Here we go again. Four years have come and gone and the London Olympics are about to kick off in a few short hours. The 2012 London Olympics will bring together athletes from all over the world to compete. Some will leave with a bag full of medals and the adulation of their countrymen, while others will have to satisfy themselves with memories of the once-in-a-lifetime experience. But the various competitors do share a common bond. They are young, healthy people who demonstrate the absolute peak of human physical performance. So why am I writing about the London Olympics on a website dedicated to Vascular Medicine? What relationship could there be between these elite athletes and vascular disease? Well, as it turns out, there are various vascular diseases that have a unique predilection for athletes. So keep these disorders in mind as you enjoy the Games.
Cyclist artery disease
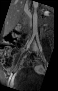
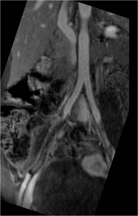
Cycling for prolonged periods of time exerts pressure and tension on the external iliac artery. Rarely, this repetitive trauma causes fibrosis of the external iliac artery that results in narrowing of the artery. This is known as cyclist artery disease, but has been described in other top athletes such as long distance runners and triathletes. Affected athletes can develop claudication and reduced exercise capacity.

Treatment for external iliac artery endofibrosis can be catheter and balloon-based, but more extensive data exists regarding the durability of surgical bypass for these lesions.
Popliteal artery entrapment syndrome
There are various situations in which the popliteal artery is compressed by muscle fibers crossing over it. This results in popliteal artery entrapment syndrome. The compression may result in leg pain that is very similar to intermittent claudication from atherosclerotic peripheral artery disease. The main difference is that popliteal artery entrapment occurs in young, often healthy, individuals. The typical story is of a young athlete who develops calf pain while exercising. If left untreated, the popliteal artery accumulates damage and eventually may thrombose. This can result in acute limb ischemia. If properly diagnosed, surgical treatment can serve to relieve the compression.
Venous thromboembolism in top level athletes
Being a top level athlete does not guarantee protection from venous thromboembolism. Serena Williams, all-time tennis great and sister of Venus Williams, suffered a well publicized deep vein thrombosis (DVT) of a leg vein. She was actually flying back and forth on private flights between training and treatment for an injury when she developed the DVT. Serena unfortunately was at increased risk of this because she both had a leg injury, with possible venous trauma, as well as the prolonged immobility of multiple plane flights. While flying is mainly related to deep vein thrombosis when people remain immobile for the flight’s duration, it could very well be that the injury and treatment also contributed to Serena’s clot formation. In any case, it is safe to say that even top athletes are not completely spared from this very common vascular disease.
We have previously written about vascular problems that can occur in the Super-bowl. The London Olympics are also a surprising, perhaps, but not impossible place to find some unique vascular problems. Good luck to teams USA and Israel!
Dr. Weinberg is the founder and Editor In-Chief of Angiologist.com. He is a Vascular Medicine physician at Hadassah Hebrew University Medical Center, Associate Professor of Medicine at Harvard Medical School and Past President of the Society for Vascular Medicine.
