Inferior vena cava filters in cancer patients are a double edged sword. On the one hand, cancer patients are at an increased risk for both pulmonary embolism and deep vein thrombosis. Also, they suffer from more bleeding complications of anticoagulation compared to non-cancer patients. These facts make inferior vena cava filters appealing. But on the other hand cancer patients have a high rate of filter-related complications.

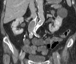
Indications for inferior vena cava filters in cancer patients
Indications in cancer patients do not differ than those in patients who do not have cancer. But, there are some differences in the way the indications are divided. First, cancer is a hypercoagulable state. In fact, cancer patients have a greater tendency for anticoagulation failure. Second, cancer patients have an increased risk for bleeding complications from anticoagulation as compared with patients without cancer. For this reason, anticoagulation is often withheld and an IVC filter is considered. A third unique characteristic is cancer patients’ prognosis. As some of these patients are terminally ill, IVC filters in cancer patients are often permanent from a practical standpoint. In statistical terms, non-VTE death is a competing risk for IVC filter related complications in these patients.
Guidelines such as the French guidelines have been published regarding inferior vena cava filters in cancer patients. These did not add to the indications for IVC filters. It has been pointed out that once applicable, anticoagulation should be administered even after a filter has been inserted. Retrievable filters may be preferred to permanent ones. Some of the data that was used to formulate these recommendations is outlined below.
Outcomes
In the 8 year follow-up of the PREPIC study, cancer was an independent predictor of IVC filter-related venous thromboembolism.
Several retrospective series have analyzed patients with cancer in particular. One analysis of 116 cancer patients that received inferior vena cava filters for various reasons over 8 years found that patients had poor prognosis with the filters or without them. Many of these patients had advanced cancer. Accordingly, a retrospective comparison of 206 cancer patients with venous thromboembolism who could be treated with anticoagulation or needed an inferior vena cava filter revealed that the need for a filter was a poor prognostic sign.
Several studies pointed to the contrary. These studies actually showed a survival benefit for cancer patients who received IVC filters and specifically reduced pulmonary embolism related death. A retrospective analysis of 308 cancer patients who received inferior vena cava filters revealed pulmonary embolism as the cause of death in only 4. There was no increase in the risk of thrombotic complications. The authors concluded that the filters were responsible for reducing the occurrence of pulmonary embolism. Patients who had a combination of deep vein thrombosis and bleeding had a poorer prognosis. Another study reviewed 1739 IVC filters over 26 years. Cancer was present in 926 patients. While 30 day mortality was over 80% in patients with and without cancer, long-term survival was markedly decreased (168 vs. 2064 days). Another study showed that among 99 patients with cancer and pulmonary embolism, there may have been a benefit for inferior vena cava filters in some. Interestingly sicker patients with more thromboembolic events benefited more. Again, mean survival was low. Another study was different. 30 cancer patients received inferior vena cava filters for various indications. These patients actually survived for many months. A cost-effectiveness analysis was in favor of filters for appropriate indications in this study. These studies did not compare patients with and without filters.
A claims based analysis examined over 88,000 patients with cancer and acute DVT. The authors stratified patients according to bleeding risk. They showed that PE-related death was lower when an inferior vena cava filter was utilized. This was true across multiple cancer categories. The authors concluded that filters in cancer patients are reasonable in the presence of acute DVT and bleeding risk.
Dr. Weinberg is the founder and Editor In-Chief of Angiologist.com. He is a Vascular Medicine physician at Hadassah Hebrew University Medical Center, Associate Professor of Medicine at Harvard Medical School and Past President of the Society for Vascular Medicine.
