Paget Schroetter Syndrome is a type of thoracic outlet syndrome. It is neither positional nor secondary to indwelling catheters. Paget Schroetter is deep vein thrombosis related to effort. Therefore, Paget Schroetter syndrome is also called ‘effort related thrombosis of the subclavian vein’. Despite the relative rarity of Paget Schroetter syndrome, it has drawn quite a bit of attention in the literature and although most information regarding this disorder is limited to ‘expert opinions’ and ‘case-series’, there are many of those to read… We therefore attempted to summarize the clinically relevant, ‘down and dirty’ information that may serve to diagnose this disorder properly.

Mechanism of Paget Schroetter
The blood vessels leaving the chest into the arm traverse through the thoracic outlet. The subclavian vein (later turning into the axillary vein) passes between the scalene muscle, the first rib and the clavicle. If the scalene muscle hypertrophies, the subclavian vein may become compressed between the rib (which is in front of it), the muscle (behind it) and the clavicle (above it).

Another option is for a person to have a small anatomical space between a normal scalene muscle and the first rib. In this case, compression of the subclavian vein is possible even without much hypertorphy of the scalene. Of note is that a cervical rib, which is a posterior structure, is not part of the mechanism for Paget Schroetter and is not a risk factor for subclavian vein thrombosis. Furthermore, the role of hypercoagulable states is a matter of debate, as reports vary.
Clinical manifestations of Paget Schroetter
Paget Schroetter manifests as a blue, swollen, heavy and painful arm. Onset is usually sudden. The typical patient is a male in his 30s. The right side is more commonly affected than the left, probably because more people are right handed.
A history of rigorous exercise is commonly encountered. Another typical history that is elicited is of overhead work (such as auto-repair or painting). Some patients report past episodes of hand swelling that has subsided or even of intermittent tight fitting gloves. Physical examination of patients with Paget Schroetter syndrome often demonstrates collaterals around the shoulders. These are called sentinel veins. They are also called ‘Urschel sign’.
Paget Schroetter is not a benign condition. A complication of Paget Schroetter that has been described in early series of patients that were treated without surgery was 12% pulmonary emboli. Even without immediate complications, many patients do not regain functionality despite best treatment (see below) and residual symptoms or the need for repeat treatment are common.
Diagnosis of Paget Schroetter
Paget Schroetter syndrome is diagnosed by combining the typical history with a physical examination and utilizing imaging studies appropriately. The history has been detailed above in the ‘Clinical manifestations’ section. The physical examination echoes the history, demonstrating a swollen, red-purple upper extremity, with prominent collaterals around the shoulder. Pulses should be palpated and are preserved. If the pulses are not preserved, a different diagnosis than Paget Schroetter needs to be entertained. Otherwise, cerulea dolens needs to be ruled out (elevated venous pressure compressing the arterial flow). Thoracic outlet maneuvers may be performed and are usually positive.
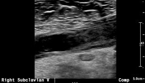
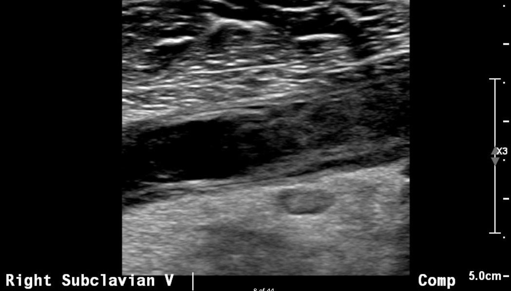
When a patient presents with an acute clot, imaging is usually done with duplex ultrasound. It is a highly sensitive test in experienced hands. Acutely, you will find a subclavian vein thrombus that will often extend to the axillary vein:

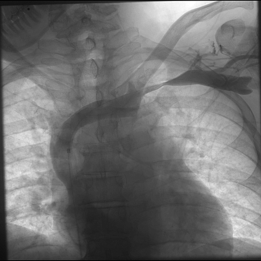
Venography is recommended in two instances. First, if the diagnosis is suspected, but proof was not obtained otherwise. For instance, when the duplex is inconclusive. The second use for venography, of course, is during a procedure. Venography often reveals venous collaterals, suggesting chronic sub-total compressions have been present. Furthermore, venography can be performed when the hand is in the neutral position or abducted. If extrinsic compression is visible, that suggests Paget Schroetter. Surprisingly CT and MR are not well suited imaging modalities for diagnosing Paget Schroetter, despite their obvious capabilities in diagnosing clot per se.

