A free floating deep vein thrombosis is a deep vein thrombus that is seen moving on real time ultrasonography. In theory, this may post a higher risk of embolization. But should treatment be different for a free floating deep vein thrombosis than for a stationary DVT?
Treatment of any deep vein thrombosis (DVT) is meant to achieve three things:
- Prevent embolization to pulmonary embolism (PE).
- Prevent (hopefully) the development of post-thrombotic symptoms.
- Prevent clot extension and allow the body to clear the current acute clot.
Indeed, basic treatment goals remain the same when a free floating deep vein thrombosis is identified. However, many doctors believe more needs to be done. What do the data say?
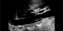
What is a free floating DVT?
A free floating DVT is a deep vein thrombosis that is noted to be mobile during the ultrasound scan. Here is a video of a free floating DVT:
As acute DVT are not always adherent to the vein wall risk of embolization is greatest at that time. Free floating deep vein thrombi are visibly not adherent and often flap as blood flows across them.
Why Treat Free floating Deep Vein Thrombosis Differently?
The most dreaded complication of deep vein thrombosis is embolization to pulmonary embolism. The risk of embolization in proximal acute DVT that are not treated with anticoagulation is as high as 40% during the first month. Risk is greatest during the first 3 months. Later, DVT tend to adhere to the vein wall.
In theory, free floating DVT pose an even greater risk for embolization. Their mobile nature seems to be in-line with pre-embolization. Furthermore, any seasoned vascular technician will tell you about patients in whom they noticed a free floating DVT during a scan, and when they came back at the end of the scan to document it again, it was gone (and presumably embolized to the lungs).
Free Floating Deep Vein Thrombosis Treatment Options
In theory free floating DVT could be treated differently in several ways:
- IVC filter placement in order to catch any embolized clot material before it reaches the lungs
- Mechanical extraction (endovascular or open)
- Lysis in order to dissolve the clot so that it does not embolize
- Prescribing bed-rest. The modern approach to deep vein thrombosis is to allow patients to be mobile once they are anticoagulated. This actually makes sense as immobility is a risk factor for further clotting (and for other medical issues). In the past patients used to be urged to remain in bed as embolization was feared. This turned out not to be supported by data. Perhaps when a free floating DVT is diagnosed, the approach should be different?
Some Data on Free Floating DVT
Perhaps surprisingly, the literature does not support treating free floating DVT any differently than other, seemingly static, deep vein thrombosis. As mentioned above, this should make sense once one realizes that any acute DVT is not adherent to the vein wall at first.
While data about free floating thrombi are limited, what does exist does not support different outcomes. A small study published in 1990 showed that only 13% of free-floating DVT embolized to result in clinically significant pulmonary embolism. Similar results were found in 95 patients with DVT, 62 of which were free-floating. Not only that, but an analysis of RIETE data showed that thrombolysis in patients with sub-massive PE (which is debatable in it of itself) may be associated with worse outcomes when free floating DVT were present.
Dr. Weinberg is the founder and Editor In-Chief of Angiologist.com. He is a Vascular Medicine physician at Hadassah Hebrew University Medical Center, Associate Professor of Medicine at Harvard Medical School and Past President of the Society for Vascular Medicine.
