Popliteal artery aneurysm

A dilatation of the popliteal artery by more than 50% normal results in a popliteal artery aneurysm. A normal popliteal artery measures 0.7-1 cm, so an aneurysm is considered when the artery measures more than 1.5 cm in diameter. A popliteal artery aneurysm may remain asymptomatic or result in limb threatening ischemia.

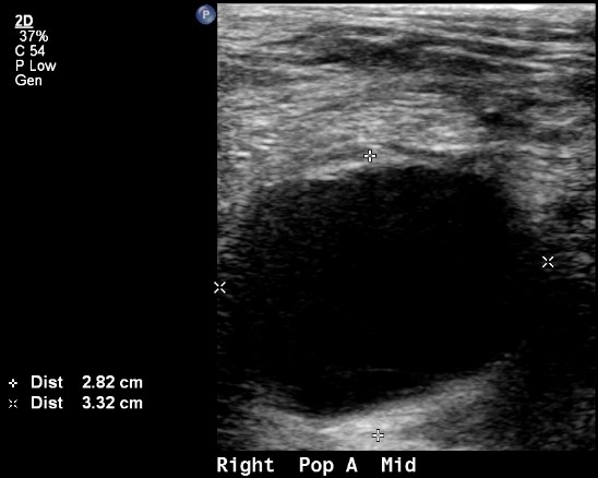
Popliteal artery aneurysm ultrasound
Popliteal artery aneurysm ultrasound

Epidemiology

The exact prevalence of popliteal artery aneurysms is not known. It is known that these are the most common aneurysms in the periphery. Only abdominal aortic aneurysms are more common. About half of the patients with a popliteal artery aneurysm will have one on the other side. About 40% of all patients with a popliteal artery aneurysm will have an abdominal aortic aneurysm. However this represents an average. Patients with bilateral popliteal aneurysms have a 50-7% chance for an abdominal aortic aneurysm, while patients with unilateral aneurysms have only a 25-40% chance. In any case, for this reason any patient who is found to have a popliteal artery aneurysm should be screened in the contralateral leg and for an abdominal aortic aneurysm.

Popliteal Artery Aneurysm Clinical Manifestations

The clinical manifestations of popliteal artery aneurysms range from being asymptomatic to acute limb ischemia:

  • Most known popliteal arteries are symptomatic. Only 30-40% are diagnosed during physical examination or imaging and not because of symptoms.
  • Symptoms usually result from thrombus formation within the aneurysm. The thrombus can embolize abruptly and cause acute limb ischemia or gradually and cause chronic limb ischemia. A popliteal aneurysm is also a cause of unilateral blue toes.
  • Local compression is less frequent. It is typical of popliteal aneurysms that are larger than 3 cm. Symptoms from compression depend upon what is being compressed. They can range from pain from nerve compression to varicose veins from venous compression.
  • Finally, a popliteal artery aneurysm may rupture. This occurs in about 5% of cases. A ruptured popliteal artery aneurysm usually results in local hemorrhage to the popliteal fossa.

Popliteal Artery Aneurysm Diagnosis

The diagnosis of a popliteal artery aneurysm can be suspected by finding a pulsatile mass behind the knee. However, about 40% of popliteal aneurysms will not be palpable. Some are just too small and other thrombosed. Experienced clinicians say that knowing when to suspect a popliteal artery aneurysm is a ‘gestalt’ decision that cannot be taught and can only be learned from experience.

popliteal artery aneurysm palpation
Examination of the popliteal artery pulse

Most popliteal aneurysms, however, are diagnosed with imaging. Arterial duplex ultrasound is a very convenient way to look for a popliteal aneurysm. It is safe, painless and accurate. Ultrasound also offers information about other structures such as a Baker’s cyst or masses. Ultrasound also allows looking for other aneurysms, such as in the contralateral popliteal artery, an abdominal aortic aneurysm or femoral and iliac aneurysms. All of these should be looked for in patients who are diagnosed with a popliteal aneurysm for the first time.

Obviously computed tomography and magnetic resonance imaging are excellent modalities to measure the popliteal artery. They both have a clear advantage of offering readily available information regarding other structures and aneurysms. However both also carry the disadvantage of being less convenient than ultrasound and more costly. Also, computed tomography involves radiation and contrast. Most arterial magnetic resonance testing will involve contrast as well.

Popliteal Artery Aneurysm Treatment

A popliteal artery aneurysm can be observed, excluded with a covered stent or bypassed surgically. The decision about observation versus treatment depends on patient and aneurysm characteristics and on patient preferences.

Observation is best for some aneurysms:

Observation is best for most aneurysms that are smaller than 2 cm, if no symptoms exist. The frequency of observation is not clear as the natural history of these aneurysms is not consistent. A good plan would probably be to instruct patients about symptoms and follow them for aneurysm growth and thrombus formation with ultrasound every 6-12 months.

When is observation not enough?

Aneurysms larger than 3 cm and symptomatic aneurysms are usually treated. Also, aneurysm thrombosis occurs more when there is femoral artery stenosis or poor runoff. The reason for this is slowed blood flow within the aneurysm and more chances for aneurysm formation. These characteristics may favor earlier treatment.

The standard treatment is aneurysmal exclusion and surgical bypass. This is major surgery. An endovascular alternative to surgery is to cover the aneurysm with a covered stent. This is basically similar to EVAR for abdominal aortic aneurysms. Complications include graft occlusion and endoleak. Graft occlusion is especially problematic as the aneurysm is located in an area of much motion. The constant bending of the knee results in repetitive kinking of the graft and a heightened chance for graft thrombosis. Endovascular treatment has been gaining favor. A meta-analysis of 14 trials was published in 2017 in the Journal of Vascular Surgery. It showed that at 3 years, outcomes were equal, however patients treated by an endovascular approach required more re-intervention ($).

Treatment of Acute Thrombosis

In patients who present with acute limb ischemia secondary to aneurysm thrombosis thrombolysis should be considered. However, thrombolysis may sometimes be skipped and surgical bypass preferred. An example of such a scenario is when a patient has poor runoff. In that case thrombolysis my dislodge clot that would compromise runoff and eliminate an opportunity for bypass. A review found that thrombolysis did not improve outcome in patients presenting with acute limb ischemia as compared with thrombectomy and bypass.

Medical Therapy

Data regarding medical treatment to supplement the interventional treatment or during surveillance is of poor quality. Theoretical medication include anti-platelet agents and anticoagulation. These are often prescribed to patients according to other risk factors and according to the presence of thrombus within the aneurysm.

Read more:

  1. A clinical review that offers many of the basics of peripheral artery aneurysms including popliteal artery aneurysms.

Author

  • Dr. Ido Weinberg

    Dr. Weinberg is the founder and Editor In-Chief of Angiologist.com. He is a Vascular Medicine physician at Hadassah Hebrew University Medical Center, Associate Professor of Medicine at Harvard Medical School and Past President of the Society for Vascular Medicine.

    View all posts
Vascular Medicine