Carotid artery imaging is used mainly to diagnose the commonly encountered carotid artery stenosis. The term ‘carotid artery stenosis’ usually refers to Internal carotid artery stenosis. Common carotid artery stenosis is less common. There are multiple ways to diagnose carotid artery stenosis including physical examination, duplex ultrasonography, CT scan, MRI and angiogrphy. Here we shall elaborate regarding the various imaging methods used for the diagnosis of carotid artery stenosis.
When should the carotid artery be imaged?
The carotid arteries are a source of emboli that cause stroke (20-25{8ceaa46882e4d49283ff23b35262537230ad541262f55a031ead545e66522058} of strokes). Therefore, stroke evaluation should include carotid artery imaging. Similarly, the carotid arteries should be visualized after TIA as well. Another indication for carotid imaging is if a bruit is heard over the neck (see below). Finally, carotid imaging can be part of the evaluation of dizziness. The USPTF recommends against screening the carotid arteries with duplex ultrasound in patients without symptoms and without a bruit. In patients that are thought to be of higher risk and in centers in which intervention can be safely performed, screening may still be advised (yet it should still be utilized judiciously). Also, according the the 2011 AHA guidelines, it is reasonable to perform ultrasound in patients with bruits audible over the neck bruits.
Carotid artery imaging is also necessary after procedures. The purpose of this surveillance is to identify correctable problems early. Carotid artery duplex after carotid endarterectomy or carotid artery stenting should be performed at 1, 6 and 12 months and then annually. If findings are stable over several years, then imaging intervals can be more lenient.
Physical examination for diagnosing carotid artery stenosis
Carotid artery stenosis can be diagnosed by simple auscultation to the neck. Classical teaching is that the ‘bell’ of the sthetoscope should be used for auscultation. If a bruit is heard while the patient holds their breath, carotid artery stenosis is suspected and further imaging studies are mandated (as many as 30{8ceaa46882e4d49283ff23b35262537230ad541262f55a031ead545e66522058} of patients with bruits over their necks turn out to have significant carotid stenosis). It has been shown that simple auscultation and finding of a carotid artery bruit correlates with coronary heart disease much more than many other ‘classical’ coronary risk factors. Therefore, carotid artery auscultation should be an integral part of any general physical examination.
Duplex ultrasonography for imaging carotid arteries
Duplex ultrasound is a non invasive, safe and cheap method for imaging of blood vessels. The sensitivity of carotid duplex ultrasonography for detecting stenosis in the internal carotid artery is over 90{8ceaa46882e4d49283ff23b35262537230ad541262f55a031ead545e66522058} and so is the specificity. These figures become even more accurate in more severe disease (stenosis of over 70{8ceaa46882e4d49283ff23b35262537230ad541262f55a031ead545e66522058} versus 50{8ceaa46882e4d49283ff23b35262537230ad541262f55a031ead545e66522058}). Of note: duplex ultrasound is less accurate for diagnosing common carotid artery stenosis, but this disease is much less common and is therefore a less common cause of neurological symptoms.

Carotid duplex ultrasonography utilizes several measurement to estimate the degree of carotid stenosis:
- Internal carotid artery peak systolic velocity (ICA PSV) – Peak systolic velocity increases as stenosis increases, if it is hemodynamically significant.
- Plaque estimate
- The internal carotid / common carotid peak systolic velocity ratio
- Internal carotid artery end diastolic velocity (ICA EDV)
| Degree of stenosis | ICA PSV (m/sec) | Plaque estimate | ICA/CCA PSV ratio | ICA EDV (m/sec) |
| Normal | <125 | None | <2 | <40 |
| <50 | <125 | <50 | <2 | <40 |
| 50-69 | 125-230 | >50 | >4 | <135 |
| >70 | >230 | >50 | >4 | >135 |
| Near occlusion | Variable | Visible | Variable | Variable |
| Total occlusion | Undetectable | No lumen | N/A | N/A |
| * Society for Radiology criteria | ||||
Every carotid duplex ultrasound examination has the following components:
- Visualization of the common carotid, external carotid, internal carotid and vertebral arteries – bilaterally.
- Imaging is performed separately for imaging (‘B mode’) and doppler (because different tube angles are used (90 degrees for the B mode versus 60 degrees for the doppler).
- Images are obtained in sagital and transverse views.
- Plaque size, location and composition are evaluated.
Carotid duplex ultrasound has several limitations:
- It is user dependent. If the duplex is not performed in a meticulous, standardized and thorough fashion, results can be misleading.
- Heavy calcifications cause acoustic shadows that preclude interpretation.
- Duplex ultrasound can not visualize the carotid arteries intracranially or beyond the jaw. Visualization of the common carotid origin from the Aorta is also difficult.
- PSV in tortuous vessels may be measured as high, thus mimicking stenosis.
- Although duplex can characterize plaque according to various characteristics, it has not been very successful in predicting which plaque is more vulnerable to embolization. The same is true for carotid artery imaging with CT and MR.
Follow the link to read about more pitfalls of duplex ultrasound of the carotid arteries.
MRI for carotid artery imaging
MRI or rather MRA (MR-Angiography) is a non-invasive alternative for imaging the carotid arteries. MRA offers a three dimensional image of the carotid arteries without exposing the patient to ionizing radiation (although gadolinium is needed). The technique is called ‘time of flight‘.

MRI tends to overestimate the degree of stenosis as compared with direct arteriography. When comparing with angiography, different MRI techniques have varying degrees of sensitivity and specificity for detecting severe carotid artery stenosis. The values are 87-95{8ceaa46882e4d49283ff23b35262537230ad541262f55a031ead545e66522058} for sensitivity and lower for specificity (46-100{8ceaa46882e4d49283ff23b35262537230ad541262f55a031ead545e66522058}).
