Leg pain when walking is common. The most common vascular reason is peripheral artery disease (PAD). This leg pain is called intermittent claudication. But, many causes of leg pain when walking are not vascular. Figuring out the cause is not always simple.
6 Causes for Leg Pain when Walking that are NOT vascular
Leg pain with walking does not always mean an arterial problem. Sometimes the pain is so similar that it is hard to know. Here are a few examples (To learn more about these reasons, read about claudication with normal ABI):
- Spinal stenosis – A narrow spinal canal is called spinal stenosis. The narrowing can pinch the nerves going to the legs. When you try to walk, you might have pain in your buttocks or even in your calves. Typically, people with spinal stenosis have leg pain when standing and walking.
- Pinched nerve – A pinched nerve in the lower back is called Sciatica. The pain from this pinch is called sciatic pain or radicular pain. This kind of pain can run down the legs, all the way to the calves. Pain from a pinched nerve can cause limited walking. Usually, there is also pain sitting down or laying down. It is sometimes hard to find a comfortable position.
- Arthritis – Arthritis in the hips or in the knees can make walking difficult.
- Muscle tightness – In elderly patients hamstring tightness is an often neglected cause of leg pain.
- Muscle pain – This is different than tight muscles. There are many reasons for muscle pain that are not tightness. Muscular disease such as secondary to medication (statins), inflammation or chronic compartment syndrome may cause leg pain when walking.
- Nerve pain – Peripheral neuropathy is common in certain populations such as diabetics.
When to Suspect Leg Pain when Walking that is NOT vascular?
Leg pain from artery blockages usually happens in people who are older than 50. These patients could have blockages elsewhere. For instance in the neck arteries, heart arteries or kidney arteries (this is called renal artery stenosis).
Also, patients who have leg pain from walking because of blocked arteries, usually have risk factors. For instance, they will have hypertension, or hypercholesterolemia. Many will be smokers or ex-smokers.
If a person does not fit this bill, then think about causes that are different than blocked arteries.
6 Vascular Causes of Leg Pain with Walking
7. Peripheral artery disease
Peripheral artery disease is by far the most common vascular cause for leg pain when walking. The most typical complaint will be calf pain when walking. But, there are several other vascular causes of leg pain with walking. They are far less common, but important to know:
8. Popliteal artery entrapment
Popliteal artery entrapment is a rare cause of leg pain with walking. It should be suspected in young people that present with claudication. As these patients are young, the leg pain may only happen upon extreme exertion. Sometimes the standard treadmill testing is inappropriate for these patients. They should be tested in an environment that will surface their symptoms. In popliteal entrapment the blood flow is cut in the popliteal artery during plantar flexion of the foot. This causes leg pain when walking because of recurrent flexion. If this is not treated on time, chronic arterial stenosis or occlusion may result. Post-stenotic dilatation may result in popliteal artery aneurysms.
The diagnosis of popliteal artery entrapment is made by imaging with maneuvers. A bed-side Doppler can be used. A normal popliteal Doppler signal in dorsi-flexion that disappears with active plantar-flexion should raise the suspicion for the diagnosis. A final diagnosis can be made with CT or MRI that are repeated with the maneuvers. The gold-standard is arteriography. A cut-off in the popliteal artery confirms the diagnosis.
Treatment of popliteal entrapment is surgical. It involves excision of the tendon that is causing the compression.
9. Cystic adventitial disease
Cystic adventitial disease is rare. In cystic adventitial disease sacs of mucoid material form around arteries. The most common site for this is the popliteal artery. These sacs connect the artery and the knee joint. The sacs of fluid cause compression on the artery and leg pain when walking.
Cystic adventitial disease happens mainly in men. It is most common in the 5th and 6th decade of life. The leg pain starts with walking and passes when walking stops. However, it is different than claudication. Classic leg pain in cystic adventitial disease takes about 20 minutes to pass. The reason for this is unclear, but may be because it may take time for the swollen mucoid sac to contract. Also, symptoms may wax and wane and disappear altogether for as long as several months, just to reappear later.
The diagnosis of cystic adventitial disease is suspected when pedal pulses disappear with knee flexion. Further diagnosis is made by imaging. MRI is probably the most sensitive method for the diagnosis of the sacs. It can assess the soft tissue and help in the differential diagnosis of soft tissue masses and compression. CT and duplex may also be useful for making the diagnosis. Arteriography is not a good way to make the diagnosis. This is because from the inside, the artery just looks like it has stenosis.
Treatment of cystic adventitial disease relies on relieving the pressure on the artery. This can be done by aspirating the fluid from the cysts or by bypassing the diseased portion of the artery. Recurrence of cystic adventitial disease is possible, so surveillance is recommended. Commonly vascular ultrasound is used.
10. Fibromuscular dysplasia
Fibromuscular dysplasia is a complex disease and the medical field is still learning about it. It is most common in women. Fibromuscular dysplasia is most common in the renal arteries and the carotid arteries. However, fibromuscular dysplasia can manifest in other arteries in the body including the leg arteries. The most common type is the medial fibroplasia. The most common presentation on imaging is a “string of beads”. The same cords that cause renal artery stenosis in fibromuscular dysplasia, can also cause pain with walking.
There is not much data regarding treatment of fibromuscular dysplasia in the leg arteries. Most would suggest that balloon angioplasty should be tried, because it is known to be successful in other affected arteries, such as the renal arteries.