Treatment of Paget Schroetter
Despite many years of cumulative experience, and consensus that Paget Schroetter must be treated to avoid long term morbidity, the treatment of of this disorder is still debated. Treatment options include anticoagulation, thrombolysis, other endovascular procedures and surgery.
Anticoagulation
Treatment with anticoagulation alone does not help many patients with Paget Schroetter, and thus other approaches have been used for decades. Catheter directed thrombolysis of the clot, with or without surgery is currently commonly utilized as treatment. As early thrombus which is soft and non-adherent turns to more fibrotic and adherent clot within weeks, if invasive treatment is chosen, it should probably be offered earlier, more than later.

Thrombolysis
Several series show that early treatment with thrombolysis has better success rates than later treatment. Obviously, I mean local, catheter directed, thrombolysis. However, without complimentary treatment recurrence rates are high, as shown in a prospectively collected cohort treated by either thrombolysis and surgery or thrombolysis alone. In this cohort recurrence was especially high in young patients who did not have surgery (23%), while surgical treatment achieved a high long-term success rate (93%). However, there is another way to look at the same data. Many of the patients who received thrombolysis alone did well in the long-term.
Another interesting point in this series was that continued participation in athletic activity did not raise the chance for recurrence. Therefore, some would actually opt to offer patients the option of thrombolysis and expectant management after that. Having said that, complementary treatment to thrombolysis for Paget Schroetter is surgery.
Many claim that stents are not suitable for the thoracic outlet becuase of elevated compression forces they would need to withstand, and therefore the high risk of stent failure and fracture. Those opposed to surgery state the risks involved and the unknown added benefit.
Surgical Treatment
Surgery for treatment of Paget Schroetter is advocated as it serves to eliminate the cause for the clot to have been formed in the first place. A common surgical technique is first rib resection. This is not benign surgery as the anatomical space in which the resection is performed is small and full of vital structures (such as lung tissue and long thoracic nerve).
Timing of the surgery is a matter of debate. One option is immediate surgery following successful thrombolysis, while another approach is to wait 3 months. The logic in waiting is that thormbolysis may result in residual endothelial damage that takes time to heal. The problem with waiting is that re-thrombosis may occur while surgery is postponed. A report of 50 year’s of a single center experience with over 600 cases of Paget Schroetter was published by Urschel and colleagues. They also concluded that surgery was the best option and that it should be offered immediately after thrombolysis. Though excellent clinical results were reported by this group, they did not report operative complications and one needs to remember that such impressive experience with the disorder is not the norm. A ‘regular’ patient with Paget Schroetter does not usually receive treatment by people who are that experienced with the disorder.
Beyond the acute phase
Treatment of Paget Schroetter does not end with the procedures mentioned above. Further treatment considerations should include long-term anticoagulation and repeat endovascular intervention, especially if residual vascular damage is detected. Though anecdotal, there are reports of vascular reconstruction procedures that have been used to treat severely damaged veins. The duration of anticoagulation is also not something that has been proven, but after the offensive insult has been removed temporary treatment with anticoagulation should probably suffice. Extrapolating from provoked deep vein thrombosis 3-6 months of anticoagulation are usually chosen. Surveillance with duplex ultrasound may also serve to guide treatment duration, although this is more ‘common sense’ than ‘evidence based’. Once the lesions have been fully treated patients may return to activity. Physiotherapy may have a role in rehabilitation.
Another issue that often comes up when deciding how to treat patients with Paget Schroetter is whether or not to look at the contralateral side to the event side. Early series showed that as many as 61% will have bilateral symptoms. However, provocative maneuvers are often positive in patients with no symptoms at all. Therefore, it is not recommended to examine the other side if there are no symptoms (although in the name of fairness it should be noted that there are some, although not many, who do offer bilateral treatment).
Read more
- Review of Paget Schroetter. J Vasc Surg. 2010.
- 50 years experience with Paget Schroetter. Urschel et al. Annals of Thoracic Surgery. 2008.
Dr. Weinberg is the founder and Editor In-Chief of Angiologist.com. He is a Vascular Medicine physician at Hadassah Hebrew University Medical Center, Associate Professor of Medicine at Harvard Medical School and Past President of the Society for Vascular Medicine.
