol should include images of the aorta, both renal arteries and intra-renal blood vessels.
Tip: A renal artery ultrasound should be scheduled first thing in the morning. Patients should be asked to fast. Eating or drinking will result in more bowel gas and a less accurate exam.
Patient positioning for renal artery ultrasound
Renal artery ultrasound is performed when the patient lies in two positions: On their back and on each side. Each position has advantages and disadvantages.
Imaging from the midline allows for easier identification of vascular structures than from the flank. The aorta is readily recognized and the mesenteric and renal arteries can be located. Imaging from the midline also allows sampling of the origin of the celiac and superior mesenteric arteries origin. It also allows for recognition of aortic aneurysms. On the other hand, renal artery ultrasound performed from the midline has a disadvantage of trying to image through bowel gas. If the patient has bowel gas overlying the vascular structures, imaging from this approach may be close to impossible.

There is usually less gas obscuring the vascular structures and the kidneys from the flank approach. Also, the flank approach allows measurements of the kidneys and visualization of intra-renal blood vessels. A disadvantage of the flank approach is difficulty in following the renal artery all the way to its origin. The renal artery origin is important to image, as atherosclerosis tends to accumulate there.
Renal artery ultrasound – Midline images
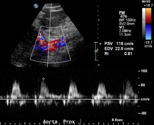
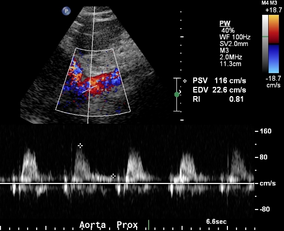
The midline approach is ideal for obtaining blood flow velocity in the proximal aorta. This velocity is later used to calculate the renal to aorta flow ratio. An increased ratio suggests significant renal artery stenosis. The velocity in the proximal aorta should be measured at the level of the origin of the superior mesenteric artery. The superior mesenteric artery is often easier to identify when the aorta is elongated as its course is often parallel to that of the aorta. Sampling of the superior mesenteric artery waveform should show a high resistant waveform, if the patient has indeed fasted.

Tip: the superior mesenteric artery waveform is usually higher velocity than the aorta. Choose to locate the pulse-wave cursor slightly proximal or distal to the superior mesenteric artery origin to avoid overlap between waveforms.
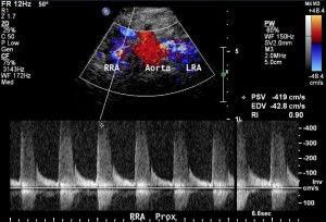
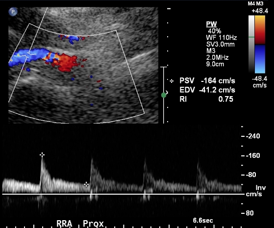
The next step is to identify the renal arteries. Each renal artery should be sampled in its origin and proximal, mid and distal portions. The distal portion of the renal artery is often difficult to obtain from the midline even in easy renal artery ultrasound. The proximal portion is difficult to obtain from the flank and therefore effort should be made to obtain it from the midline.

Sometimes the images are less than optimal. If there is uncertainty, images should not be acquired. However, if the renal artery can be identified coming in from the rest of the noise, then it can be sampled:

Tip: The right renal artery origin is often a bit higher than that of the left renal artery.
Flank images are Often Useful!
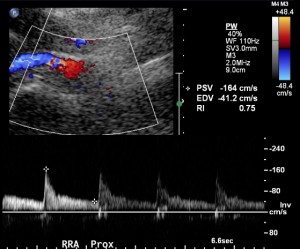
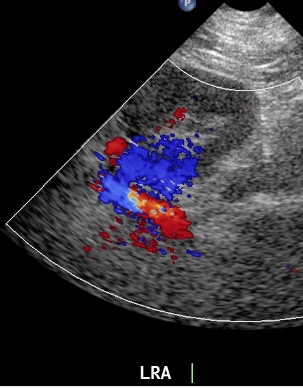
The flank approach as part of a renal artery ultrasound allows for imaging of the kidneys and blood flow in them. It also allows to circumvent bowel gas and sometimes visualize the renal arteries better. The flank approach is practical for visualizing the mid and distal renal arteries, more than the proximal renal artery.
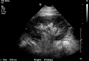
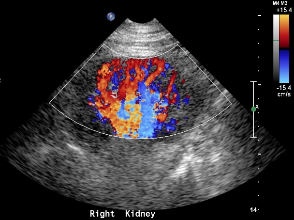
The first images to take from the flank are of the kidney in the longest view possible. In this view the kidney length and cortex should be evaluated. Sometimes part of the kidney is obscured by the rib cage. In these cases asking the patient to take a deep breath and hold will allow for better visualization.

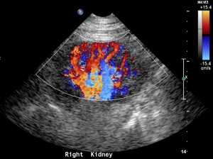
Adding color flow to this view will give a rough estimate of blood flow to the kidney. Before doing so make sure your color scale is set to low flow.

Then, measurements should be taken from the various parts of intra-renal flow. Typically blood flow velocity is sampled in the cortex, medulla and hilum. Cortical and medullary flow should be sampled in the upper and lower poles. A zero angle can be used. These measurements serve to calculate the resistive index.

Tip: In order to make sampling easier, increase your sample volume to 3 mm. Also, have the patient hold their breath, without inhaling first.
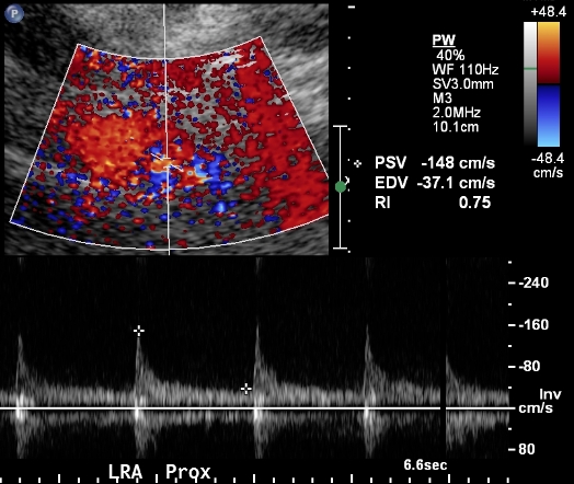
The last, but perhaps most important, part of performing the renal artery ultrasound from the flank approach is to sample the renal artery. The goal of the ultrasonographer is to elongate as much as the renal artery from the hilum to the aorta. If the full length of the renal artery is identified, then velocity sampling can be performed with confidence. Otherwise, there is an element of guessing.

Tip: Usually, elongating the renal artery requires showing the kidney in transverse. This is termed a “C” image, because the kidney assumes a shape of the letter “C”. The hilum and renal artery exit the “C” toward the aorta.

Sampling from the renal artery should be performed with angle correction.
A high-quality renal artery ultrasound will repeat similar measurements from both the midline and the flank approach. If there is great discrepancy between these measurements, it may mean that one of them is wrong.
Read more about renal artery ultrasound
- A document published in 2018 outlined the equipment and basic standards for vascular ultrasound.
- This article outlines renal artery ultrasound disadvantages. These should be appreciated when ordering this test.
