Giant cell arteritis is a vasculitis that affects large and medium-size arteries. The diagnosis is not always straightforward. Sometimes patients present with vague symptoms, but other times the clinical manifestations are devastating. Complications include blindness and ruptured aortic aneurysms. It is closely linked to another inflammatory disease, polymyalgia rheumatica.

Clinical manifestations of giant cell arteritis
The diagnosis is sometimes challenging because symptoms can be vague. Therefore, a high index of suspicion is needed to make the diagnosis.
Patients are often elderly. It is rarely encountered in patients under the age of 50. Non-specific constitutional symptoms include (low grade) fever, weakness (most commonly of the shoulder and pelvic girdles), weight loss and malaise. Rigors may be present causing confusion with infectious diseases.
- Headaches and specifically temporal headache and tenderness over the temporal artery are typical. A history of pain during combing may be induced. Furthermore, jaw claudication is common in this disease.
- It is crucial not to miss ocular involvement, because it can lead to permanent vision loss. Eye involvement may be present even when other symptoms are not. Diplopia (double vision) and vision loss (“a dark shaded covering the visual field”) are the typical complaints. Patients who have lost vision in one eye are at risk to lose vision in the other as soon as in two years. Anterior ischemic optic neuritis (AION) is the classic eye involvement in giant cell arteritis. Central retinal artery occlusion is another ocular pathology in this disease.
- Large artery involvement (aortic arch syndrome) alone or in conjunction with the other clinical manifestations of giant cell arteritis is typical. An aortic aneurysm can be diagnosed years after the disease has manifested. Still, it is not clear how to screen for aortic involvement, how often and for how long. Less commonly, other large arteries may be involved. For instance, the lower extremity arteries.
- Around 10% of patient will have isolated hand and foot edema. It can resemble remitting seronegative symmetric synovitis with pitting edema syndrome (RS3PE).
- More rare clinical manifestations include scalp necrosis, tongue necrosis, myocardial infarction, breast involvement, female genital tract involvement and intracranial artery inflammation (which is very rare). Other neurological manifestations such as neuropathy, stroke or TIA are not rare.
Diagnosis
There are several diagnostic criteria for the diagnosis of giant cell arteritis. The diagnosis is most commonly made by combining the patient’s history and physical examination with select laboratory tests and confirmatory imaging studies. A temporal artery biopsy may offer the diagnosis.
Laboratory studies
Studies include non-specific markers of inflammation and to temporal artery biopsy. Erythrocyte sedimentation rate (ESR) is elevated in most cases. Still, there are patients with low ESR who still have giant cell arteritis. Because there are many factors that effect the ESR, the C-reactive protein, also a non-specific marker of inflammation, also has utility. A third marker of inflammation, interleukin-6 (IL-6) can be elevated as well.
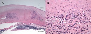
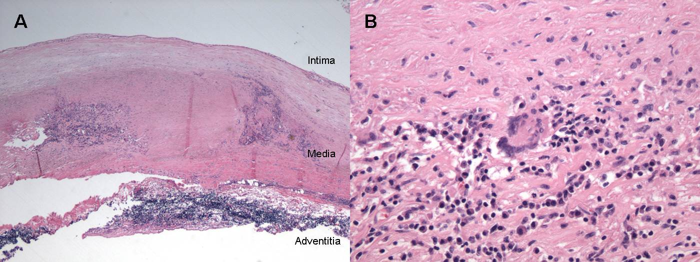
As always, pathology offers the definitive diagnosis . The most common site to biopsy is the temporal artery. The classic findings are inflammatory cells in the artery media, with medial destruction and giant cells. The image above is an example of a pathological specimen.
Temporal biopsy is rarely positive for disease when the contralateral side has been negative. Therefore, repeat biopsy is not necessary if a one biopsy has not shown disease. In contrast, some believe a second biopsy increases the yield of a diagnosis. Uncommonly, a biopsy of another artery will aid in the diagnosis. Temporal artery biopsy should not delay treatment and may be performed as late as two weeks after treatment has been started.
Imaging studies for the diagnosis of giant cell arteritis
Imaging studies may complement the history, physical examination and laboratory testing in the diagnosis of giant cell arteritis:
- Duplex ultrasound – duplex ultrasound may show the typical ‘halo sign’ in the examination of the temporal arteries. A retrospective analysis of 77 subjects showed that the duplex halo sign was specific but not sensitive for giant cell arteritis. An older, smaller series examining 32 people with suspected giant cell arteritis compared duplex halo sign to biopsy results. The sensitivity and specificity were high.

