Renal Artery Ultrasound Disadvantages

A renal artery ultrasound is appealing. We use it for native renal arteries, stented renal arteries and in transplant renal arteries. Compared to other methods of imaging the renal arteries, ultrasound has many advantages. These include a lack of radiation and lack of contrast agents. Also, for people who are claustrophobic, renal artery ultrasound has another advantage of avoiding the MRI machine. But not all is perfect with renal artery ultrasound. We must know of the renal artery ultrasound disadvantages to use the test correctly.

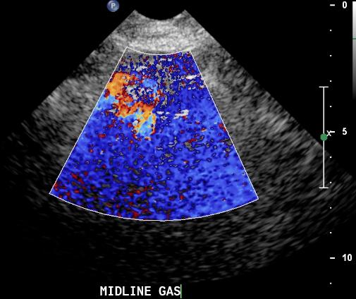
Renal artery ultrasound
Excellent image of renal artery ultrasound from the midline

Renal artery ultrasound requires patient cooperation

A complete renal artery ultrasound is a long exam. It usually takes around 1 hour to perform. During this time the patient has to lay in several positions. Also, we often ask patients to hold their breath so we could capture images. These test characteristics may prove challenging for many common patient populations. First, patients who have chronic pain may find it difficult to assume various positions. Second, patients who are short of breath may find it hard to lay flat and cooperate with the breathing requirements of the test. Finally, in those patients who have limited capability to cooperate the test results will surely be sub-optimal.

Renal Artery Ultrasound Disadvantages are Worse in People with Short Stature

Sometimes, we capture images from the flank approach. To achieve this, the patient lays on their side, and we place the probe between the iliac crest and the rib cage. In patients with short stature, this space may be limited. As the angles needed for obtaining optimal images of the kidneys and renal arteries are variable, a limited space is a true limitation. Patient positioning may minimize this limitation. First, have the patient reach stretch their arms over their heads. Next, ask them to straighten their legs. Another option is to have the patient lie on a pillow placed under the other flank. This may create a stretched curve in the examined flank and may aid in obtaining images.

Ultrasound is not Ideal to Image Anatomy

  • Accessory renal arteries are not easy to identify. It may be important to identify them. Misinterpreting a renal artery duplex by focusing on the wrong renal artery or mixing parts of both renal arteries can lead to erroneous conclusions and wrong decisions.
  • It is not always easy to identify the full course of the renal artery from the flank approach. This may lead to mistakes in interpretation of the renal artery ultrasound. The inferior mesenteric artery can be confused for the distal renal artery.
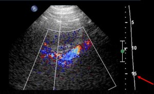
Distal renal artery ultrasound
There is partial visualization of the renal artery

Axial Imaging Can Identify Findings Outside of the Arteries Better

One very important advantage of both CT and MRI is that imaging is usually not selective. This means that the field of vision is wider than just the question at hand. Incidental findings on CT and MRI are common. Most often, these findings are of little significance. However, sometimes they can be important. Renal artery ultrasound usually lacks that capability. Although ultrasound can theoretically image many intra-abdominal structures, this is not part of the renal artery ultrasound protocol. As this test is difficult and long enough, data is acquired from the structures of interest alone. Any findings outside of the aorta and renal arteries can be missed.

Another, related, disadvantage of renal artery ultrasound is its inability to define anatomical findings in the kidney. If a mass is found further imaging is usually required. Cysts can be measured, though.

Obesity and Bowel Gas are Major Limitations

Two of the most frustrating limitations of renal artery ultrasound are obesity and bowel gas:

  • Obesity makes it difficult to image deep structures such as the visceral blood vessels and the renal arteries. Limitations are due to ultrasound beam attenuation and absorption by tissue.
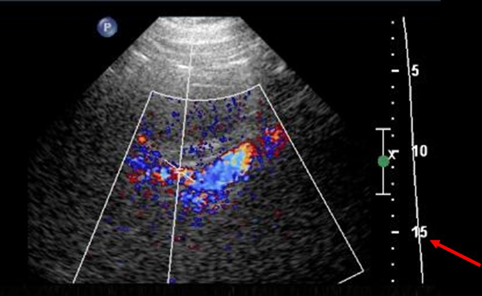
  • Renal artery ultrasound obesity
    Notice the depth and poor quality of the image

Bowel gas creates a typical artifact both in B-mode and in color flow mode. In B-mode bowel gas artifact looks like flashing lines that tend to obscure anatomical structures. In color flow mode bowel gas creates a disturbing array of random pixels that make it impossible to sample anything under them.

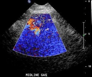
Bowel gas ultrasound artifact
Bowel gas ultrasound artifact

Two things that can be done by the operator to try and limit the effect of bowel gas on the quality of images in renal artery ultrasound include increasing the PRF (color scale) and narrowing the field of vision. Increasing the color scale will bring out quick flowing blood and attenuate the color bruit from gas. Narrowing the field of vision will allow the duplex machine to focus more energy and real-time images on the area of interest.

Renal Artery Ultrasound Disadvantages: Conclusions

Renal artery ultrasound results should be taken with a grain of salt. For images to be truly indicative of the anatomy a high level vascular laboratory and an appropriate patient have to combine. If any of these two factors is other than perfect, so are the results of the test. Therefore, the results of renal artery ultrasound should only be trusted if two facts combine: The test has to be of high quality and the results have to make clinical sense.

Author

  • Dr. Ido Weinberg

    Dr. Weinberg is the founder and Editor In-Chief of Angiologist.com. He is a Vascular Medicine physician at Hadassah Hebrew University Medical Center, Associate Professor of Medicine at Harvard Medical School and Past President of the Society for Vascular Medicine.

    View all posts
Vascular Medicine