11. Iliac Artery Endofibrosis
Iliac artery endofibrosis is a rare cause of leg pain with exertion. It is most typical with cyclists. It can occur in other athletes such as runners. The most common location is the external iliac artery. Treatment is surgical.
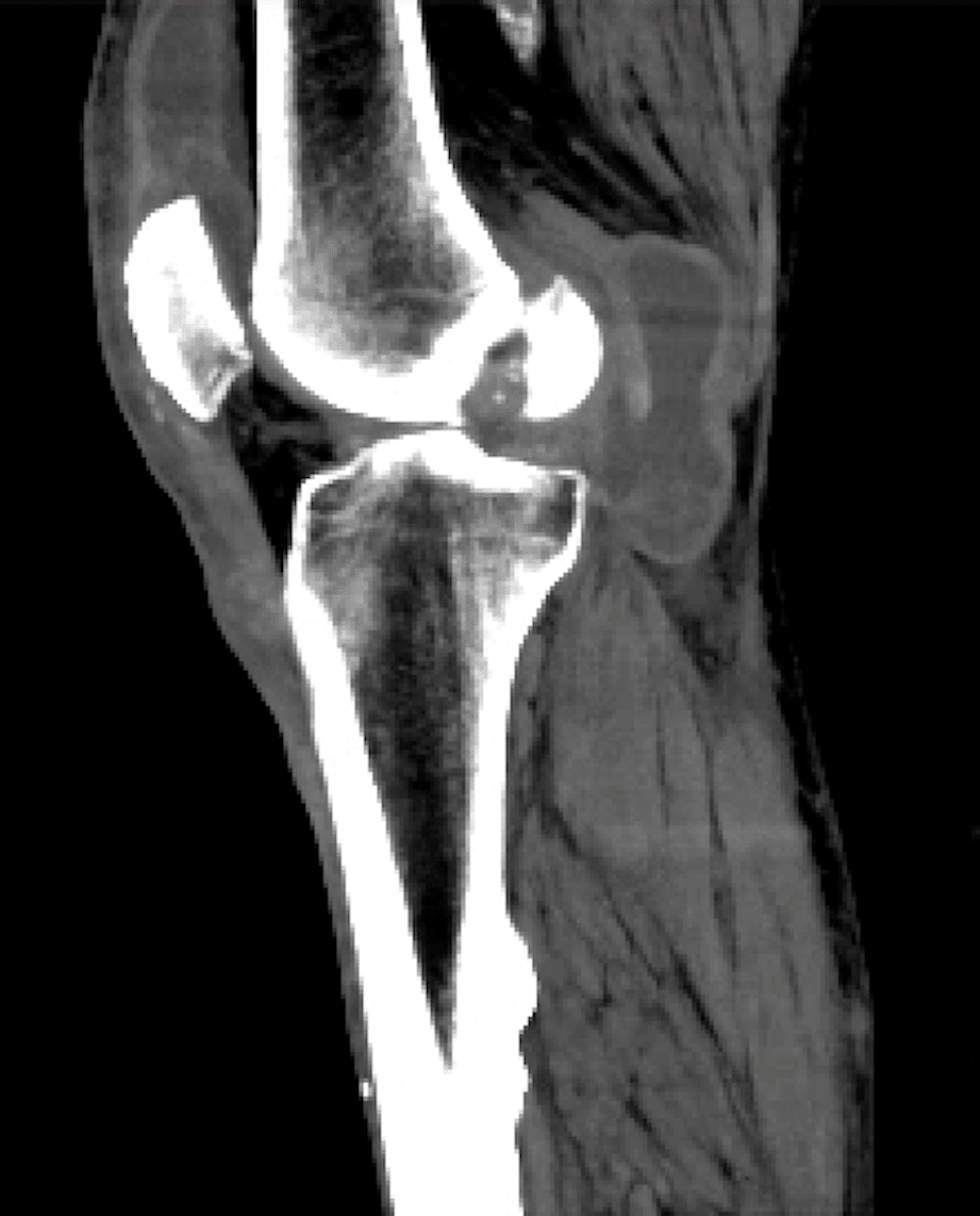
12. Baker’s cyst compression of the popliteal artery
A Baker’s cyst is an accumulation of joint fluid from the knee. It accumulates behind the knee. Baker’s cyst may rupture and form a fluid sac that can be found behind the knee, in the popliteal fossa. Sometimes a Baker’s cyst may compress the popliteal artery. Such compression can cause leg pain when walking in a similar mechanism to entrapment. The diagnosis is usually made with duplex ultrasound. MRI can also aid in the diagnosis by showing the cyst compressing the artery. Treatment involves aspirating the Baker’s cyst.

Tests to Diagnose Leg Pain with Walking
Testing depends on the suspected cause. If plaque buildup is suspected, then blood pressure measurements are the first step. This is called ABI. Another similar test is called PVR’s and segmental pressures.
If the back is the suspect, then back imaging should be the first step. Examples of tests to look at the back include a CT and an MRI.
Another way to figure out the cause is to try treatment. If the treatment works, that can hint to the cause. For example, muscle tightness can cause leg pain from walking in elderly people. If stretching exercises help, that means the cause was muscle tightness.
Treatment
Treatment depends on the cause. The treatment of peripheral artery disease is different than the treatment of all the non-vascular causes. Also, the treatment is different for many of the rare causes for leg pain with walking. For instance, the treatment for popliteal artery entrapment will be surgical, but the treatment for a fibromuscular dysplasia is not.

