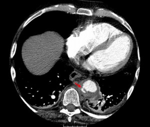
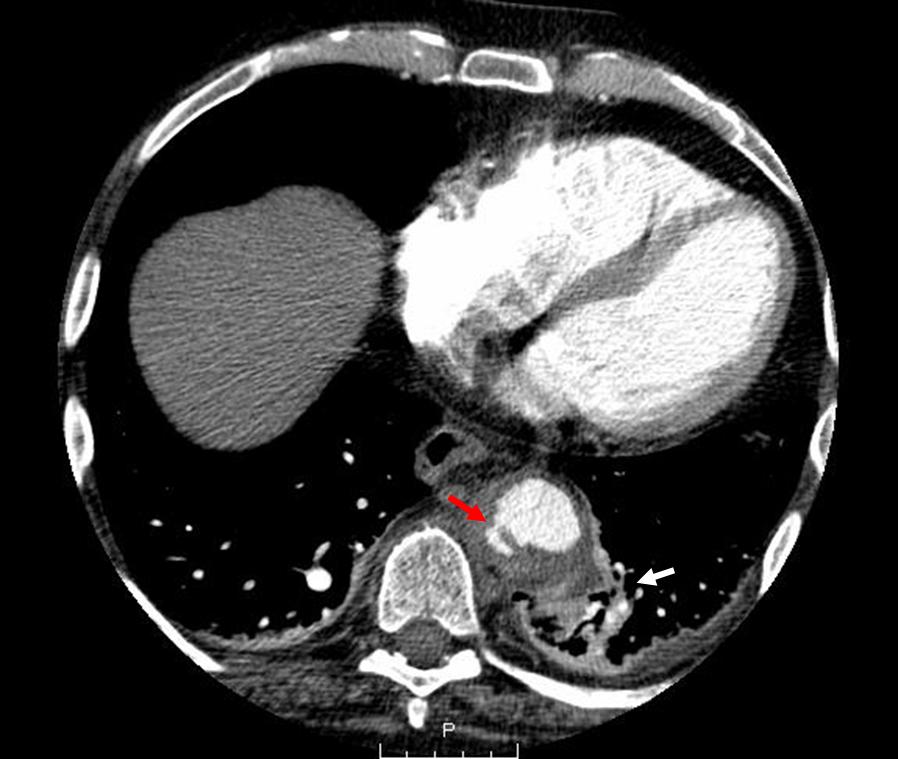
Acute aortic syndromes are a spectrum. They obviously include aortic dissection. But they also include penetrating aortic ulcer and intramural hematoma. The difference depends on which layers of the artery are disrupted. Obviously, intramural hematoma means there is collection of blood within the media.
We divide intramural hematoma depending on their location. This is because, just like in real-estate, it is all about location. They may be in the ascending aorta (type A) or the descending aorta (type B).

Diagnosis and Imaging
Diagnosis requires proper imaging (most often CT angiography). However, sometimes this finding may be suspected on chest radiographs showing a widening of the mediastinum.
CT is the most common study to make the diagnosis. They are usually found incidentally. The CT should be performed without contrast and then with contrast. Intramural hematoma can actually be better visualized without contrast as blood is bright when the bleeding is acute. On the contrast exam, the hematoma may blend into the wall and seem like an atherosclerotic process.

Natural History
The natural history is progression of aortic diameter (i.e. progression of aneurysmal changes in the aorta), progression to aortic dissection and rupture. Sometimes patients with progress to sudden rupture (without progressive aortic enlargement or dissection) and present with “sudden death”. In a study of 66 patients presenting with intramural hematoma over a period of 6 years, 59% progressed over 30 days and less than 20% survived after 5 years, regardless of treatment. Proximal (type A) hematoma had earlier progression. Another study compared the long-term prognosis of 53 patients with type B intramural hematoma to that of 57 patients with type B aortic dissection. At 1 year only 4% (2 patients) with intramural hematoma needed an operation due to progression, while 27% of the aortic dissection patients needed repair. Survival at 5 years was 97% for hematoma patients but only 79% in the dissection group. Many of the hematoma resolved at the end of follow-up. A similar study examined the outcome of patients with type A intramural hematoma, comparing them to patients with aortic dissection. In this series of 101 patients, 16 needed urgent surgery because of hemodynamic instability, two of which died. Of the remaining 85, 6 patients died while another 17 needed later surgery. Predictors of clinical events were larger aortic diameter or hematoma thickness. Both studies showed that although most patients with intramural hematoma progress during the first 30 days (if they progress), later progression is possible. Patients and clinicians should be aware of even vague chest or back discomfort.
Treatment of Intramural Hematoma
Treatment options include pharmacologic measures (beta blockers), endovascular exclusion and surgical evacuation. Preliminary treatment is usually performed in an intensive care unit, as these patients most often present with symptoms mimicking dissection. This is done until progression has been ruled out.
Medical treatment consists of blood pressure lowering. The first medication to choose would be a beta-blocker because of it’s shear-force reducing effects. If a target blood pressure of 100-120 mmHg is not reached in this way, other medications need to be added.
Indications for invasive therapy are progressive size, symptoms of pain or progression of dissection. Some ascending aortic intramural hematoma present with pericardial effusions or tamponade that need to be evacuated. Hemodynamic instability is of course an acute indication.
The type of invasive procedure depends on size and location. A proximal (ascending, type A) hematoma often requires replacement of the aortic root with a graft. A type B intramural hematoma can often be repaired with a stent-graft.
Dr. Weinberg is the founder and Editor In-Chief of Angiologist.com. He is a Vascular Medicine physician at Hadassah Hebrew University Medical Center, Associate Professor of Medicine at Harvard Medical School and Past President of the Society for Vascular Medicine.
