The superficial femoral artery is commonly affected in patients presenting with intermittent claudication and critical limb ischemia. Patients with chronic total occlusion of the superficial femoral artery present a unique challenge for the peripheral interventionalist.
Clinical Vignette
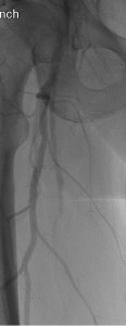
A 57-year-old diabetic man with a history of left femoral-popliteal bypass grafting presents with progressive right leg claudication. His symptoms began 5 years ago and were characterized by exertional right calf pain and bluish discoloration of the first and third digits. As he had initially presented years prior with similar symptoms in the left leg, there was concern for atheroembolism resulting in acute limb ischemia. Urgent angiography at that time revealed an occlusion of the right superficial femoral artery with collaterals and reconstitution at the adductor canal above the knee.

There was a patent popliteal artery and three-vessel runoff to the foot. The patient was started on aspirin, clopidogrel and cilostazol and was initially very pleased with his level of function on medical therapy. However, he eventually developed progressive intermittent claudication in the right leg and the decision was made to pursue endovascular revascularization.
Plan Your Approach – Access Site
The contralateral femoral artery is the usual route of access when the antegrade approach is chosen. An ipsilateral femoral artery approach can be used in settings where the iliac anatomy is unfavorable:
- Excessive iliac tortuosity
- Obstructive iliac disease
- Severely angulated aorto-iliac bifurcations
Additionally, by removing “dead space” (eg the aorto-iliac segment), an ipsilateral antegrade approach often augments device support and deliverability substantially which may be advantageous during attempts at crossing lengthy, calcified superficial femoral artery occlusions. However, this approach requires sufficient working space in the femoral and proximal superficial femoral arteries for sheath placement- it cannot be used for ostial or very proximal SFA lesions. Though transradial catheterization is also an option, this is rarely used since most equipment is not long enough to reach superficial femoral artery lesions.
Popliteal or pedal access may be considered, generally after attempts at antegrade crossing have failed. Pedal access requires knowledge of the distal runoff anatomy and provides less support that popliteal access. For retrograde access, popliteal and dorsalis pedis arteries are most commonly cannulated. A 0.014-inch wire may be snared and exteriorized from the contralateral femoral and the intervention proceeds in an antegrade fashion. Popliteal access is an option only if the distal reconstitution of the SFA occlusion is significantly proximal enough to allow for popliteal sheath placement.
Lesion Crossing
Conventional Methods
Once access has been gained and the sheath advanced as close as possible to the occlusion, choice of wire becomes the next major decision point. Though a variety of wires can be used in the occluded superficial femoral artery, we often start with a 0.035 stiff angled hydrophilic wire with marker support catheter. This versatile system can be used to probe and engage the SFA cap. In most cases, it is impossible to cross a long SFA chronic total occlusion and remain in the true lumen. In this case, a short (<10 cm) “J-loop” is formed on the angled hydrophilic wire and used to create a subintimal channel across the SFA occlusion. At the site of distal reconstitution, the angled wire can be often manipulated to re-enter the true lumen. If re-entry with the wire is unsuccessful, then a reentry device is required.
Crossing Devices
Using a simple wire and catheter combination to gain access to the true lumen either outright or after subintimal dissection has favorable results in up to 80% of cases. However, a crossing device is needed in unsuccessful cases. When a heavily calcified lesion is present and distal re-entry is likely to be fraught with difficulty, it may be preferable to use a crossing device that facilitates primary access to the true lumen. Notably, there have not been any trials to date comparing these devices to conventional guidewire techniques.
- The Crosser (Bard, Tempe, AZ) has a vibrating stainless steel tip and can be deployed with or without a guidewire (0.018-inch for SFA) in up to 154 cm working lengths. A support catheter is obligatory to prevent kinking and cold saline irrigation is used to avoid overheating.
- The Wildcat (Avinger, Redwood City, CA) is a 0.035-inch hydrophilic catheter with deployable, rotating wedge tips designed to channel through occlusions by hand or motorized torquing. Both active (wedges out) and passive (wedges in) modes can be used depending on the desired aggressiveness of penetration and the device should be withdrawn and redirected if the tip goes subintimal.
Re-entry Devices
Once committed to subintimal dissection and distal re-entry, one of the devices listed below may be needed. Both have been widely available for almost a decade.
- The Outback (Cordis, Bridgewater, NJ) is a 6F catheter that tracks over a 0.014-inch guidewire and deploys a 22-gauge nitinol curved needle to puncture the true lumen from a dissection plane under fluoroscopic guidance. In a recent retrospective review of 52 cases using the Outback in SFA CTO with a mean lesion length of 17.6 cm, 64.5% success was achieved, with moderate to severe calcification at the re-entry site the only significant predictor of failure. The investigators noted an almost 60% failure rate on initial use of the device by individual operators, suggesting an important learning curve. There were no bleeding complications in the study, though three angiographic arteriovenous fistulae and one pseudoaneurysm were described.
- The Pioneer (Medtronic, Santa Rosa, CA) is a catheter very similar in design to the Outback, though with an integrated 20 MHz IVUS transducer used to guide the needle into the true lumen. A case series of 25 patients with SFA CTO (mean lesion length 12.7 cm) reported 100% success with no significant complications. Larger registries and trials are currently lacking for this device.
Back to the Patient
Noting both significant lesion length (~18 cm) and ostial location without calcification in our patient, we anticipated that a re-entry device might be successful (if necessary) and proceeded with antegrade probing of the CTO using an 0.035-inch angled Glidewire (Terumo, Somerset, NJ) and Seeker catheter (Bard, Tempe, AZ). As the wire could not be tracked in a straight line, we formed a loop and gently dissected subintimally to just above the knee, at which point we were able to maneuver into the reconstituted SFA.

A single 20-cm length self expanding stent was placed and post-dilated with a good result. Though a re-entry device was readily available, conventional methods proved successful in this case.