Limitations of MRI for carotid imaging:
- Patient movement reduces image quality – MRI is a rather long scan. Every movement including artery pulsations or swallowing motion reduce the quality of the images.
- MRI acquires better images when the blood flows in a laminar fashion. Therefore, stenosis reduces MRI image quality. This ‘signal dropout’ has been suggested as a serrogate for stenosis, but is unreliable.
- MRI can not distinguish between complete occlusion and hairline flow. Imaging ‘pseudo-occlusion’ can arise. It is also important to note that the ascending pharyngeal artery may seem like blood flow in the carotid – this artifact should be avoided.
- Tortuous vessels are also problematic for MRI.
- MRI is problematic with metallic stents.
CT scan for carotid artery imaging
CT scan (CTA – CT angiography) offers a very reliable and accurate method for visualization of carotid artery stenosis. It has a sensitivity and specificity of 97-99{8ceaa46882e4d49283ff23b35262537230ad541262f55a031ead545e66522058} compared with angiography. Being a fast scan, CT is less susceptible to artifacts caused by patient movement. The most common way to measure carotid artery stenosis by CT (or angiography) is by utilizing the NASCET criteria. In this method the stenosis is expressed by the following formula:
Stenosis({8ceaa46882e4d49283ff23b35262537230ad541262f55a031ead545e66522058})=(1-R/D)*100
R – Minimal residual lumen at the level of stenosis, D – Diameter of the more distal internal carotid artery.
Limitations of CTA in carotid artery imaging:
- CT exposes patients to ionizing radiation and contrast material.
- CTA images are inaccurate when calcified plaques are involved, because it is difficult to ascertain whether there is stenosis or just calcifications. This is called ‘hardening artifact’. When there are heavy calcifications, MRI may be more accurate than CTA.
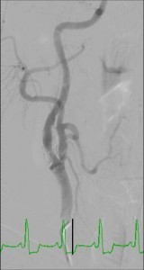
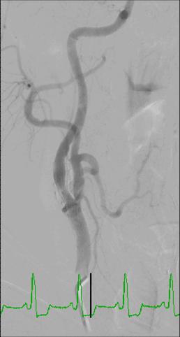
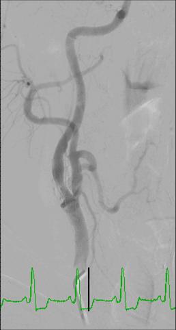
Angiography for the diagnosis of carotid artery stenosis
Angiography is the traditional ‘gold standard’ for the imaging of blood vessels. Direct angiography offers the best means for visualization of carotid artery lesions and overcomes most of the limitations that were listed for the other methods. The main disadvantages of carotid artery angiography include:
- It is an invasive procedure
- It exposes patients to ionizing radiation and contrast material
Therefore, nowadays angiography is utilized only when the non-invasive methods gave inconclusive results.
Choice of carotid artery imaging method
Choosing between the various options for carotid artery imaging depends on the patient’s clinical characteristics, the clinical setup and the expertise of the specific medical center. For example, in an emergency setting, such as acute ischemic stroke, CTA is the way to go, while in a more laid back situation such as the investigation of dizziness, perhaps duplex ultrasonography is safer (sometimes complemented by MRI that can be more specific and add brain imaging).
How often should carotid artery imaging tests be performed?
The rate of carotid imaging depends on the findings on a particular scan. For screening purposes in asymptomatic patients duplex ultrasound is the modality of choice. Repeat scans are dictated by the findings:
- Normal initial scan –> no further imaging required unless a new reason arises for it.
- Mild stenosis (<50{8ceaa46882e4d49283ff23b35262537230ad541262f55a031ead545e66522058}) –> Annual repeat duplex ultrasound and treatment for atherosclerosi.
- Moderate stenosis / new occlusion / difficult to interpret results –> MRA or CTA (where MRA is available it is preferable).
After the MRA, we need to reassess the need for repeat imaging, according to the findings:
- Normal –> No need for further imaging.
- Mild stenosis –> Annual repeat scans and treatment for atherosclerosi.
- 50-70{8ceaa46882e4d49283ff23b35262537230ad541262f55a031ead545e66522058} stenosis –> Annual follow-up and treatment for atherosclerosis.
- >70{8ceaa46882e4d49283ff23b35262537230ad541262f55a031ead545e66522058} stenosis –> Follow-up every 4-6 months and decision regarding endarterectomy / carotid stenting.
- Difficult to interpret results (especially if discordant with previous scans) –> Direct angiography.
How to choose carotid artery imaging for a patient
Choosing between the options for carotid artery imaging is not always easy when trying to help a particular patient. Duplex ultrasound is often the first choice because it is cheap, available and non-invasive. Adding CT or MRA to duplex should be considered in the following instances:
- Symptomatic patient with a normal duplex
- Equivocal duplex scan (uninterpretable or weird findings)
- When you suspect one of the pitfalls of ultrasound such as contralateral occlusion (because these may change the hemodynamics of the study)
- Before intervention is planned (although sometimes the duplex is so good that there is no need for further imaging).
If intracranial disease is suspected, it may make sense to start with CTA or MRA, because ultrasound cannot image the cerebrum. Although a CT is more accurate, an MR may be chosen first as a screening test to avoid radiation. Angiography for diagnosis alone is usually not used as it is invasive and there is risk of stroke and bleeding.
Patient characteristics such as contraindications to MRI or contrast allergy should be considered. Finally, local expertise is always a consideration when choosing which imaging technique to use.
Read more about carotid artery imaging
- Jaff MR et al. Vascular medicine 2008; 13: 281-292.
- Slovut DP. et al. J Vasc Surgery. 2010; 51(1): 65-70.

