Subclavian Steal Syndrome

Subclavian artery stenosis can cause neurological symptoms. When this happens, it is called subclavian steal syndrome.

Symptoms of Subclavian Steal Syndrome

The symptoms of subclavian steal syndrome are neurological. They are called “posterior circulation symptoms”. This is because the source of the symptoms are the vertebral arteries. The vertebral arteries run on the back of our necks, between the vertebrae. The vertebral arteries supply blood to the back of our brain. That is why they are part of the posterior circulation. Another term to describe these symptoms is vertebro-basilar insufficiency.

The most common symptom is vertigo. Examples of other symptoms include balance issues, problems swallowing, double vision and more.

Symptoms Happen with Arm Movement

Vertebro-basilar symptoms are not limited to subclavian artery steal. They can be a sign of stroke, for instance. But, if the reason is subclavian steal, then patients will describe symptoms with arm movement. Older publications described the most common presentation as drop attacks.

In practice, we often see these patients because of a complaint of “dizziness”. Remember, that vertigo is no dizziness. Still, many patients go through an evaluation for causes of dizziness before the diagnosis is finally made.

Notice that these symptoms can be similar to those of vertebral artery stenosis. But, there are some differences. In vertebral artery stenosis symptoms arise in two instances. One, is when there is a critical stenosis in a dominant vertebral artery. If this happens, patients might experience ongoing symptoms. The second mechanism is when an embolism breaks off of the stenosis and goes to the brain. This will result in a stroke (or transient ischemic attack).

Vertebral artery dissection can also cause posterior circulation symptoms. A dissection in a vertebral artery can happen together with a carotid artery dissection or in isolation.

How does Subclavian Steal Syndrome Happen?

The subclavian artery supplies blood to the arms and to the brain. If there is severe subclavian artery stenosis, not enough blood will reach the arm. This is the famous “steal”.

Anatomy of the aortic arch
Anatomy of the aortic arch. Notice the location of the vertebral arteries and the location of the subclavian arteries.

Still, at rest that may not be a problem. But, with activity, the arm needs more blood supply. If the narrowing to flow does not allow enough blood to reach the arm, blood will need to come from somewhere else. Subclavian steal is when blood is “sucked” from the vertebral artery to increase flow to the arm during activity. A study published in the New England Journal of Medicine in 1961 described this mechanism based on canine and human studies.

Diagnosis

The first step in making the diagnosis is to identify the typical story. As I wrote above, patients will usually describe drop attacks or vertigo when using their arms. Again, remember, that vertigo is not “dizziness”. One you suspect the patient has subclavian steal, then next step will be imaging.

Imaging for Subclavian Steal Syndrome

The best test to use is duplex ultrasonography. The main characteristic to look for is direction of flow. Usually, blood flows in the vertebral arteries toward the brain. Reverse flow in the vertebral artery, together with appropriate symptoms will make the diagnosis.

Prior to subclavian steal there is a pattern of flow with a prominent dicrotic notch. This is dubbed “bunny rabbit pattern”. It is the stage before to and fro flow:

Pre steal verterbral artery duplex as a result of subclavian artery stenosis
Pre steal vertebral artery duplex ultrasound pattern in the left vertebral artery

Sometimes, bi-derectional flow may precede retrograde flow:

Vertebral artery to and fro duplex. A precursor of subclavian steal syndrome
Vertebral artery “to and fro” on ultrasound

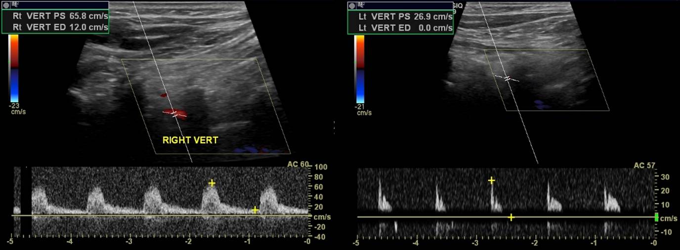
Some patients have “pre-steal”. If you scan them you will actually see normal, antegrade, flow in the vertebral artery. To produce the reverse flow you will need to increase flow in the arm. To see the reverse flow, the patient will need to use their arm. Another way is by inflating a blood pressure cuff and then deflating it. This causes reactive hyperemia. More blood flow goes to the arm and less to the brain. The following image shows the final stage of vertebral steal from severe right proximal subclavian artery stenosis:

subclavian steal syndrome vertebral flow pattern on ultrasound
Right retrograde vertebral artery flow on ultrasound

Sometimes the plaque that is causing the narrowing in the subclavian artery will also include the vertebral artery. This may result in concomitant vertebral artery stenosis.

Treatment

We typically only offer treatment for patients who have symptoms. In fact, finding flow reversal on imaging is not reason enough to offer a procedure. However, once we decide on a procedure, the treatment focuses on fixing the subclavian artery stenosis. Obviously, once that is fixed, then the “steal” will stop. We summarized the treatment of subclavian artery stenosis in another part of the site.

Still, here is a brief summary. Because the most common cause for the stenosis is atherosclerosis, most patients should receive cardiovascular risk factor modification. Obviously, we need to remember other causes (e.g., Takayasu). Then, there is intervention. These patients do need an intervention. The options for intervention are endovascular and surgical. In modern care, using an endovascular approach is the most common by far.

Read More:

  1. A review for medical professionals published in Circulation in 2014.
  2. A summary of vertebrobasilar insufficiency.

Author

  • Dr. Ido Weinberg

    Dr. Weinberg is the founder and Editor In-Chief of Angiologist.com. He is a Vascular Medicine physician at Hadassah Hebrew University Medical Center, Associate Professor of Medicine at Harvard Medical School and Past President of the Society for Vascular Medicine.

    View all posts
Vascular Medicine