- Aortic arch disease and specifically aortic aneurysms may be diagnosed with a plain chest radiograph.
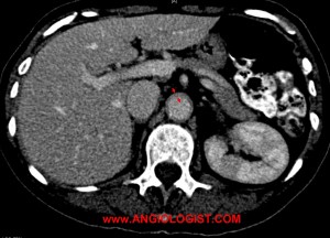
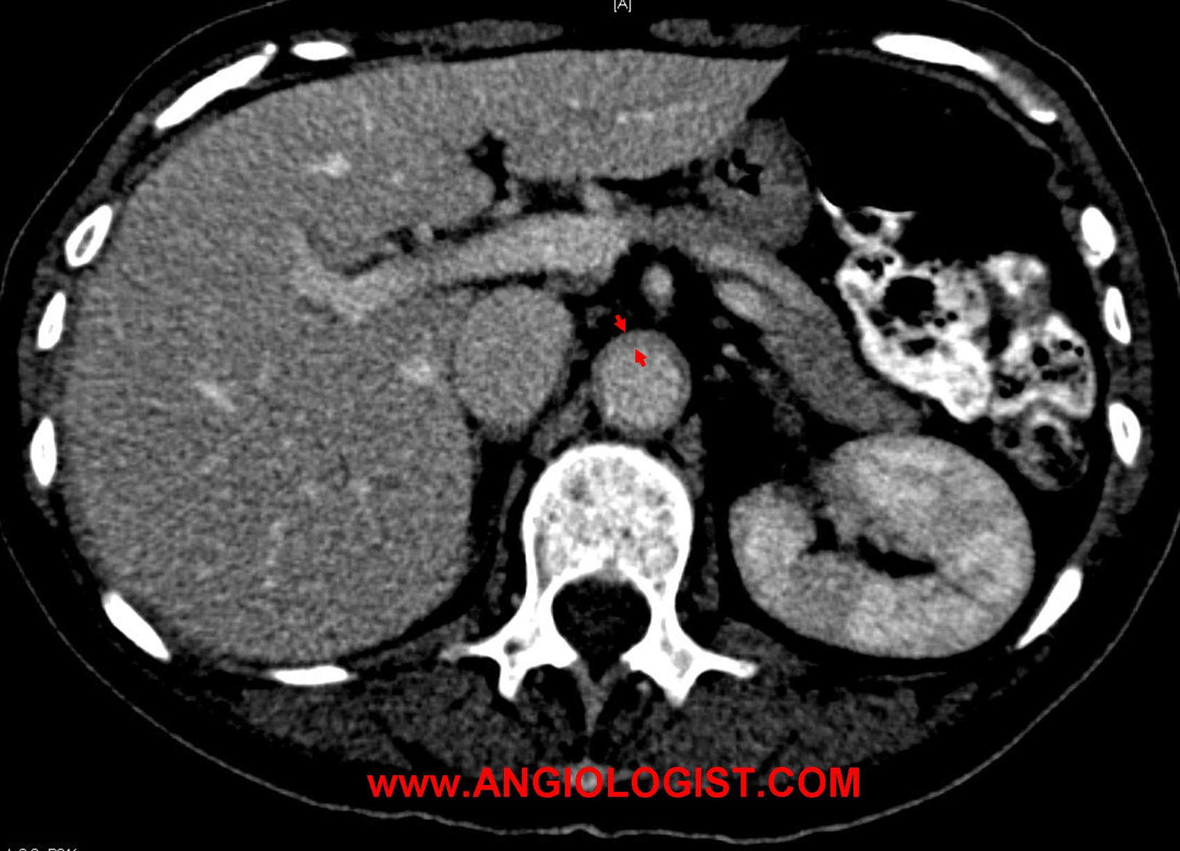
- Computed tomography – CT with contrast can be useful both for the diagnosis of arterial inflammation and for the diagnosis of possible vascular complications of giant cell arteritis.


- MRI – MR angiography is useful for the diagnosis of arterial inflammation and also for showing vascular complications.
- PET CT – The advantage of PET CT as compared to the other methods of imaging that have been listed above is that demonstrates metabolic activity. PET CT can reveal large artery involvement in a patient with fever of unknown origin or be used for surveillance of disease activity in patients with known giant cell arteritis.
Treatment of giant cell arteritis
Treatment is classically based on glucocorticoids. High dose steroids are given to patients who are diagnosed with giant cell arteritis. A typical starting dose is 40-60 mg per day. Steroids are given in tapering doses for a long period (typically 1-2 years). Treatment is guided by symptoms as laboratory measures are often a poor correlate for disease activity. IL-6 has a better correlation with disease activity compared to ESR or CRP. It is also a target for tailored therapies. Some patients experience periods of remission and flares. In a randomized trial, tocilizumab showed superiority over placebo. Patients had a longer steroid free remission. Use of other steroid sparing medications (e.g., methotrexate) was less successful. Trials of other targeted therapies are ongoing. The goal is to achieve sustained steroid-free remission.
As I wrote above, aneurysms can be a complication of the inflammatory process. Surgical resection of these aneurysms has been described with good overall results. The aneurysms may be a remnant of past disease or present during active phases. If the disease is active, surgery should be postponed, if possible, until the inflammation cools off. Anti-inflammatory medication is sometimes added after surgery The timing of this treatment after surgery is unclear, as early treatment may interfere with healing, while late treatment may expose patients to further complications.
Read more:
- GCA and Polymyalgia Rhematica. Lancet. 2008.
