Imagine the following clinical situation: A young patient presents with a stroke. Investigation into the cause reveals a carotid artery dissection. The patient is not known to be hypertensive. They are not found to have used any drugs (prescription or otherwise). No other family members have ever had anything even remotely similar. They want to know why this happened. Sometimes the cause is a specific syndrome. Sometimes non-specific vasculopathies are the cause. How do you approach the answer?
Vasculopathies refer to arterial conditions that result in artery weakness. Patients who suffer from vasculopathies may be asymptomatic, however they may also develop aneurysms and dissection. The following conditions are examples vasculopathies that should be considered in such patients:
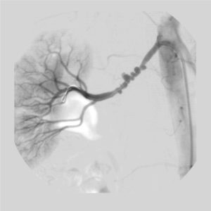
- Fibromuscular dysplasia
- Segmental arterial mediolysis
- Ehlers Danlos type IV
- Loeys-Dietz disease
- Marfan’s disease
Thus, when a patient presents with unexplained artery dissection (often carotid or renal, but also mesenteric, and coronary) clinicians should make an attempt to differentiate between the various possible conditions that could be the cause. Importantly, as of 2017 there are no “disease specific” treatments, but making the correct diagnosis can have important implications to patient prognosis and to involvement of other, sometimes non-vascular, organ systems (e.g. eys in Marfan’s syndrome).

While some conditions that are associated with artery dissection and aneurysm can be diagnosed with genetic testing (i.e. EDS IV, Marfan’s disease etc.), others cannot be diagnosed in this manner. Pathology used to be the gold standard in the past. In fact, fibromuscular dysplasia and segmental arterial mediolysis have typically been diagnosed by pathological specimens. But in modern practice, artery pathology is very rarely available. In 2016 various imaging findings associated with fibromuscular dysplasia have been described. Thus, in modern practice FMD is considered a diagnosis made with imaging. In contrast, segmental arterial mediolysis is still only a pathological diagnosis, as there are no distinguishing imaging characteristics for this vasculopathy. This means that in modern practice segmental arterial mediolysis is often a “presumed” diagnosis, but seldom a confirmed diagnosis. Which brings us to imaging…
Usually patients who present with otherwise unexplained artery dissection or visceral artery aneurysm will undergo further imaging. This imaging should probably include a CT or MR angiogram of the brain, neck, chest, abdomen and pelvis. The purpose of such imaging is to detect typical disease patterns and also to assess the extent of disease. It is not uncommon for such imaging to result in evidence of dissection in other, asymptomatic, vascular beds. For example, a patient presenting with carotid artery dissection may be found to have renal infarctions she has never known she had and perhaps also even spontaneous coronary artery dissection (SCAD). Patients with fibromuscular dysplasia should be screened for intracranial aneurysms.
A word of caution is important in regards to diagnosing vasculopathies by imaging alone. As mentioned above, as of 2017, vasculopathies other than fibromuscular dysplasia often do not have typical imaging characteristics. Thus, one should be careful when reading a radiology report suggesting one diagnosis over the other. It is my experience that various terms are used loosely and that a vascular specialist with specific knowledge in these diseases should review the images in person.
Even when fibromuscular dysplasia is given as the diagnosis, I have seen many cases when I disagreed. Many colleagues of mine who treat FMD patients have a similar experience. Specifically, it is also important to avoid making a diagnosis based solely on dissected arteries (as a dissection may result in morphological changes in the artery that could result in errors in diagnosis). Thus, another reason to get systemic imaging is to find other, non-dissected, but diseased arteries that can clarify the diagnosis.

Finally, it is important to recognize the role of genetic testing in the vasculopathy diagnosis. When a patient presents with suspected vasculopathy, it has been my practice to involve a geneticist who specializes in vascular (arterial) disease. A common question that arises is whether FMD has a genetic correlation and whether family members should be tested. It is not my practice to screen asymptomatic family members. Furthermore, the genetic component of FMD has not yet been properly delineated. It is presumed to be an interplay between many genes and also between genes and the environment. No specific genetic test for FMD exists as of 2017.
Dr. Weinberg is the founder and Editor In-Chief of Angiologist.com. He is a Vascular Medicine physician at Hadassah Hebrew University Medical Center, Associate Professor of Medicine at Harvard Medical School and Past President of the Society for Vascular Medicine.
